20.04.2026
Хирургическое лечение синдрома грудного выхода
Синдром грудного выхода (СГВ) представляет собой симпто-мокомплекс, возникший в результате механического сдавления извне первичных нервных стволов плечевого сплетения и подключичных сосудов при их выходе из верхней грудной апертуры в сторону шеи и верхних конечностей
ВВЕДЕНИЕ
Синдром грудного выхода (СГВ) представляет собой симптомокомплекс, возникший в результате механического сдавления извне первичных нервных стволов плечевого сплетения и подключичных сосудов при их выходе из верхней грудной апертуры в сторону шеи и верхних конечностей [1-5]. Анатомо-морфологическими исследованиями было показано, что область грудного выхода имеет сложную анатомическую структуру, состоящую из трёх последовательных узких пространств - выходов: верхнее пространство при выходе из грудной клетки, рёберно-лестничное пространство и рёберно-ключичный промежуток [6, 7].
В каждом из указанных промежутков фиброзные, мышечные и костные структуры плотно окружают сосудисто-нервный пучок, и, вследствие нарушения их взаимоотношения, развивается изолированная или сочетанная компрессия подключичной артерии и вены, а также нервов плечевого сплетения. В связи с этим, у пациентов наблюдаются артериальная, венозная и неврологическая формы СГВ [3, 5, 8].
Проведённые эпидемиологические данные показывают, что СГВ имеет довольно широкое распространение, и разные его варианты могут встречаться у 5% населения [1-4].
Показано, что три варианта СГВ встречаются неодинаково, и наиболее распространённым из них является неврологический вариант, среднюю позицию занимает венозная форма, и наиболее редко наблюдаются артериальные варианты с клиникой острой или хронической акральной ишемии [1].
Данные литературы также показывают неодинаковый характер частоты встречаемости различных нозологических форм СГВ, и среди них в большинстве случаев встречается синдром добавочного шейного ребра (ДШР) - в среднем у 0,5-4,9% всеобщей популяции [1-6]. Данный синдром, хотя и имеет широкую распространённость, но в более, чем 95% случаев не проявляется никакими клиническими признаками, так как размеры добавочных рёбер незначительны, что недостаточно для компрессии нейро-васкулярных структур [9]. Симптомными они становятся только тогда, когда имеется комбинация врождённых сухожильно-мышечных аномалий с длинным, плоским и толстым шейным ребром, при¬водящим к сдавлению нервно-сосудистых структур [8-10].
Ряд авторов впервые отнесли первое грудное ребро к при-чинному фактору СГВ при развитии тромбоза подключичной артерии [7]. В частности, Murray A Falconer & Graham Weddell в 1943 году впервые подробно описали клиническое течение рёберно-ключичной компрессии у троих пациентов, из-за чего в последующем данный синдром стал носить имя этих авторов [8]. Первое ребро является единственной костью в области грудного выхода, участвующей в образовании части стенки всех трёх анатомически узких пространств, и, из-за изменения её конфигурации и расположения, развивается нейро-васкулярная компрессия.
В литературе по-разному решается вопрос о выборе метода лечения больных с СГВ. Эти пациенты, из-за разнообразия клинических проявлений, часто обращаются и лечатся у невропатологов, ревматологов и травматологов под разными диагнозами, клинически проявляющимися болевым синдромом в плечевом поясе, и при этом подвергаются неполной или неэффективной консервативной терапии [9].Как справедливо отмечено, разные формы СГВ представляют высокий риск развития тромбоэмболических осложнений, в связи с чем при симптомных его формах рекомендуется выполнять только хирургическое лечение, а к консервативной терапии необходимо прибегать только в случаях строгих противопоказаний к декомпрессионным вмешательствам. Поэтому становится очевидным, что эти два метода лечения СГВ - консервативное и хирургическое - не являются альтернативными, а дополняют друг друга [10].
Оптимизировать тактику ведения и выбор методов оперативных вмешательств для улучшения результатов лечения больных с экстравазальными компрессиями СНП при СГВ.
Литературные данные свидетельствуют о недостаточно пол-ном, а, в ряде случаев, противоречивом освещении некоторых вопросов этиопатогенеза СГВ, очень частого развития на его фоне синдрома Рейно (СР), а также методов лечения разных форм дан¬ной патологии [11-13], что диктует необходимость дальнейших научно-клинических исследований в этом направлении.
МАТЕРИАЛ И МЕТОДЫ
В рамках настоящего исследования проведён анализ результатов обследования и хирургического лечения 521 пациента с экстравазальными компрессиями СНП верхних конечностей у выхода из грудной клетки (все патологии объединены общим названием - СГВ). Все эти больные находились на лечении с 1990 по 2022 гг. в отделении хирургии сосудов Республиканского научного центра сердечно-сосудистой хирургии.
Распределение пациентов в зависимости от этиологического фактора компрессии СНП представлено в табл. 1.
Как видно из табл. 1, среди всех вариантов компрессии превалировал ККС, который имел место у чуть более половины пациентов и в два раза чаще у женщин по сравнению с мужчинами. Вторую позицию среди факторов компрессии СНП занимал синдром шейного ребра (СШР), который был представлен в двух вариантах - ДШР и РШР. Сравнительно меньше встречались СС и СМГМ - в совокупности менее, чем у 10% обследованных.
Возраст больных колебался в широких диапазонах при разных синдромах - от 14 до 60 лет, в среднем составив 31,2±2,6 лет. Основную массу пациентов составили лица молодого трудоспособного возраста (67,2%). Больных школьного возраста было 15,2%. Длительность заболевания варьировала в широких пределах - от 1 года до 20 лет.
Для выявления признаков компрессии СНП проводились пробы Эдсона, Ланге и Райта. Неврологические нарушения проверялись неврологическими тестами. У больных с вторичным синдромом Рейно изучался кровоток в артериальных дугах кисти и пальцевых артериях с применением холодовой и нитроглицериновой проб, которые позволяли прогнозировать эффект операции селективной шейно-грудной симпатэктомии (СШГС).
Кроме общеклинических методов исследования, были использованы ультразвуковая допплерография (УЗДГ) и дуплексное ангиосканирование (УЗДС), для выявления костных аномалий - рентгенография и КТ, а для определение неврологических нарушений - электронейромиография (ЭНМГ).
Рентгенологические исследования являлись основными методами в диагностике ККС и СШР. При других синдромах - СС и СМГМ - они имели значение лишь для дифференциальной диагностики. Рентгенологические исследования проводилась всем пациентам и, в большинстве случаев, в двух проекциях - прямой и боковой.
При ККС производился рентгеновский снимок, охватывающий шейные позвонки, ключицу и верхние четыре ребра. На рис. 1 представлено измерение угла отклонения и радиуса дуги первого ребра.
Ориентиром являлась горизонтальная ось ключицы, все расчёты производились по отношению к ней. Расположение первого ребра оценивалось следующим образом: высоким его стояние считалось, когда на прямом рентгеновском снимке выше ключицы проецировались задние части первых трёх, нередко, и четвёртого рёбер. Конфигурация дуги первого ребра оценивалась измерением длины радиуса дуги и угла отклонения дуги по от¬ношению к оси ключицы, т.е. горизонтальной плоскости. В норме дуга первого ребра имеет эллипсоидную форму, и угол отклонения составляет менее 65°, при этом радиус дуги первого ребра длинный. При ККС характерно вертикальное расположение дуги по отношению к оси ключицы, и, за счёт этого, уменьшается длина радиуса дуги первого ребра, а угол отклонения дуги составляет от 60° до 90°.
СС по течению и клиническим проявлениям характеризовался более лёгким среди других форм СВГА. Возраст пациентов дан¬ной группы колебался от 20 до 40 лет, т.е. в период наибольшей физической активности, когда имеет место значительная гипертрофия лестничных мышц. Для диагностики СС, наряду со стандартной рентгенографией, была использована МРТ, позволившая чётко визуализировать мягкотканый компонент компрессии СНП. Однако первичное выполнение рентгенографии позволило, в свою очередь, дифференцировать СС от ДШР или ККС.
СМГМ или гиперабдукционный синдром встречался относительно реже, чем другие формы СГВ. Поставить правильный диагноз было весьма трудно.
Позиционные тесты имели определяющее значение, в частности пробы Эдсона и Ланге. Следует отметить, что у всех наблю-давшихся нами больных отмечался вторичный СР, который относится к васкулярной форме СГВ.
Этическое заявление. План настоящего исследования был обсуждён на заседании локальной этической комиссии Республиканского научного центра сердечно-сосудистой хирургии и одобрен после внесения изменений и дополнений 12 марта 2025 года, протокол № 3.
Статистический анализ. Полученные в ходе исследования все цифровые данные были внесены в программу Excel и подвергнуты статистической обработке с использованием программы Statistics 10.0 (StatSoft Inc., Tulsa, OK, USA). Количественные показатели описаны в виде среднего значения и стандартной ошибки, для качественных показателей вычислялись доли (%). Парные сравнения количественных показателей независимых вариационных рядов проведены по критерию Манна-Уитни, а количественные показатели зависимых вариационных рядов проведены по критерию Вилкоксона. Парные сравнения качественных показателей проведены по критерию х2.
Различия считались статистически значимыми при p<0,05.
РЕЗУЛЬТАТЫ
Клиническая картина компрессии СНП при выходе из груд¬ной клетки в основном зависела от превалирования компрессии извне той или иной анатомической структуры. В зависимости от этого были идентифицированы 3 формы - артериальная, венозная и неврологическая. Однако у пациентов чаще всего отмечалось их комбинация - неврологическая форма в сочетании с артериальной или с венозной формами СГВ.
У пациентов с артериальной формой СГВ отмечалась ишемия руки вследствие сдавления подключично-подмышечного сегмента и спазма всего артериального русла верхней конечности, а неврологическая симптоматика была обусловлена компрессией первичных или вторичных нервных стволов плечевого сплетения. Венозный вариант СГВ проявлялся не только гипертензией и напряжением подкожных вен верхних конечностей, но и тромбозом подключичной или подмышечной вен - синдромом Педжета-Шреттера.
ККС Фалконера-Ведделя клинически проявился тремя разными категориями симптомов: позиционной ишемией руки, неврологическими симптомами со стороны верхних конечностей и, реже, венозной недостаточностью. Как правило, артериальные и неврологические нарушения сочетались с превалированием одних из них.
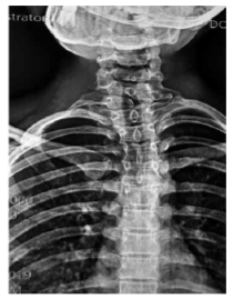
Рис. 2 Рентгенограмма пациента с ДШР справа и РШР слева
Среди всех пациентов с ККС в 77,0% (208) наблюдений клинически выраженными были два компонента заболевания: артериальный и неврологический. В результате сдавления СНП и постоянного раздражения симпатических нервных волокон у 79,6% (215) больных из числа всех лиц с ККС отмечалась клиника вторичного СР. Сосудистые осложнения в виде тромбоэмболии дистального русла артерий верхних конечностей были отмечены у 1,5% (4) больных с ККС, а осложнения со стороны магистральных вен с острым тромбозом подмышечной и подключичной вен, либо посттромботической болезнью (синдром Педжета-Шреттера) отмечались в 4,8% (13) случаев.
Второй по частоте причиной компрессии СНП являлось шейное ребро. У данной группы пациентов чаще отмечались тромбо-эмболические осложнения, при других формах СГВ. Гипотрофия мышц кисти (thenar и hypothenar) была характерным осложнением для этого синдрома и встречалась у четверти наблюдавшихся больных. Позиционная ишемия отмечалась у всех 140 пациентов. В 11 наблюдениях имела место постоянная критическая ишемия кисти и пальцев в результате тромбоэмболических осложнений. Во всех случаях рентгенологически было подтверждено наличие ДШР, а у 10 пациентов процесс был двухсторонним. Эти пациенты чаще всего лечились у невропатологов по поводу остеохондроза шейного отдела позвоночника.
С РШР наблюдались 67 пациентов. В отличие от ДШР, при РШР отмечались только неврологические нарушения, так как из-за их меньшей длины компрессии были подвержены только нервные стволы. Следует отметить, что РШР - короткое, но утолщённое, и располагалась оно между тремя первичными стволами плечевого сплетения. РШР со всех сторон снаружи сращено с мышцами, и, как правило, всегда от верхушки РШР к первому ребру тянется струна сухожильного тяжа. Из-за тесноты пространства по периметру РШР и рубцового процесса происходит компрессия нервных стволов. У 44,8% (30) больных данной группы имелась клиника СР.
ЭНМГ являлась объективным методом оценки функционального состояния нервных стволов верхних конечностей у больных с СШР. Во всех случаях отмечались функциональные расстройства нервов верхних конечностей в результате компрессии первичных стволов плечевого сплетения. Целью выполнения ЭНМГ явилось изучение тяжести компрессии нервных пучков плечевого сплетения и оценка нарушений проводимости по двигательным и чувствительным нервным волокнам срединного и локтевого нервов.
Данный метод применён у 24 пациентов с СШР и для сравнения у 20 здоровых человек. В табл. 2 и 3 приведены результаты ЭНМГ срединного и локтевого нервов.
Анализ полученных результатов ЭНМГ срединного нерва по-казал, что у пациентов с СШР наблюдается значительное снижение скорости проведения импульса по чувствительным волокнам, что указывает на выраженную сенсорную дисфункцию, связанную с компрессией нервных сплетений. Однако, значимое снижение скорости импульса по двигательным волокнам было выявлено только слева, что может свидетельствовать о локализованной компрессии или асимметричном поражении конечностей.
Было выявлено, что у пациентов также наблюдалось значительное снижение количества активных двигательных единиц, что свидетельствовало о нейрогенной дегенерации, обусловленной хронической компрессией первичных нервных стволов плечевого сплетения. Кроме того, также было отмечено существенное удлинение латентного периода, что было связано с изменением порога возбуждения или нарушением нормального пути проведения импульса.
Статистически значимое различие показателей максимальной амплитуды у здоровой когорты и у пациентов с СШР также свидетельствовало о снижении функциональной активности моторных нейронов, что, возможно, было следствием дегенеративных процессов или частичной денервации верхней конечности.
В данной связи можно сделать вывод о том, что у пациентов с СШР при ЭНМГ выявляются достоверные признаки нейрофизиологических изменений. При этом наиболее выраженные отклонения наблюдаются в сенсорных показателях, латентном периоде и числе двигательных единиц, что подтверждает компрессионный характер поражения. Эти данные подчёркивают важность ранней диагностики и мониторинга состояния периферической нервной системы у данной категории пациентов.
Аналогичные показатели были получены при ЭНМГ локтевого нерва у обследованных пациентов, результаты которой преставлены в табл. 3.
Как видно из табл. 3, на фоне компрессии первичных нервных стволов плечевого сплетения при ЭНМГ локтевого нерва вы¬является статистически значимое снижение скорости проводимости по чувствительным (СПИ афф.) и двигательным волокнам, а также отмечается снижение количества двигательных единиц и удлинение латентного периода в поражённой конечности.
Основной задачей хирургического лечения при всех формах СГВ является устранение причин компрессии СНП. Всем пациентам в зависимости от фактора сдавления были выполнены раз¬личные декомпрессионные операции, в том числе 15 больным - с двух сторон в разные сроки.
Наиболее сложным в отношении хирургической тактики являлся ККС, показания к хирургическому лечению которого были относительными, либо абсолютными. В тех ситуациях, когда нет осложнений, нет выраженных симптомов, как артериальных, так и неврологических, при эффективности консервативной терапии можно отсрочить хирургическое вмешательство.
Пациентам этой подгруппы выполнялась резекция первого ребра трансаксиллярным и надключичным доступами (табл. 4). Следует отметить, что трансаксиллярная резекция первого ребра являлась основным видом операции при ККС: 199 пациентам была выполнена 241 операция резекции ребра. Последняя в 194 случаях при наличии у пациентов СР сочеталась с СШГС.
При тромбоэмболических и артериальных осложнениях в 3 случаях, кроме резекции первого ребра, была произведена тромбэктомия из артерий верхних конечностей с прямым восстановлением кровотока. В двух наблюдениях при аневризме подключичной артерии были произведены резекции аневризмы с анастомозом конец в конец, или же аллопротезированием.
С целью улучшения результатов резекции первого ребра нами предложен способ, который отличается некоторыми техническими особенностями от применяемых другими авторами методик (патент Республики Таджикистан № TJ 605 от 18.03.2014 г.). В частности, другими специалистами резекция ребра осуществляется отслоением надкостницы, по возможности, на всём протяжении и оставлением её впоследствии, что имеет некоторые недостатки.
В частности, отслоение надкостницы на всём протяжении ребра, особенно у лиц старшего возраста является трудным и, зачастую, невозможным. Кроме того, на месте оставленной надкостницы может разрастаться рубцовый процесс, костная мозоль, и, кроме того, удлиняется продолжительность операции. Сущность предложенного нами способа заключается в резекции ребра вместе с надкостницей, что значительно упрощает технику выполнения операции, позволяет максимально ближе к поперечному отростку позвонка резецировать заднюю часть ребра. Задняя часть близко рас¬положена к нервным стволам и непосредственно участвует в компрессии последних.
При резекции ребра вместе с надкостницей передняя культя резецированного ребра становится острой и оголённой, что нежелательно по причине возможности повреждения подключичной вены и плевры острыми её краями.
Это может вызвать также боли в результате раздражения плевры во время вдоха. По этой при¬чине мы рекомендуем укрытие передней культи подшиванием надкостницы (рис. 3-5). Задняя же культя ребра оставляется без укрытия надкостницей, ввиду того что она при адекватной резекции ребра прикрывается окружающими мышцами, и никаких не¬желательных последствий не имеет.
При синдроме шейного ребра всем пациентам была выполнена резекция аномальных рёбер, в том числе в 68 случаях в комбинации с СШГС. С целью профилактики ряда осложнений нами усовершенствован способ удаления ДШР. Этапы операции представлены на рис. 6-8. Для резекции шейного ребра использовался надключичный доступ с длиной разреза 10-15 см. После рассечения кожи и подкожной клетчатки в последующем проводилась мобилизация лестничной мышцы и расположенного на ней диафрагмального нерва, который брался на мягкую держалку и отводился в сторону. После этого выполнялась скаленотомия.
Следующим этапом операции являлись мобилизация и тщательный невролиз всех трёх первичных стволов плечевого сплетения, которые расположены близко к шейному ребру с разных сторон. Подключичная артерия отводилась наверх и, тем самым, освобождалась от ребра. В последующем мобилизовывался проксимальный сегмент ребра и резецировался. Далее проводилась его мобилизация до места сращения с первым ребром. После освобождения пространства между добавочным и первым рёбрами, с помощью рёберных кусачек, аномальное ребро отделялось от первого ребра и удалялось.
В случае, когда имел место СР, следующим этапом выполнялась СШГС по вышеописанной нами методике. Подобная операция была выполнена 57 больным с СР, а также в 11 случаях при других артериальных осложнениях.
В табл. 5 приведены операции, выполненных при ДШР у всех 140 больных.
РШР имело место у 67 наблюдавшихся больных. В нашей клинике был разработан и предложен способ хирургического лечения РШР, который направлен на предупреждение повреждения первичных нервных стволов плечевого сплетения острыми его концами после резекции (патент Республики Таджикистан № TJ265).
Виды выполненных операций в группе больных с РШР представлены в табл. 6. В частности, 55,2% (37) пациентам выполнены только декомпрессионные вмешательства, а остальным - деком-прессионные операции в сочетании с СШГС.
СС наблюдался у 26 пациентов, у которых также имели место клинические проявления СР. Всем пациентам под общим эндотрахеальным наркозом из надключичного доступа были выполнены скаленотомия и СШГС с хорошими непосредственными результатами.
С СМГМ были оперированы 18 больных. Так как основным элементом, сдавливающим сосудисто-нервный пучок являются триггерные точки изменённой малой грудной мышцы, сущность операции являлась в пересечении сухожильной части этой мышцы, тем самим устранялась компрессия.
Средняя продолжительность оперативных вмешательств и некоторые интра- и послеоперационные показатели представлены в табл.7.
Изучение результатов проведённых операций в течение периода госпитализации показало, что ни в одном случае ле¬тальный исход не был отмечен. Осложнения в ближайшем пе¬риоде были устранены, и на конечные результаты не повлияли. Гемодинамический эффект СШГС у больных с СР вскоре после операции был очевидным, отмечался прирост линейной ско¬рости кровотока (ЛСК) на УЗДГ, в несколько раз превышающей исходные показатели. В табл. 8 приведены результаты УЗДГ до и после СШГС.
Как видно из табл. 8, во всех исследуемых артериях на-блюдалось статистически значимое увеличение средней ЛСК после операции. Наиболее выраженное улучшение отмечено в локтевой артерии, где прирост составил почти 10 см/сек. Это свидетельствует об устранении тотального вазоспазма и уве¬личение диаметра всех дистальных артерий, что привело к улучшению гемодинамики. Увеличение кровотока в лучевой и пальцевой артериях также подтверждает эффективность вмешательства.
Положительные результаты хирургического лечения в отдалённом периоде по группам выглядели следующим образом: при ККС - 91,9%, СС - 100%, СМГМ - 100%, ДШР - 90,7%, РШР - 83,6%.
ОБСУЖДЕНИЕ
В настоящее исследование были включены те патологии, которые существуют самостоятельно и не являются последствиями или сопутствующими проявлениями основного заболевания. Эти¬ми патологиями являлись экстравазальные компрессии СНП у выхода из грудной клетки или, по-другому, получившее название в литературе «синдром грудного выхода» [7, 9]. В англоязычной литературе эти состояния обозначаются термином "Thoracic Outlet Syndrome" [11, 12]. Спорным остаётся вопрос о выборе способа лечения больных с СГВ. Больные с СГВ до обращения к сосудисто¬му хирургу часто консультируются у различных специалистов, по¬лучая мало- или неэффективное лечение.
В последние годы в нашей республике, вероятно, по причине улучшения диагностики и информированности врачей разных специальностей количество выявляемых больных разными формами компрессионных синдромов плечевого пояса заметно увеличилось [13], и эта тенденция отслеживается и по данным других авторов [14, 15].
В этом контексте интересным является исследование, по данным которого в период десятилетнего наблюдения в США отмечено увеличение количество пациентов с 1568 до 3740, и в среднем ежегодно выполняются 2524 декомпрессионные операции по поводу различных форм СГВ. При этом у 96,7% пациентов имелась неврологическая, у 2,8% - венозная и в 0,5% наблюдениях - артериальная формы СГВ. Как отмечают авторы, в 52,8% случаев операции были выполнены сосудистыми, в 19,7% - торакальными хирургами, в 7,2% - нейрохирургами и в 6,1% - ортопедами [14].
ЗАКЛЮЧЕНИЕ
Общими чертами для всех видов СГВ являлась компрессия СНП в различных вариациях с сочетанием в 63% случаев с вторич¬ным СР. Удовлетворительные результаты (при ККС - 91,9%, СС - 100%, СМГМ - 100%, ДШР - 90,7% и РШР - 83,6%) в отдалённых сроках наблюдения свидетельствуют об эффективности тактических решений и хирургического лечения.
ЛИТЕРАТУРА
1. DiLosa KL, Humphries MD. Epidemiology of thoracic outlet syndrome. Semin Vasc Surg. 2021;34(1):65-70.
2. Shalan A, El-Basty A, Al-Saadi N, Popplewell M, Wall M, Hobbs S, et al. Thoracic outlet syndrome, United Kingdom: A retrospective review of practice. Ann Vasc Surg. 2025;114:74-82
3. Ziapour B, Ranjbar K, Tian T, Thompson RW, Salehi P. A systematic review and meta-analysis of surgical approaches for venous thoracic outlet syndrome. J Surg Res. 2025;306:306-16.
4. Issa TZ, Lin JS, Herrera F, Mailey B. Trends in the surgical management of thoracic outlet syndrome. Hand (NY). 2024;19(3):367-73
5. Altoijry A, AlGhofili H, Iqbal K, Altuwaijri TA, Alsheikh S, AlHamzah M, et al. Vascular thoracic outlet syndrome: Registry of 30-years of patient's outcomes at King Saud University Medical City, Riyadh, Saudi Arabia. Saudi Med J. 2022;43(7):743-50.
6. Boglione M, Ortfz R, Teplisky D, Giuseppucci C, Korman L, Reusmann A, Barrenechea M. Surgical treatment of thoracic outlet syndrome in pediatrics. J Pediatr Surg. 2022;57(9):29-33.
7. Султанов ДД, Тухтаев ФМ, Курбанов ИР, Садриев ОН. Синдром верхней грудной апертуры. Вестник Авиценны. 2014;360:121-7.
8. Falkoner MA, Weddel G. Costoclavicular compression of the subclavian artery and vein. Lancet. 1943;2:539-43.
9. Jones MR, Prabhakar A, Viswanath O, Urits I, Green JB, Kendrick JB, et al. Thoracic outlet syndrome: A comprehensive review of pathophysiology, diagnosis, and treatment. Pain Ther. 2019;8(1):5-18.
10. Савельев ВС, Затевахин ИИ, Прокубовский ВИ. Шейное ребро как причина эмболии артерий верхней конечности. Хирургия. 1975;3:16-21.
11. Maqbool T, Novak CB, Jackson T, Baltzer HL. Thirty-day outcomes following surgical decompression of thoracic outlet syndrome. Hand (NY). 2019;14(1):107- 13.
12. Ransom EF, Minton HL, Young BL, He JK, Ponce BA, McGwin G, et al. Intermediate and long-term outcomes following surgical decompression of neurogenic thoracic outlet syndrome in an adolescent patient population. Hand (NY). 2022;17(1):43-9
13. Гаибов АД, Кахоров АЗ, Садриев ОН, Юнусов ХА. Хирургическое лечение синдрома верхней грудной апертуры. Вестник хирургии им. И.И. Грекова. 2015;174(1):78-83.
14. Lee JT, Dua MM, Chandra V, Hernandez-Boussard TM, Illig KA. Surgery for thoracic outlet syndrome: a nationwide perspective. J Vasc Surg. 2011;53(6):100S-101S
15. Ahmed AS, Lafosse T, Graf AR, Karzon AL, Gottschalk MB, Wagner ER. Modern treatment of neurogenic thoracic outlet syndrome: Pathoanatomy, diagnosis, and arthroscopic surgical technique. J Hand Surg Glob Online. 2023;5(4):561-76
8. Falkoner MA, Weddel G. Costoclavicular compression of the subclavian artery and vein. Lancet. 1943;2:539-43.
9. Jones MR, Prabhakar A, Viswanath O, Urits I, Green JB, Kendrick JB, et al. Thoracic outlet syndrome: A comprehensive review of pathophysiology, diagnosis, and treatment. Pain Ther. 2019;8(1):5-18.
10. Savelyev VS, Zatevakhin II, Prokuboskiy VI. Sheynoe rebro kak prichina emboli arteriy verkhney konechnosti [Cervical rib as a cause of embolies of the upper extremity]. Khirurgiya. 1975;3:16-21.
11. Maqbool T, Novak CB, Jackson T, Baltzer HL. Thirty-day outcomes following surgical decompression of thoracic outlet syndrome. Hand (NY). 2019;14(1):107- 13.
12. Ransom EF, Minton HL, Young BL, He JK, Ponce BA, McGwin G, et al. Intermediate and long-term outcomes following surgical decompression of neurogenic thoracic outlet syndrome in an adolescent patient population. Hand (NY). 2022;17(1):43-9.
13. Gaibov AD, Kakhorov AZ, Sadriev ON, Yunusov KhA. Khirurgicheskoe lechenie sindroma verkhney grudnoy aperturi [Surgical treatment of thoracic outlet syndrome]. Vestnikkhirurgiiim. I.I. Grekova. 2015;174(1):78-83.
14. Lee JT, Dua MM, Chandra V, Hernandez-Boussard TM, Illig KA. Surgery for thoracic outlet syndrome: a nationwide perspective. J Vasc Surg. 2011;53(6):100S-101S.
15. Ahmed AS, Lafosse T, Graf AR, Karzon AL, Gottschalk MB, Wagner ER. Modern treatment of neurogenic thoracic outlet syndrome: Pathoanatomy, diagnosis, and arthroscopic surgical technique. J Hand Surg Glob Online. 2023;5(4):561-76.
СВЕДЕНИЯ ОБ АВТОРАХ
Султанов Джавли Давронович, доктор медицинских наук, профессор, заместитель директора Республиканского научного центра сердечно-сосудистой хирургии по науке; профессор кафедры хирургических болезней № 2 им. академика Н.У. Усманова, Таджикский государственный меди¬цинский университет им. Абуали ибни СиноГаибов Алиджон Джураевич, член-корр. Национальной академии наук
Таджикистана, доктор медицинских наук, профессор, профессор кафедры
хирургических болезней № 2 им. академика Н.У. Усманова, Таджикский
государственный медицинский университет им. Абуали ибни Сино
Рахмонов Джамахон Ахмадович, кандидат медицинских наук, директор,
Республиканский научный центр сердечно-сосудистой хирургии
Неъматзода Окилджон, кандидат медицинских наук, доцент кафедры хирургических болезней № 2 им. академика Н.У. Усманова, Таджикский государственный медицинский университет им. Абуали ибни Сино; веду¬щий научный сотрудник, Республиканский научный центр сердечно-сосу¬дистой хирургии
ф AUTHORS' INFORMATION
Sultanov Dzhavli Davronovich, Doctor of Medical Sciences, Full Professor, Deputy Director for Science, Republican Scientific Center for Cardiovascular Surgery; Professor of the Department of Surgical Diseases No. 2 named after Academician N.U. Usmanov, Avicenna Tajik State Medical University
Researcher ID: AAC-7784-2019 Scopus ID: 36922139600 ORCID ID: 0000-0001-7935-7763 SPIN: 9762-8395 Author ID: 445360 E-mail: sultanov57@mail.ru
Gaibov Alidzhon Dzhuraevich, Corresponding Member of National Academy
of Sciences of Tajikistan, Doctor of Medical Sciences, Full Professor, Professor
of the Department of Surgical Diseases No. 2 named after Academician N.U.
Usmanov, Avicenna Tajik State Medical University
Researcher ID: AAC-9879-2020
Scopus ID: 6602514987
ORCID ID: 0000-0002-3889-368X
SPIN: 5152-0785
Author ID: 293421
E-mail: gaibov_a.d@mail.ru
Rakhmonov Dzhamakhon Akhmadovich, Candidate of Medical Sciences, Di¬rector, Republican Scientific Center for Cardiovascular Surgery Researcher ID: AAT-2441-2020 ORCID ID: 0000-0002-4427-0155 SPIN: 4201-0747 Author ID: 1077348 E-mail: jama-7878@mail.ru
Nematzoda Okildzhon, Candidate of Medical Sciences, Associate Professor of the Department of Surgical Diseases No. 2 named after Academician N.U. Usmanov, Avicenna Tajik State Medical University; Leading Researcher, Repub¬lican Scientific Center for Cardiovascular Surgery
250
Султанов ДД с соавт. Синдром грудного выхода
ВЕСТНИК АВИЦЕННЫ
Том 28 * № 1 * 2026
Researcher ID: F-8729-2018 Scopus ID: 56469644700 ORCID ID: 0000-0001-7602-7611 SPIN-код: 2408-9107 Author ID: 929575 E-mail: sadriev_o_n@mail.ru
Махмадализода Файзиддин Махмадали, кандидат медицинских наук, соискатель, Республиканский научный центр сердечно-сосудистой хирур¬гии
ORCID ID: 0000-0001-5954-9522 SPIN-код: 7517-0607 Author ID: 916-624 E-mail: dr.Fayzidin@mail.ru
Информация об источнике поддержки в виде грантов, оборудования, лекарственных препаратов
Финансовой поддержки со стороны компаний-производителей лекар¬ственных препаратов и медицинского оборудования авторы не получали
Конфликт интересов: отсутствует
1X1 АДРЕС ДЛЯ КОРРЕСПОНДЕНЦИИ:
Султанов Джавли Давронович
доктор медицинских наук, профессор, заместитель директора Республи¬канского научного центра сердечно-сосудистой хирургии по науке; профес¬сор кафедры хирургических болезней № 2 им. академика Н.У. Усманова, Таджикский государственный медицинский университет им. Абуали ибни Сино
734003, Республика Таджикистан, г. Душанбе, ул. Санои, 33 Тел.: +992 (918) 334115 E-mail: sultanov57@mail.ru
I
ВКЛАД АВТОРОВ
Разработка концепции и дизайна исследования: СДД, ГАД, РДА
Сбор материала: НО, МФМ
Статистическая обработка данных: НО, МФМ
Анализ полученных данных: РДА, НО, МФМ
Подготовка текста: НО, МФМ
Редактирование: СДД, ГАД
Общая ответственность: СДД, ГАД, РДА
Поступила 23.06.25
Принята в печать 26.02.26
Researcher ID: F-8729-2018 Scopus ID: 56469644700 ORCID ID: 0000-0001-7602-7611 SPIN: 2408-9107 Author ID: 929575 E-mail: sadriev_o_n@mail.ru
Makhmadalizoda Fayziddin Makhmadali, Candidate of Medical Sciences, Ap¬plicant, Republican Scientific Center for Cardiovascular Surgery
ORCID ID: 0000-0001-5954-9522 SPIN: 7517-0607 Author ID: 916-624 E-mail: dr.Fayzidin@mail.ru
Information about support in the form of grants, equipment, medications
The authors did not receive financial support from manufacturers of medicines and medical equipment
Conflicts of interest: The authors have no conflicts of interest
XI ADDRESS FOR CORRESPONDENCE:
Sultanov Dzhavli Davronovich
Doctor of Medical Sciences, Full Professor, Deputy Director for Science, Repub¬lican Scientific Center for Cardiovascular Surgery; Professor of the Department of Surgical Diseases No. 2 named after Academician N.U. Usmanov, Avicenna Tajik State Medical University
734003, Republic of Tajikistan, Dushanbe, Sanoi str., 33 Tel.: +992 (918) 334115 E-mail: sultanov57@mail.ru
AUTHOR CONTRIBUTIONS
Conception and design: SDD, GAD, RDA
Data collection: NO, MFM
Statistical analysis: NO, MFM
Analysis and interpretation: RDA, NO, MFM
Writing the article: NO, MFM
Critical revision of the article: SDD, GAD
Overall responsibility: SDD, GAD, RDA
Submitted 23.06.25
Accepted 26.02.26
251
Теги: синдром грудного выхода
234567 Начало активности (дата): 20.04.2026
234567 Кем создан (ID): 989
234567 Ключевые слова: синдром грудного выхода, синдром верхней грудной апертуры, диагностика, артериальные осложнения, резекция ребра, декомпрессия, шейно-грудная симпатэктомия
12354567899
Похожие статьи
ГРУДНАЯ КЛЕТКАРентген на дому 8 495 22 555 6 8
Основные этиологические факторы и коморбидная патология тяжелых форм детского церебрального паралича
Ортопедические осложнения гемипаретических форм церебрального паралича: проблемы нижних конечностей (обзор литературы)
Особенности лечения переломов бедра у детей с тяжёлыми формами детского церебрального паралича


