31.05.2025
Врожденная пневмония
Врожденная пневмония - острое полиэтиологическое инфекционное заболевание с преимущественным поражением респираторных отделов легких и накоплением воспалительного экссудата внутри альвеол, выявляемое при физикальном и рентгенологическом обследовании
Список сокращений
АБТ - антибактериальная терапия
АБ - антибактериальный препарат
АД - артериальное давление
БЛД - бронхолегочная дисплазия
БП - безводный промежуток
ВАП - вентилятор-ассоциированная пневмония
ВЖК - внутрижелудочковое кровоизлияние
ВПС - врожденный порок сердца
ВЧОВ - высокочастотная искусственная (осцилляторная) вентиляция легких
ИВЛ - искусственная вентиляция легких
ИМП - инфекция мочевыводящих путей
КОС - кислотно-основное состояние
КТГ - кардиотокография плода
МО - медицинская организация
НИ - нейтрофильный индекс
НСГ - нейросонография
ОАК - общий (клинический) анализ крови
ОАМ - общий (клинический) анализ мочи
ОНМТ - очень низкая масса тела
ОПН и НД - отделение патологии новорожденных и недоношенных детей ОРИТН - отделение реанимации, интенсивной терапии новорожденных ОРС - открытая реанимационная система ПИТ - палата интенсивной терапии
ПКТ - Исследование уровня прокальцитонина в крови (белок острой фазы воспаления)
РДС - респираторный дистресс-синдром
РКИ - рандомизированное контролируемое исследование
РТ - респираторная терапия
СГВ - стрептококк группы В
СРБ - С-реактивный белок (белок острой фазы воспаления)
ССВО - синдром системного воспалительного ответа ПЦР - полимеразная цепная реакция
УЗИ - ультразвуковое исследование
ЧД - частота дыхания
ЧСС - частота сердечных сокращений
ЭКГ - электрокардиография (Регистрация электрокардиограммы)
ЭНМТ - экстремально низкая масса тела ЭХО-КГ - эхокардиография AUC - площадь под кривой
INSURE - метод введения сурфактанта (INtubate-SURfactant- Extubate) - Интубация-введение сурфактанта-экстубация и перевод на неинвазивную респираторную терапию.
СРАР - continuous positive airway pressure/метод респираторной терапии - постоянное положительное давление в дыхательных путях
Fi02 - фракция кислорода во вдыхаемой газовой смеси рС02 - парциальное напряжение углекислого газа Peep - пиковое давление в конце выдоха Pip - пиковое давление на вдохе
SpO2 - сатурация, насыщение крови кислородом, измеряемое методом пульсоксиметрии
Термины и определения
Врожденная пневмония - острое полиэтиологическое инфекционное заболевание с преимущественным поражением респираторных отделов легких и накоплением воспалительного экссудата внутри альвеол, выявляемое при физикальном и рентгенологическом обследовании, как правило, в первые 72 часа жизни.
Краткая информация по заболеванию или состоянию (группе заболеваний или состояний)
Определение заболевания или состояния (группы заболеваний или состояний)
Врожденная пневмония - острое полиэтиологическое инфекционное заболевание с преимущественным поражением респираторных отделов легких и накоплением воспалительного экссудата внутри альвеол, выявляемое при физикальном и рентгенологическом обследовании, как правило, в первые 72 часа жизни [1,2].
Этиология и патогенез заболевания или состояния (группы заболеваний или состояний)
Причиной врожденной пневмонии является внутриутробное или интранатальное инфицирование плода микроорганизмами трансплацентарным, восходящим или контактным путем.
Основными возбудителями врожденной пневмонии являются бактерии: Group B Streptococcus, Escherichia coli, Enterobacter spp., Klebsiella spp., Pseudomonas aeruginosa, Staphylococcus epidermidis, Staphylococcus aureus, Haemophilus influenzae, Streptococcus pneumoniae, Streptococcus viridans, Neisseria gonorrhoeae, Listeria monocytogenes и др.
Атипичные и другие возбудители: Chlamydia trachomatis, Ureaplasma urealyticum, Ureaplasma parvum, Mycoplasma hominis, Mycoplasma pneumonia, Treponema pallidum, Mycobacterium tuberculosis,
Вирусы: Herpes simplex virus, Cytomegalovirus (CMV), Rubella, энтеровирусы, вирус кори.
Различные виды дрожжевых и плесневых грибов: Candida spp., Aspergillus spp. и др.
Большую роль в развитии врожденной пневмонии играют инфекционновоспалительные заболевания органов мочевой и половой систем матери (пиелонефрит, эндометрит и т.д.); степень зрелости плода, пороки развития бронхиального дерева, перенесенная внутриутробная гипоксия, асфиксия в родах, аспирация мекония. Недоношенность, респираторный дистресс-синдром (РДС), гипоксия плода могут обусловливать функциональную, морфологическую и иммунологическую незрелость легочной ткани, способствуя развитию инфекционного процесса.
Заболевание развивается в результате трансплацентарного попадания возбудителя или восходящим путем, в результате инфицирования легких при поступлении в них околоплодных вод (зараженных при эндометрите, хориоамнионите и т.д.), а также при аспирации инфицированного содержимого родовых путей (интранатальный путь) [1,3].
Размножение бактерий или вирусов в дистальных отделах дыхательных путей и связанный с ними воспалительный ответ приводят к повреждению альвеолоцитов, что ухудшает газообмен, изменяет кровообращение в легких и препятствует нормальной механике дыхания. Повреждение поверхности альвеол препятствует действию сурфактанта, может способствовать транссудации жидкости из сосудов легких, вплоть до отека легких, и в конечном итоге, приводит к спадению альвеол. Накопление в дыхательных путях и легочной ткани продуктов распада бактерий, и клеточных элементов (нейтрофилов, макрофагов) в сочетании с сокращением гладких мышц под действием воспалительных медиаторов ухудшает эффективную вентиляцию и способствует развитию ателектазов, появлению «воздушных ловушек» и последующему несоответствию вентиляции и перфузии.
Воспалительные прокоагулянты и сосудосуживающие вещества, выделяемые активированными эндотелиальными клетками и тромбоцитами, усиливают легочное сосудистое сопротивление, вызывая повышение давления в легочной артерии. Усугубляется недостаточность сурфактанта [8,9]. Данные изменения обусловливают возникновение после рождения гиперкапнии, гипоксемии, смешанного ацидоза и гипоксии. В результате прогрессирующей гипоксии, ацидоза и нарушения микроциркуляции очень быстро развивается полиорганная недостаточность, вначале - сердечно-легочная, затем - других органов.
Эпидемиология заболевания или состояния (группы заболеваний или состояний)
В мировой литературе практически не существует данных об изолированной заболеваемости врожденной пневмонией. Данное заболевание входит в комплекс понятия раннего неонатального сепсиса, частота которого колеблется в экономически развитых странах от 0,17 до 1,19 на 1000 живорожденных, летальность составляет 10-15% [10-15].
По данным официальной статистики в Российской Федерации за 2021 год заболеваемость врожденной пневмонией составляет 0,85% случаев среди доношенных новорожденных и 10% среди недоношенных массой тела при рождении 1000 г и более; летальность составляет 0,7% и 0,92%, соответственно. Частота регистрации врожденных пневмоний среди детей экстремально низкой массы тела составляет 26%, летальность - более 8,3% (Форма №32 за 2021 год). В 2014 году по данным Росстата, врожденная пневмония являлась первоначальной причиной смерти в 8,34% случаев новорожденных в первые 6 дней жизни [16].
Особенности кодирования заболевания или состояния (группы заболеваний или состояний) по Международной статистической классификации болезней и проблем, связанных со здоровьем
Р23 Врожденная пневмония
Р23.0 Вирусная врожденная пневмония
Р23.1 Врожденная пневмония, вызванная хламидиями
Р23.2 Врожденная пневмония, вызванная стафилококком
Р23.3 Врожденная пневмония, вызванная стрептококком группы В
Р23.4 Врожденная пневмония, вызванная кишечной палочкой (Escherichia coli)
Р23.5 Врожденная пневмония, вызванная Pseudomonas
Р23.6 Врожденная пневмония, вызванная другими бактериальными агентами Р23.8 Врожденная пневмония, вызванная другими возбудителями Р23.9 Врожденная пневмония неуточненная
В случаях, когда пневмония является одним из проявлений врожденной генерализованной инфекции, используется код соответствующей инфекции - P35, P37. Пневмония, связанная с ранним врождённым сифилисом, — под кодом A50.
Классификация заболевания или состояния (группы заболеваний или состояний)
Врожденные пневмонии классифицируются:
по этиологии: вирусная, бактериальная (микробная), паразитарная, грибковая, смешанная;
по распространенности процесса: очаговая, сегментарная, долевая, односторонняя, двусторонняя;
по тяжести: легкая, средне-тяжелая, тяжелая;
по течению: с осложнениями (пневмоторакс, плевральный выпот, легочная гипертензия) или без осложнений.
Клиническая картина заболевания или состояния (группы заболеваний или состояний)
Ранние клинические симптомы врожденной пневмонии неспецифичны. При осмотре обращают на себя внимание признаки инфекционного токсикоза: нарушение терморегуляции (нестабильная температура (>38,50С или <36,00С)), «мраморность», серый колорит кожи или бледность кожного покрова с периоральным цианозом и/или акроцианозом, который усиливается при возбуждении или при кормлении, снижение тургора тканей, снижение или отсутствие сосательного рефлекса, отказ от кормления, вялость, мышечная гипотония, или наоборот, повышение нервно-рефлекторной возбудимости, тахикардия >180 уд/мин или брадикардия менее 110 уд/мин, глухость сердечных тонов, вздутие живота; интолерантность к энтеральному питанию; признаки дыхательной недостаточности: снижение насыщения крови кислородом; тахипноэ >60/мин или эпизоды апноэ (пауза в дыхании > 15-20 с или >10 с брадикардией); экспираторный стон; втяжение податливых участков грудной клетки; ослабление дыхания, локализованные мелкопузырчатые хрипы или крепитация в легких; снижение эффективности проводимой респираторной терапии, приводящее в том числе к усилению параметров ИВЛ [1-3,7].
Диагностика заболевания или состояния (группы заболеваний или состояний), медицинские показания и противопоказания к применению методов диагностики
Критерии установления диагноза врожденной пневмонии
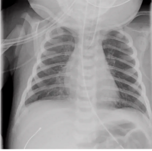
Для подтверждения диагноза необходимо наличие рентгенологических изменений (УЗ или КТ-признаки) и/или наличие клинических и лабораторных данных (таблица 1 и 2).
Основной критерий диагностики врожденной пневмонии:
Наличие инфильтративных или очаговых теней на рентгенограмме легких.
Комментарии: Рентгенологические симптомы врожденной пневмонии не обладают необходимой специфичностью и достаточно вариабельны, поэтому только на их основании затруднительно сделать заключение об этиологическом факторе воспалительного процесса. Возможно двустороннее поражение легочной ткани, как правило, в виде неоднородной картины легких — сочетание участков уплотнения легочной ткани и компенсаторного повышения воздушности, возможен выпот в плевральных полостях [17,18].
Неоднородные изменения легочного рисунка в сочетании с плевральным выпотом позволяет с большой вероятностью предположить наличие врожденной пневмонии, в первую очередь, вызванной стрептококком группы В [17,19]. Возможно наличие очагов уплотнения легочной ткани. Выраженное уплотнение, ограниченное одной, отдельно взятой долей, сравнительно редко встречается у новорожденных [20]. Врожденная пневмония должна исключаться при появлении новых инфильтративных затенений или при сохранении рентгенологических изменений в течение 48 ч после рождения.
Рентгенологически отличить респираторный дистресс синдром и врожденную пневмонию у недоношенных новорожденных в первые 72 часа затруднительно, в этой связи возможными рентгенологическими признаками, свидетельствующими в пользу врожденной пневмонии у недоношенных детей, по сравнению с РДС, могут быть появление крупно- и мелкоочаговых теней на фоне грубой сетчатости легочного рисунка, сгущение легочного рисунка в прикорневых зонах, значение кардио-торакального индекса менее 0,5 в возрасте 72 ч жизни [3].
Вспомогательные диагностические критерии врожденной пневмонии: Представленная ниже таблица отражает общие признаки, применяемые для диагностики у новорожденных сепсиса и пневмонии, и может быть использована в качестве вспомогательных диагностических критериев врожденной пневмонии.



Исследование плаценты: такие изменения в плаценте, как децидуит, виллузит, фунизит, инфильтрации тканей плаценты могут косвенно указывать на реализацию инфекционного процесса у новорожденного и являются дополнительным фактором при постановке диагноза пневмония у новорожденного (зависит от уровня лечебного учреждения, оказывающего помощь новорожденным)
Эпизоды интолерантности к глюкозе, зарегистрированные как минимум дважды (при соответствующей возрасту скорости поступления глюкозы)
Диагноз выставляется при наличии основного критерия (столбец I).В случае его отсутствия используется комбинация вспомогательных критериев с наличием всех 3 пунктов (столбец II).
В случае отсутствия лабораторных признаков течения инфекционного процесса (пункт 3 столбец II) используются дополнительные критерии (столбец III) - необходимо наличие 3 и более дополнительных критериев.
Жалобы и анамнез
• Рекомендуется изучить анамнез матери для выявления факторов риска развития врожденной пневмонии [4,11,13,27-38].
Уровень убедительности рекомендаций С (уровень достоверности доказательств-4).
Комментарии: К материнским факторам риска развития врожденной пневмонии относятся:
наличие острой инфекции у матери или обострение хронической, в особенности в последние 2 недели перед родоразрешением;
лабораторные данные у матери перед родами: повышенный уровень СРБ,
лейкоцитоз (искл., лейкоцитоз после недавнего назначения глюкокортикоидов (код АТХН02АВ));
колонизация родового тракта матери стрептококком группы B (СГВ);
преждевременный разрыв плодных оболочек, дородовое излитие околоплодных вод (БП > 18 часов);
повышение температуры матери во время родов > 38° C и выше на протяжении более 2 часов;
признаки хориоамнионита;
внутриматочные вмешательства во время настоящей беременности;
антибактериальная терапия у матери непосредственно перед родами или в родах защищенными пенициллинами (J01CF Пенициллины, устойчивые к бета-лактамазам) или антибактериальными препаратами системного действия (код АТХJ01)(резерва);
преждевременные роды.
Материнские факторы риска развития врожденной пневмонии для отдельных
перинатальных инфекций:
употребление матерью сырого мяса, сырых яиц, сырого молока или загрязнённых овощей и фруктов, либо контакт с фекалиями кошки во время беременности (Toxoplasma gondii); роды через естественные родовые пути при наличии первичной материнской инфекции, вызванной вирусом простого герпеса 1-го или 2-го типа (вирус простого герпеса);
серонегативные матери, у которых развивается первичная инфекция во время беременности (цитомегаловирус) или обострение цитомегаловирусной инфекции у серопозитивных беременных (см. Клинические рекомендации «Врожденная цитомегаловирусная инфекция»);
ВИЧ-инфекция у матери;
употребление молочных продуктов и продуктов, не прошедших достаточной термической обработки (Listeria monocytogenes);
бактериурия во время беременности.
Физикальное обследование
Новорожденному с дыхательными нарушениями и подозрением на врожденную пневмонию рекомендуется проведение визуального осмотра терапевтического [1,3,8,39-41].
Уровень убедительности рекомендаций С (уровень достоверности доказательств - 4)
Комментарии: см. раздел 1.6. Клиническая картина.
У новорожденного с дыхательными нарушениями и подозрением на врожденную пневмонию при аускультации легких, как правило, выслушивается ослабленное или жесткое дыхание, локализованные мелкопузырчатые хрипы и крепитация, при слиянии очагов может выслушиваться бронхиальное дыхание. При ослабленном дыхании хрипы могут не выслушиваться.
Все описанные клинические проявления неспецифичны и могут наблюдаться у новорожденных детей на фоне других заболеваний дыхательной системы, поэтому в диагностике врождённой пневмонии большое значение имеют факторы риска реализации инфекционного процесса у новорожденного, рентгенологическое и лабораторное обследования.
К неонатальным факторам риска развития врожденной пневмонии
относятся недоношенность, низкая масса тела при рождении, мужской пол ребенка.
• Новорожденному с дыхательными нарушениями рекомендуется провести визуальное исследование при заболеваниях легких и бронхов и аускультацию при заболевании легких и бронхов с использованием шкалы Сильвермана-Андерсен для оценки степени дыхательных расстройств и определения тактики респираторной терапии [42,43].
Уровень убедительности рекомендаций B (уровень достоверности доказательств - 3).
Комментарии: см. Приложение Г1.
Лабораторные диагностические исследования
Новорожденному с подозрением на течение врожденной пневмонии рекомендуется провести микробиологическое (культуральное) исследование крови на стерильность и определение чувствительности микроорганизмов к антимикробным химиотерапевтическим препаратам для выявления возбудителя и определения тактики антимикробной терапии [8,32,44-46].
Уровень убедительности рекомендаций С (уровень достоверности доказательств-4).
Новорожденному с подозрением на течение врожденной пневмонии в случае проведения интубации трахеи рекомендуется провести микробиологическое (культуральное) исследование мокроты на аэробные и факультативно-анаэробные микроорганизмы, мокроты на грибы (дрожжевые и мицелиальные) и определение чувствительности микроорганизмов к антимикробным химиотерапевтическим препаратам для выявления возбудителя и определения тактики антимикробной терапии [8,32,44,45].
Уровень убедительности рекомендаций С уровень достоверности доказательств-4).
• Новорожденному с подозрением на течение врожденной пневмонии рекомендуется провести исследование общего (клинического) анализа крови развернутого с дифференциальным подсчетом лейкоцитов, расчетом нейтрофильного индекса для выявления воспалительных изменений с повтором исследования в возрасте 48-72 часов при отсутствии выставленного диагноза врожденной пневмонии и в конце курса антимикробной терапии для решения вопроса об отмене или пролонгации антимикробной терапии [14,45,47-52]. Уровень убедительности рекомендаций В (уровень достоверности доказательств - 3).
Комментарии: Высокий нейтрофильный индекс (НИ) и низкое абсолютное количество нейтрофилов являются предикторами инфекции у новорожденных, главным образом, в возрасте > 4 часов жизни. Чувствительность абсолютного количества нейтрофилов 78%, специфичность -73%, чувствительность НИ - 78%, специфичность - 75% [47-50].
• Новорожденному с подозрением на течение врожденной пневмонии рекомендуется провести исследование уровня С-реактивного белка в сыворотке крови (СРБ) для выявления лабораторных признаков системного воспалительного ответа с повтором исследования в возрасте 48-72 часов при отсутствии выставленного диагноза врожденной пневмонии и в конце курса антимикробной терапии для решения вопроса об отмене или пролонгации антимикробной терапии [46,53-56].
Уровень убедительности рекомендаций B (уровень достоверности доказательств-1).
Комментарии: Верхняя граница нормативных значений СРБ определяется используемым методом и типом анализатора в конкретной МО.
СРБ начинает вырабатываться в печени спустя 4-6 часов после стимуляции инфекционным агентом и достигает максимального пика в 36-48 часов. Проведенные исследования показали, что определение СРБ в первые 6-8 часов после рождения обладает низкой чувствительностью 35-50% и высокой долей ложноположительных результатов 30% [57,58]. Оптимальным временем
исследования считается 24-48 часов после рождения, серийное исследование в динамике повышает чувствительность и специфичность до 74-98%, специфичность до 71-94% [58-61]. Повышение уровня СРБ является ранним признаком бактериальной инфекции у доношенных детей, тогда как подобная закономерность между его концентрацией в крови у недоношенных детей и наличием у них инфекционной патологии четко не доказана (чувствительность 68,5%, специфичность 85,5%)[54]. На повышение уровня СРБ в первые 24-48 часов после рождения могут влиять также неинфекционные состояния новорожденного, такие как: травма, ишемическое повреждение тканей и гемолиз [54,62].
Допустимо также дополнительное использование других лабораторных маркеров ССВО при возможностях конкретной медицинской организации: исследование уровня пресепсина в крови (растворимый CD14) (чувствительность при ранней инфекции 81%-91%, специфичность 60-86%, AUC 0,76-0,94)[63,64], исследование уровня прокальцитонина в крови в соответствии с порогом отсечки в зависимости от возраста (часы) после рождения (минимум 2,5 нг/мл)(чувствительность 75%, специфичность 83%)[24].
Комбинации различных лабораторных маркеров ССВО повышают диагностическую возможность определения инфекционного состояния [65,66].
Для решения вопроса о смене, пролонгации или отмене курса антимикробной терапии следует использовать исследование уровня С-реактивного белка и, при возможности конкретной МО, исследование уровня прокальцитонина. Исследования уровня пресепсина в крови не используется для определения дальнейшей тактики антимикробной терапии (отмена, смена, пролонгация курса), а только для ранней диагностики инфекционного заболевания.
• В случае длительного нахождения матери на стационарном лечении во время данной беременности, проведения неоднократных курсов антибактериальной, гормональной и/или цитотоксической терапии, наличия у матери имплантированных органов или устройств (искусственные клапаны), а также в случае наличия факторов риска развития инфекции или клинические и/или лабораторные признаки течения инфекции у матери новорожденному с подозрением на течение врожденной пневмонии рекомендуется селективное определение ДНК цитомегаловируса (Cytomegalovirus), вируса герпеса 6 типа (HHV6), токсоплазмы (Toxoplasma gondii), РНК вируса краснухи (Rubella virus) методом ПЦР в периферической и пуповинной крови, количественное исследование, определение ДНК Treponema pallidum, хламидий (Chlamydia spp.), Streptococcus agalactiae (SGB), Streptococcus pyogenes (SGA), гемофильной палочки ( Haemophilus influenzae), микобактерии туберкулеза (Mycobacterium tuberculosis complex), вируса ветряной оспы и опоясывающего лишая (Varicella-Zoster virus) в крови методом ПЦР, количественное исследование, простого герпеса 1 и 2 типов (Herpes simplex virus types 1, 2), листерий (Listeria monocytogenes), Pseudomonas aeruginosa, методом ПЦР в крови, количественное исследование, молекулярнобиологическое исследование мочи на уреаплазмы (Ureaplasma spp.) с уточнением вида, молекулярно-биологическое исследование отделяемого верхних дыхательных путей на микоплазму хоминис (Mycoplasma hominis), молекулярно-биологическое исследование бронхо-альвеолярной лаважной жидкости, мокроты, эндотрахеального аспирата на метициллин-чувствительные и метициллин- резистентные Staphylococcus aureus, метициллин-резистентны коагулазонегативные Staphylococcus spp, молекулярно-биологическое исследование мокроты, бронхоальвеолярной лаважной жидкости на цитомегаловирус (Cytomegalovirus) для выявления возбудителей врожденной пневмонии [1,8,67,68]. Уровень убедительности рекомендаций С (уровень достоверности доказательств - 5).
Комментарии: проведение исследования крови методом ПЦР зависит от технических возможностей лаборатории МО. При отсутствии возможности количественного исследования допустимо проведение качественного исследования.
Новорожденному с дыхательными нарушениями рекомендуется провести исследование кислотно-основного состояния и газов крови, уровня молочной кислоты в крови, уровня глюкозы в крови для оценки гипоксии и метаболических нарушений с повтором исследования кислотно-основного состояния и газов крови для определения дальнейшей тактики респираторной терапии и коррекции параметров [8,69-75].
Уровень убедительности рекомендаций В (уровень достоверности доказательств - 2).
Комментарии: Кратность проведения исследования зависит от клинического состояния ребенка и проводимой респираторной терапии. Определение уровня молочной кислоты в крови зависит от технических возможностей экспресслаборатории и ее наличия.
Инструментальные диагностические исследования
Всем новорожденным с дыхательными нарушениями рекомендуется проведение рентгенографии легких для оценки изменений легочной ткани и диагностики врожденной пневмонии [1,3,17,19,41,45,76,77].
Уровень убедительности рекомендаций В (уровень достоверности доказательств-2).
Комментарии: см. раздел Критерии установления диагноза
• Новорожденному с дыхательными нарушениями рекомендуется селективное проведение ультразвукового исследования легких для выявления признаков пневмонии при наличии специалиста, владеющего данным методом [78-84]. Уровень убедительности рекомендаций А (уровень достоверности доказательств - 1).
Комментарии: Ультразвуковые признаки пневмонии проявляются уплотнением и динамикой воздушной бронхограммы, B-линий и плеврального выпота, могут отмечаться аномальные плевральные линии и снижение скольжения легких [85]. По результатам метаанализов УЗИ легких является более точным методом, чем рентгенологическое исследование [78,83,84].
На сегодняшний день УЗИ легких является доступным, неинвазивным легко воспроизводимым методом исследования. Учитывая отсутствие ионизирующего излучения может проводится многократно непосредственно у постели больного. Чувствительность УЗИ легких при пневмонии у новорожденных составляет 93100%, специфичность - 96-100% [79-81].
В норме ткань легкого при ультразвуковом исследовании не видна, визуализируется только эхогенная плевральная линия с отходящими от нее артефактами. Основным признаком пневмонии является консолидация.
При пневмонии воспаленная и отечная ткань легкого, богатая жидкостью, становится видимой при ультразвуковом исследовании
Тканевой признак (tissue-like sign)
При консолидации (уплотнении) на эхограммах легкое напоминает ткань печени («гепатизация» легочной ткани);
Признак неровной, рваной границы (shred sign)
При субплевральном расположении очага, его поверхностная плевральная граница ровная, нижняя граница представлена гиперэхогенной рваной линией (очерчивает зону уплотнения от здоровой аэрированной ткани легкого);
Динамическая «аэро-бронхограмма» (air-bronchogram)- множественные мелкие линейные гиперэхогенные структуры, движущиеся внутри зоны консолидации - это остаточный воздух внутри бронхиол;
“Жидкостная бронхограмма ” (fluid-bronchogram) - анэхогенные трубчатые структуры, являющиеся жидкостью в бронхиолах или вдоль них. Данный признак встречается реже, чем аэробронхограмма.
Провести дифференциацию жидкостной бронхограммы от легочных сосудов позволяет режим цветного допплер картирования.
В-линии могут определяться в фазу экссудации, но могут быть проявлением и других респираторных патологических состояний.
При пневмонии возможно появление плеврального выпота [86].
• Новорожденному с течением врожденной пневмонии рекомендуется проведение эхокардиографии, нейросонографии, ультразвукового исследования брюшной полости (комплексного), ультразвукового исследования почек и надпочечников для выявления осложнений врожденной пневмонии [87-98].
Уровень убедительности рекомендаций В (уровень достоверности доказательств - 3).
Комментарии: При сопутствующих нарушениях различных органов и систем проведение эхокардиографии (ЭХО-КГ), нейросонографии (НСГ) и ультразвукового исследования (УЗИ) брюшной полости, почек и надпочечников могут способствовать своевременному назначению и коррекции симптоматической терапии.
Новорожденному с дыхательными нарушениями при подозрении на врожденные пороки развития рекомендуется селективное проведение компьютерной томографии органов грудной полости для дифференциальной диагностики с врожденными пороками развития легких, врожденным дефицитом сурфактантных протеинов и другими интерстициальными заболеваниями легких [99-102].
Уровень убедительности рекомендаций В (уровень достоверности доказательств - 1) -для врожденных пороков развития легких.
Уровень убедительности рекомендаций С (уровень достоверности доказательств - 4) -для врожденных дефицитов сурфактантных белков и других интерстициальных заболеваниях легких.
Комментарии: проведение компьютерной томографии зависит от технических возможностей медицинской организации.
При проведении компьютерной томографии может потребоваться анестезиологическое пособие (тотальная внутривенная анестезия, комбинированный ингаляционный наркоз или сочетанная анестезия).
Новорожденному с врожденной пневмонией при наличии отклонений со стороны сердечной деятельности: аритмия, выраженная бради- или тахикардия рекомендуется регистрация электрокардиограммы (ЭКГ) для выявления характера нарушений ритма сердца [103-106].
Уровень убедительности рекомендаций С (уровень достоверности
доказательств - 4).
• Новорожденным с дыхательными нарушениями, в особенности нуждающимся в проведении респираторной терапии, рекомендуется проведение суточного прикроватного мониторирования жизненных функций и параметров (ЧСС, ЧД, АД, SpO2, температура тела, диурез) для своевременного назначения симптоматической и этиотропной терапии [105,107-119].
Уровень убедительности рекомендаций В (уровень достоверности доказательств - 3).
Иные диагностические исследования
Не применяются.
Лечение, включая медикаментозную и немедикаментозную терапии, диетотерапию, обезболивание, медицинские показания и противопоказания к применению методов лечения
Консервативное лечение
Лечение врожденной пневмонии включает в себя:
Этиотропную терапию - воздействие непосредственно на возбудителя заболевания;
Патогенетическую терапию - лечение дыхательной недостаточности;
Симптоматическую терапию - коррекция метаболических нарушений, недостаточности органов и систем.
Этиотропная терапия
• Новорожденному с врожденной пневмонией или подозрением на врожденную пневмонию рекомендуется назначение противомикробных препаратов системного действия (код АТХ J) для основного этиологического лечения [120-122].
Уровень убедительности рекомендаций А (уровень достоверности доказательств-1).
Комментарии: Антимикробная терапия (АМТ) по подозрению на реализацию врожденной пневмонии показана в как можно более ранние сроки после рождения следующим категориям детей с дыхательными нарушениями: пациенты очень низкой и экстремально массы тела при рождении (ОНМТ, ЭНМТ), а также новорожденные, с рождения потребовавшие проведения инвазивной респираторной терапии. Предпочтительно начинать АМТ не позднее 2-х часов жизни. Первое введение препаратов стартовой схемы АМТ осуществляется одномоментно.
Новорожденным массой тела более 1500 г при рождении АМТ назначается при наличии показаний по результатам первичного клинико-лабораторного обследования.
АМТ, начатая по подозрению в первые сутки жизни, отменяется при отсутствии клинико-лабораторных и инструментальных данных, подтверждающих течение врожденной пневмонии в течение 72-х часов жизни;
При установленном диагнозе пневмонии эмпирическая схема АМТ продолжается 7 дней (минимальный курс АМТ при врожденной пневмонии), затем проводится клинико-лабораторное обследование с контролем лабораторных маркеров ССВО для решения вопроса об отмене или усилении АМТ. При признаках неэффективности АМТ после 72 часов жизни следует рассмотреть вопрос о смене АМТ.
При нормализации уровней лабораторных маркеров ССВО и общего (клинического) анализа крови АМТ отменяется.
Продолжительность и тактика антимикробной терапии определяется в каждом случае индивидуально и зависит от тяжести состояния ребенка и нормализации клинических и лабораторных данных. Сохранение остаточных рентгенологических изменений в виде усиления легочного рисунка и участков гиповентиляции при нормализации состояния и лабораторных данных не является показанием для продолжения терапии.
АМТ проводится с учетом локальных протоколов, принятых в конкретной МО. Схемы стартовой АМТ (Приложение А3.2) [121,123-125]:
Схема А: назначение эмпирической АМТ в комбинации пенициллинов широкого спектра действия (код АТХ J01CA) (ампициллин**) и других аминогликозидов (код АТХ J01GB) (#гентамицин**, амикацин**, нетилмицин)[121,123-125]. При нарушении функции почек целесообразно решить вопрос об отмене других аминогликозидов (код АТХ J01CA) в индивидуальном порядке с учетом имеющихся данных анамнеза, результатов лабораторного и микробиологического обследования пациента. Возможно продолжение АМТ комбинацией пенициллинов, включая комбинации с ингибиторами бета- лактамаз (код АТХ J01CR) (Ампициллин+[Сул ь бактам]**).
Схема Б: предусматривает проведение антимикробной терапии новорожденным, в анамнезе матерей которых имеются отягощающие факторы, такие как: хориоамнионит, внутриутробные вмешательства, длительный безводный промежуток (более 18 часов), повышенный СРБ, лихорадка в родах длительностью более 2 часов, АМТ у матери непосредственно перед родами и в родах комбинацию пенициллинов, включая комбинации с ингибиторами бета- лактамаз (код АТХ J01CR) или другими бета-лактамными антибактериальными препаратами (код АТХ J01D), высев из цервикального канала стрептококка группы В. Целесообразно использовать комбинацию пенициллинов, включая комбинации с ингибиторами бета- лактамаз (код АТХ J01CR) (Ампициллин+[Сульбактам]**) и других аминогликозидов (код АТХ J01GB) (#гентамицин**, амикацин**, нетилмицин).
Предпочтение отдается парентеральному введению противомикробных препаратов системного действия (код АТХ J) (внутривенное введение лекарственных средств). Не рекомендуется назначать препараты, содержащие амоксициллин+[Клавулановая кислота]** (код АТХ J01CR) в связи с возможным неблагоприятным воздействием клавулановой кислоты на кишечную стенку, особенно у недоношенных новорожденных. Нецелесообразно включение в стартовую схему антимикробной терапии вместо пенициллинов широкого спектра действия (код АТХ J01CA) цефалоспоринов 1-го (код АТХ J01DB), 2-го (код АТХ J01DG), 3-го (код АТХ J01DD), и 4-го (код АТХ J01DE) поколений из-за отсутствия активности в отношении Listeria monocytogenes и Enterococcus spp., а также риска в отношении развития НЭК и инвазивного кандидоза у новорождённых ЭНМТ [126].
Схема В: применение целенаправленной антимикробной терапии.
Целенаправленная антимикробная терапия применяется при наличии у матери флоры, резистентной к препаратам стартовых схем АМТ «А» и «Б» и/или после получения лабораторных анализов новорожденного с определением чувствительности микроорганизмов к антимикробным препаратам cистемного действия (код АТХ J01) [32]. В случае отсутствия чувствительности выделенных возбудителей к препаратам стартовой схемы, необходимо провести смену на антимикробные препараты системного действия (код АТХJ), к котором выявлена чувствительность. В последнее десятилетие возросла частота встречаемости флоры, резистентной к стартовой схеме антибактериальной терапии, как причины раннего неонатального сепсиса, включающий в себя в том числе и поражение легких (пневмонию), что послужило поводом для коррекции локальных протоколов зарубежных клиник с включением в стартовую антибактериальную терапию антибактериальных препаратов системного действия (код АТХ J01), направленных на резистентную, как грамположительную, так и грамотрицательную, флору в случае ее идентификации у матери или у новорожденного (ванкомицин• **(код АТХ J01XA), линезолид** (код АТХ J01XX), цефалоспорины 3-го поколения (код АТХ J01DD), карбапенемы (код АТХ J01DH))\122,127-134]. (Приложение А3.2.)
В случае выявления атипичных возбудителей врожденной пневмонии (Chlamydia trachomatis, Ureaplasma spp., Mycoplasma spp.) антибактериальная терапия проводится макролидами (код АТХ J01FA), например, эритромицином (код АТХ J01FA01)\1,135].
В случае выявления инвазивного кандидоза, вызванного грибковой флорой рода Candida albicans терапия проводится противогрибковым препаратом системного действия из группы производных триазола (код АТХ J02AC) - флуконазолом** в дозе 12 мг/кг/сут. При выявлении инвазивного кандидоза, вызванного грибковой флорой рода Candida non-albicans или Candida albicans, резистентной к флуконазолу**(код АТХ J02AC), терапия проводится другим противогрибковым препаратом системного действия (код АТХ J02AX) - микафунгином** в стартовой дозе 4 мг/кг/сут.
Дозы антибактериальных препаратов системного действия (код АТХ J01) представлены в Приложении А3.2.
• Новорожденному с вирусной пневмонией рекомендуется назначение противовирусной терапии в зависимости от выявленного возбудителя противовирусными препаратами прямого действия (код АТХ J05A) группы нуклеозиды и нуклеотиды, кроме ингибиторов обратной транскриптазы (код АТХ J05AB) (#ганцикловир**, #валганцикловир**, ацикловир**) для основного этиотропного лечения и снижения неблагоприятных неврологических исходов \ 136—139].
Уровень убедительности рекомендаций В (уровень достоверности доказательств-2) - для цитомегаловируса.
Уровень убедительности рекомендаций С (уровень достоверности доказательств-4) - для вирусов герпеса.
Комментарии: Лечение цитомегаловирусной пневмонии проводится в соответствии с клиническими рекомендациями «Врожденная цитомегаловирусная инфекция». Длительность лечения составляет 6 месяцев. #Ганцикловир** (код АТХ J05AB) назначается в разовой дозе 6 мг/кг 2 раза в сутки путем непрерывного внутривенного введения с последующим переходом на #валганцикловир**(код АТХ J05AB) в разовой дозе 16 мг/кг 2 раза в сутки перорально [136,137].
Врожденная пневмония, вызванная герпес вирусом 6 типа, встречается крайне редко. Исходя из представленных в литературе случаев лечение проводится #ганцикловиром**(код АТХ J05AB), который назначается в разовой дозе 6 мг/кг 2 раза длительностью 1 месяц [138].
Лечение врожденной пневмонии, вызванной вирусом простого герпеса, проводится ацикловиром** (код АТХ J05AB) в разовой дозе 20 мг/кг каждые 8 часов, длительность курса 21 день [139].
Патогенетически обоснованная интенсивная терапия
• Недоношенным детям с врожденной пневмонией и дыхательными расстройствами рекомендуется селективное введение препаратов легочных сурфактантов (код АТХ R07AA) - фосфолипидов натуральных (код АТХ R07AA02) по показаниям независимо от массы тела при рождении для улучшения альвеолярного дыхания, снижения потребности в респираторной поддержке, снижения потребности в кислороде [140-146].
Уровень убедительности рекомендаций А (уровень достоверности доказательств - 1).
Комментарии: Легочные сурфактанты (код АТХ R07AA) - фосфолипиды натуральные (код АТХR07AX02) - порактант альфа**, берактант**, альвеофакт могут быть использованы у новорожденных с врожденной пневмонией при нарастающей потребности в дотации дополнительного кислорода и усилении проводимой респираторной терапии. По результатам ряда исследований сурфактантная терапия улучшает газообмен у большинства пациентов с пневмонией, но реакция более медленна, чем у новорожденных с РДС. Однократное введение легочного сурфактанта (код АТХR07AA) - фосфолипидов натуральных (код АТХR07AА02) новорожденным с врожденной пневмонией менее эффективно, большому количеству детей с врожденной пневмонией требуется повторное введение легочного сурфактанта (код АТХ R07AA) [147-151]. Введение легочных сурфактантов (код АТХ R07AA) противопоказано при синдроме утечки воздуха, профузном легочном кровотечении (возможно введение после купирования кровотечения или пневмоторакса при наличии показаний).
Введение легочных сурфактантов (код АТХR07AA) - фосфолипидов натуральных (код АТХR07AA02) - доза, путь и способ введения проводить в соответствии с инструкцией к препарату.
Новорожденным с врожденной пневмонией и кислородозависимостью рекомендуется проведение неинвазивной искусственной вентиляции легких (NIPPV, СРАР) для лечения дыхательной недостаточности и предотвращения повреждения легких [146,152-156].
Уровень убедительность рекомендаций А (уровень достоверности доказательств - 1).
Новорожденным с дыхательными нарушениями, у которых неинвазивная искусственная вентиляция легких (NIPPV, СРАР) оказалась неэффективной, рекомендуется проведение инвазивной искусственной вентиляции легких (ИВЛ, в том числе высокочастотной искусственной вентиляции легких) для лечения дыхательной недостаточности [117,146,157-159].
Уровень убедительности рекомендаций А (уровень достоверности доказательств - 1).
Комментарии: Следует минимизировать продолжительность инвазивной ИВЛ. Следует проводить ИВЛ с контролем дыхательного объема, что сокращает ее длительность и позволяет снизить частоту таких осложнений, как БЛД и ВЖК [160-162]. Обязательным условием для успешного использования данного вида дыхательной терапии у новорожденных является возможность регулярно контролировать газовый состав крови. Новорожденным на ИВЛ при необходимости проводится селективная седация и аналгезия [163]. Неэффективность традиционной ИВЛ является показанием для перевода на высокочастотную (осцилляторную) искусственную вентиляцию легких (ВЧОИВЛ). При ВЧОИВЛ за счет стабилизации объема альвеол происходит уменьшение ателектазов, увеличение площади газообмена и улучшение легочного кровотока. В результате правильно проводимой респираторной терапии становится адекватным соотношение вентиляция-перфузия, что приводит к улучшению газообмена в легких.
Симптоматическая терапия
Симптоматическая терапия включает в себя назначение лекарственных средств в зависимости от клинических проявлений течения инфекционного заболевания (антигеморрагическая, гемостатическая, противосудорожная, седативная,
Хирургическое лечение
Не применяется.
Иное лечение
Лечебно-охранительный режим подразумевает создание оптимальных условий выхаживания новорожденных.
Ребенку показано пребывание в условиях термонейтральной среды, ограничение сенсорной стимуляции (защита от света, шума, прикосновений), постуральная поддержка, профилактика болевого синдрома;
Ребенку показано адекватное энтеральное и, при
необходимости, парентеральное питание. Преимущество в энтеральном вскармливании
отдается материнскому молоку. При недостаточной лактации или наличии
противопоказаний к грудному вскармливанию со стороны матери вскармливание
новорожденного проводится сухой адаптированной молочной смесью для
вскармливания детей с рождения или сухой/готовой специальной молочной смесью
для вскармливания недоношенных и маловесных детей.
• Новорожденному ребенку с врожденной пневмонией рекомендуется селективное проведение инфузионной терапии и парентерального питания для обеспечения жидкостью и электролитами, дотации белков, жиров и углеводов, исходя из физиологических потребностей и патологических потерь, поддержания водноэлектролитного баланса организма [164-170].
Уровень убедительности рекомендаций С (уровень достоверности доказательств-5).
Комментарии: Парентеральное питание проводится растворами для парентерального питания (код АТХ В05ВА) в случае невозможности дотации необходимого для гестационного возраста уровня потребности в белках, жирах, углеводах, электролитах и объема жидкости путем энтерального питания. Потребности в жидкости, белках, жирах, углеводах, электролитах в зависимости от ГВ и массы тела при рождении указаны в Приложении А3.3.
Для парентерального питания используют: аминокислоты для парентерального питания (код АТХ В05ВА01), жировые эмульсии для парентерального питания (код АТХ В05ВА02), углеводы (код АТХ В05ВА03), растворы электролитов (код АТХВ05ХА), препараты кальция (код АТХ А12АА).
Медицинская реабилитация и санаторно-курортное лечение, медицинские показания и противопоказания к применению методов медицинской реабилитации, в том числе основанных на использовании природных лечебных факторов
Медицинская реабилитация проводится в зависимости от сопутствующей патологии и осложнений профильными специалистами (врач-невролог, врач- офтальмолог, врач-пульмонолог и др.).
Профилактика и диспансерное наблюдение, медицинские показания и противопоказания к применению методов профилактики
Профилактика врожденной пневмонии заключается в своевременном выявлении и лечении инфекционных заболеваний у матери во время беременности [171,172]. Необходимо соблюдение санитарно-противоэпидемического режима в родовспомогательных медицинских организациях.
Организация оказания медицинской помощи
Лечение новорожденных с врожденной пневмонией проводится в стационарных условиях. При развитии клинических признаков врожденной пневмонии новорожденный подлежит переводу в отделение реанимации и интенсивной терапии новорожденных (ОРИТН)/ палату интенсивной терапии (ПИТ) или в отделение патологии новорожденных и недоношенных детей (ОПНиНД) в зависимости от тяжести состояния и выраженности дыхательной недостаточности.
Показания к выписке пациента из медицинской организации:
Достигнута стабилизация состояния ребенка, отсутствуют признаки дыхательной недостаточности, воспалительные изменения на рентгенограмме легких;
Нормализация лабораторных маркеров ССВО;
Отсутствуют другие противопоказания к выписке.
Дополнительная информация (в том числе факторы, влияющие на
исход заболевания или состояния)
Прогноз заболевания при отсутствии сопутствующих заболеваний, как правило, благоприятный.
У глубоко недоношенных детей, перенесших врожденную пневмонию, повышается риск развития бронхолегочной дисплазии.
Дифференциальная диагностика врожденной пневмонии проводится со следующими заболеваниями и состояниями:
Транзиторное тахипноэ новорожденных;
РДС новорожденных;
Неонатальная аспирация мекония;
Другие виды аспирации (крови, молока);
Синдром утечки воздуха;
Персистирующая лёгочная гипертензия новорожденных;
Врожденные пороки развития легких (врожденная мальформация дыхательных путей (прежние названия - врожденная кистозная аденоматозная мальформация, кистозная гипоплазия легких), аплазия, гипоплазия легких и др.);
Врождённая диафрагмальная грыжа;
Врожденные пороки сердца;
Интерстициальные заболевания легких;
Другие причины развития дыхательных нарушений внелегочного генеза.


Список литературы
Овсянников Д.Ю., Бойцова Е.В. Пневмонии у новорожденных детей // Педиатрия. Cons. Medicum. 2021. № 3. P. 214-223.
Волянюк Е., Сафина А. Врожденная Пневмония У Недоношенных Новорожденных: Особенности Этиологии, Диагностики И Лечения // Практическая Медицина. 2011. Vol. 5, № 53.
Бойцова Е. В., Овсянников Д. Ю., Запевалова Е. Ю. [и др.]. Проблемы и дискуссионные вопросы диагностики пневмоний у новорожденных детей // Педиатрия. Журнал им. Г.Н. Сперанского. 2019. Vol. 98, № 2. P. 178-185.
Черняховский О.Б., Абрамова И.В., Полянчикова О.Л. Внутриутробные инфекции у новорожденных , факторы риска // Российский вестник перинатологии и педиатрии. 2009. Vol. 54, № 1. P. 88.
Duke T. Neonatal pneumonia in developing countries // Arch. Dis. Child. Fetal Neonatal Ed. 2005. Vol. 90, № 3. P. 211-219.
Зубков В.В., Рюмина И.И. Акушерство. Национальное руководство. 2nd^ издани ed. / ed. Г.М.Савельевой, Г.Т.Сухих, В.Н.Серова В.Е.Р. Москва: Геотар-Медиа, 2015. 1025 p.
Неонатология. Нац. руководство под ред Н.Н. Володина. Москва: ГЭОТАР-Мед, 2007. 848 p.
Hooven T.A., Polin R.A. Pneumonia // Semin. Fetal Neonatal Med. 2017. Vol. 22, № 4. P. 206-213.
Банкалари Э.;под редакцией Р. Полина; перевод с англ.; под ред. Д.Ю. Овсянникова. Легкие новорожденных. Москва: Логосфера, 2015. 672 р.
Weston E.J. et al. The burden of invasive early-onset neonatal sepsis in the United States, 2005-2008. // Pediatr Infect Dis J. 2011. Vol. 30, № 11. P. 937-941.
Puopolo K.M. et al. Estimating the probability of neonatal early-onset infection on the basis of maternal risk factors // Pediatrics. 2011. Vol. 128, № 5.
Stoll B.J. et al. Early onset neonatal sepsis: The burden of group B streptococcal and E. coli disease continues // Pediatrics. 2011. Vol. 127, № 5. P. 817-826.
Kuhn P. et al. Incidence and distribution of pathogens in early-onset neonatal sepsis in the era of antenatal antibiotics // Paediatr. Perinat. Epidemiol. 2010. Vol. 24, № 5. P. 479487.
Kuzniewicz M.W. et al. A quantitative, risk-based approach to the management of neonatal early-onset sepsis // JAMA Pediatr. 2017. Vol. 171, № 4. P. 365-371.
Sgro M. et al. Population-based study of early-onset neonatal sepsis in Canada // Paediatr. Child Heal. 2019. Vol. 24, № 2. P. E66-E73.
Щеголев А.И., Туманова У.Н., Шувалова М.П., Фролова О.Г. Врожденная пневмония как причина перинатальной смертности в Российской Федерации // Неонатология: новости, мнения, обучение. 2016. Vol. 2, № 12. P. 61-66.
Cleveland R.H. A radiologic update on medical diseases of the newborn chest // Pediatr. Radiol. 1995. Vol. 25, № 8. P. 631-637.
Lobo L. The neonatal chest // Eur. J. Radiol. 2006. Vol. 60, № 2. P. 152-158.
Haney PJ, Bohlman M S.C. Radiographic findings in neonatal pneumonia. // AJR Am J Roentgenol. 1984. Vol. 143, № 1. P. 23-26.
Swischuk LE. Respiratory system // Imaging of the newborn, infant, and young child. 4th ed. Baltimore: Williams & Wilkins, 1997. P. 43-47.
Funke A. et al. Frequency, natural course, and outcome of neonatal neutropenia // Pediatrics. 2000. Vol. 106, № 1 I. P. 45-51.
Ohls R.K. Y.M.C. et al. Hematology, immunology and infection disease: neonatology questions and controversies. Elsiever, 2008. 294 p.
Wiedmeier S.E. et al. Platelet reference ranges for neonates, defined using data from over 47000 patients in a multihospital healthcare system // J. Perinatol. 2009. Vol. 29, № 2. P. 130-136.
Pontrelli G. et al. Accuracy of serum procalcitonin for the diagnosis of sepsis in neonates and children with systemic inflammatory syndrome: A meta-analysis // BMC Infect. Dis. BMC Infectious Diseases, 2017. Vol. 17, № 1. P. 1-12.
Hedlund GL, Griscom NT, Cleveland RH K.D. Practical pediatric imaging: diagnostic radiology of infants and children. // Respiratory system. 3rd ed. / ed. Kirks DR G.N. Philadelphia: Lippincott-Raven, 1998. P. 715-717.
Donoqhue V. Radiological Imaging of the Neonatal Chest. 2nd Revise. Springer, 2008. 362 p.
Mularoni A. et al. The role of coagulase-negative staphylococci in early onset sepsis in a large European cohort of very low birth weight infants // Pediatr. Infect. Dis. J. 2014. Vol. 33, № 5. P. 121-125.
Ofman G., Vasco N., Cantey J.B. Risk of Early-Onset Sepsis following Preterm, Prolonged Rupture of Membranes with or without Chorioamnionitis // Am. J. Perinatol. 2016. Vol. 33, № 4. P. 339-342.
R0nnestad A. et al. Septicemia in the first week of life in a Norwegian national cohort of extremely premature infants // Pediatrics. 2005. Vol. 115, № 3.
Soraisham A.S. et al. A multicenter study on the clinical outcome of chorioamnionitis in preterm infants // Am. J. Obstet. Gynecol. 2009. Vol. 200, № 4. P. 372.e1-372.e6.
Randis T.M., Polin R.A. Early-onset group B Streptococcal sepsis: New recommendations
from the Centres for Disease Control and Prevention // Arch. Dis. Child. Fetal Neonatal Ed. 2012. Vol. 97, № 4. P. 291-295.
Shane A.L., Sanchez P.J., Stoll B.J. Neonatal sepsis // Lancet. 2017. Vol. 390, № 10104. P.1770-1780.
Dempsey E. et al. Outcome of neonates less than 30 weeks gestation with histologic chorioamnionitis // Am. J. Perinatol. 2005. Vol. 22, № 3. P. 155-159.
NG195 N. guidlines. Neonatal infection: antibiotics for prevention and treatment // Neonatal infection: antibiotics for prevention and treatment. 2021. № April.
Dior U.P. et al. Very High Intrapartum Fever in Term Pregnancies and Adverse Obstetric and Neonatal Outcomes // Neonatology. 2015. Vol. 109, № 1. P. 62-68.
Gartia-Munoz Rodrigo F., Galan Henriquez G.M., Ospina C.G. Morbidity and mortality among very-low-birth-weight infants born to mothers with clinical chorioamnionitis // Pediatr. Neonatol. 2014. Vol. 55, № 5. P. 381-386.
Rodrigo F.G.M. et al. Outcomes of very-low-birth-weight infants exposed to maternal clinical chorioamnionitis: A multicentre study // Neonatology. 2014. Vol. 106, № 3. P. 229-234.
Klinger G. et al. Epidemiology and risk factors for early onset sepsis among very-low- birthweight infants // Am. J. Obstet. Gynecol. Mosby, Inc., 2009. Vol. 201, № 1. P. 38.e1- 38.e6.
Singh M., Deorari A.K. Pneumonias in newborn babies // Indian J Pediatr. 1995. Vol. 62, № 3. P. 293-306.
Mardh PA, Johansson PJ S.N. Intrauterine Lung Infection with Chlamydia Trachomatis in a Premature Infant // Acta P^diatrica. 1984. Vol. 73, № 4. P. 569-572.
Боконбаева С. Д., Нуржанова С. Т. К.А.А. Сравнительный анализ клинического течения врожденных и неонатальных пневмоний // Здоровье матери и ребенка. 2015 Vol. 1. P. 6-10.
Hedstrom A.B. et al. Performance of the Silverman Andersen Respiratory Severity Score in predicting PCO2 and respiratory support in newborns: A prospective cohort study // J. Perinatol. Springer US, 2018. Vol. 38, № 5. P. 505-511.
Setty S.G., Batra M., Hedstrom A.B. The Silverman Andersen respiratory severity score can be simplified and still predicts increased neonatal respiratory support // Acta Paediatr. Int. J. Paediatr. 2020. Vol. 109, № 6. P. 1273-1275.
Sarkar S. et al. A study of the role of multiple site blood cultures in the evaluation of neonatal sepsis // J. Perinatol. 2006. Vol. 26, № 1. P. 18-22.
Polin R.A. et al. Management of Neonates with Suspected or Proven Early-Onset Bacterial Sepsis // Pediatrics. 2012. Vol. 129, № 5. P. 1006-1015.
Qelik H.T. et al. Efficacy of new leukocyte parameters versus serum C-reactive protein, procalcitonin, and interleukin-6 in the diagnosis of neonatal sepsis // Pediatr. Int. 2016. Vol. 58, № 2. P. 119-125.
Hornik CP, Benjamin DK, Becker KC, Benjamin DK Jr, Li J, Clark RH et al. Use of the complete blood cell count in early-onset neonatal sepsis. // Pediatr Infect Dis J. 2012. Vol. 31, № 8. P. 799-802.
Murphy K., Weiner J. Use of leukocyte counts in evaluation of early-onset neonatal sepsis // Pediatr. Infect. Dis. J. 2012. Vol. 31, № 1. P. 16-19.
Newman T.B. et al. Combining immature and total neutrophil counts to predict early onset sepsis in term and late preterm newborns: Use of the I/T2 // Pediatr. Infect. Dis. J. 2014. Vol. 33, № 8. P. 798-802.
Makkar M. et al. Performance evaluation of hematologic scoring system in early diagnosis of neonatal sepsis // J. Clin. Neonatol. 2013. Vol. 2, № 1. P. 25.
Saboohi E. et al. Immature to total neutrophil ratio as an early indicator of early neonatal sepsis // Pakistan J. Med. Sci. 2019. Vol. 35, № 1. P. 241-246.
Berardi A. et al. Should we give antibiotics to neonates with mild non-progressive symptoms? A comparison of serial clinical observation and the neonatal sepsis risk calculator // Front. Pediatr. 2022. Vol. 10.
Hedegaard S.S., Wisborg K., Hvas A.M. Diagnostic utility of biomarkers for neonatal sepsis - a systematic review // Infect. Dis. (Auckl). 2015. Vol. 47, № 3. P. 117-124.
Eschborn S., Weitkamp J.H. Procalcitonin versus C-reactive protein: review of kinetics and performance for diagnosis of neonatal sepsis // J. Perinatol. Springer US, 2019. Vol. 39, № 7. P. 893-903.
Chaudhuri PK, Ghosh A, Sinha V, Singh BK, Singh M, Lugova H, Ahmad R, Sinha S, Haque M K.S. The Role of C-reactive Protein Estimation in Determining the Duration of Antibiotic Therapy in Neonatal Sepsis. // Cureus. 2022. Vol. 14, № 10. P. e30211.
Ahmed E., Rehman A., Asghar Ali M. Validation of serum C-reactive protein for the diagnosis and monitoring of antibiotic therapy in neonatal sepsis // Pakistan J. Med. Sci. 2017. Vol. 33, № 6. P. 1434-1437.
Yochpaz S. et al. C-reactive protein in early-onset neonatal sepsis-a cutoff point for CRP value as a predictor of early-onset neonatal sepsis in term and late preterm infants early after birth? // J. Matern. Neonatal Med. Taylor & Francis, 2020. Vol. 0, № 0. P. 1-6.
Benitz WE, Han MY, Madan A R.P. Serial serum C-reactive protein levels in the diagnosis of neonatal infection. // Pediatrics. 1998. Vol. 102, № 4. P. E41.
Hincu M.A. et al. Relevance of biomarkers currently in use or research for practical diagnosis approach of neonatal early-onset sepsis // Children. 2020. Vol. 7, № 12.
Delanghe J.R., Speeckaert M.M. Translational research and biomarkers in neonatal sepsis // Clin. Chim. Acta. Elsevier B.V., 2015. Vol. 451. P. 46-64.
Hofer N. et al. An update on the use of C-reactive protein in early-Onset neonatal sepsis: Current insights and new tasks // Neonatology. 2012. Vol. 102, № 1. P. 25-36.
Mjelle AB, Guthe HJT, Reigstad H, Bj0rke-Monsen AL M.T. Serum concentrations of C- reactive protein in healthy term-born Norwegian infants 48-72 hours after birth. // Acta Paediatr. 2019. Vol. 108, № 5. P. 849-854. van Maldeghem I, Nusman CM V.D. Soluble CD14 subtype (sCD14-ST) as biomarker in neonatal early-onset sepsis and late-onset sepsis: a systematic review and meta-analysis. // BMC Immunol. BMC Immunology, 2019. Vol. 20, № 1. P. 17.
Шарафутдинова Д. Р. , Балашова Е. Н., Сухова Ю. В., Кесслер Ю.А. [и др.]. Диагностическое значение пресепсина как маркера врожденного инфекционного процесса у новорожденных детей // Вопросы гематологии/онкологии и иммунопатологии в педиатрии. 2022. Vol. 21, № 1. P. 56-64.
Ruan L. et al. The combination of procalcitonin and C-reactive protein or presepsin alone improves the accuracy of diagnosis of neonatal sepsis: A meta-analysis and systematic review // Crit. Care. Critical Care, 2018. Vol. 22, № 1. P. 316.
Балашова Е.Н., Шарафутдинова Д.Р., Сухова Ю.В., Кесслер Ю.В., Титова К.Ю., Меньшикова А.А., Киртбая А.Р., Рындин А.Ю., Иванец Т.Ю., Ионов О.В. Д.Д.Н. Диагностическая точность пресепсина , прокальцитонина и С-реактивного белка у новорожденных с ранним неонатальным сепсисом: одноцентровое проспективное исследование // Неонатология: новости, мнения, обучение. 2023. Vol. 11, № 3. P. 1021.
Pammi M. et al. Molecular assays for the diagnosis of sepsis in neonates // Cochrane Database Syst. Rev. 2017. Vol. 2017, № 2.
Nissen M.D. Congenital and neonatal pneumonia // Paediatr. Respir. Rev. 2007. Vol. 8, № 3. P. 195-203.
Fitzgerald M.J. et al. Early metabolic effects of sepsis in the preterm infant: Lactic acidosis and increased glucose requirement // J. Pediatr. 1992. Vol. 121, № 6. P. 951-955.
Di Fiore J.M. et al. Cardiorespiratory events in preterm infants: Interventions and consequences // J. Perinatol. Nature Publishing Group, 2016. Vol. 36, № 4. P. 251-258.
Davis A.L. et al. American College of Critical Care Medicine clinical practice parameters for hemodynamic support of pediatric and neonatal septic shock // Critical Care Medicine. 2017. Vol. 45, № 6. 1061-1093 p.
Ломако С.В. Методы ранней диагностики нарушений капиллярного кровотока , позволяющие оптимизировать интенсивную терапию врожденной пневмонии Methods of early diagnosis of capillary blood fl ow disturbance , // Репродуктивное здоровье. Восточная Европа. 2018. Vol. 8, № 2. P. 219-227.
Anil N. Importance of measuring lactate levels in children with sepsis // Nurs. Child. Young People. 2017. Vol. 29, № 8. P. 26-29.
Nadeem M., Clarke A., Dempsey E.M. Day 1 serum lactate values in preterm infants less than 32 weeks gestation // Eur. J. Pediatr. 2010. Vol. 169, № 6. P. 667-670.
Goryachko A. et al. The Significance of Indicators of Acid-Base State and Biochemical Blood Analysis in Premature Newborns with Different Body Weight and Congenital Pneumonia in the Neonatal Period // Paediatr. East. Eur. 2022. Vol. 10, № 1. P. 96-109.
Зубков В. В., Байбарина Е. Н. , Рюмина И. И. Д.Д.Н. Диагностическая значимость признаков пневмонии у новорожденных детей // Акушерство и гинекология. 2012. Vol. 7. P. 68-73.
Володин Н. Н., Дегтярев Д. Н. , Котик И. Е. И.И.С. Клинико-рентгенологические особенности синдрома дыхательных расстройств и пневмоний у глубоко недоношенных детей // Вопросы гинекологии, акушерства и перинатологии. 2003. Vol. 2, № 5-6. P. 16-20.
Gao Y.Q. et al. Lung ultrasound completely replaced chest X-ray for diagnosing neonatal lung diseases: a 3-year clinical practice report from a neonatal intensive care unit in China // J. Matern. Neonatal Med. Taylor & Francis, 2022. Vol. 35, № 18. P. 3565-3572.
Xin H., Li J., Hu H.Y. Is Lung Ultrasound Useful for Diagnosing Pneumonia in Children?: A Meta-Analysis and Systematic Review // Ultrasound Q. 2018. Vol. 34, № 1. P. 3-10.
Corsini I. et al. Lung ultrasound for the differential diagnosis of respiratory distress in neonates // Neonatology. 2019. Vol. 115, № 1. P. 59-67.
Liu J. et al. Lung ultrasonography for the diagnosis of severe neonatal pneumonia // Chest. The American College of Chest Physicians, 2014. Vol. 146, № 2. P. 383-388.
Chen S.W. et al. Routine application of lung ultrasonography in the neonatal intensive care unit // Med. (United States). 2017. Vol. 96, № 2.
Pereda M.A. et al. Lung ultrasound for the diagnosis of pneumonia in children: A meta- analysis // Pediatrics. 2015. Vol. 135, № 4. P. 714-722.
Balk D.S. et al. Lung ultrasound compared to chest X-ray for diagnosis of pediatric pneumonia: A meta-analysis // Pediatr. Pulmonol. 2018. Vol. 53, № 8. P. 1130-1139.
Singh Y. et al. International evidence-based guidelines on Point of Care Ultrasound (
POCUS ) for critically ill neonates and children issued by the POCUS Working Group of the European Society of Paediatric and Neonatal Intensive Care ( ESPNIC ) // Crit Care. Critical Care, 2020. Vol. 24, № 1. P. 1-16.
Kurepa D. et al. Neonatal lung ultrasound exam guidelines // J. Perinatol. Nature
Publishing Group, 2018. Vol. 38, № 1. P. 11-22.
Горячко А. Н., Сукало А. В. И.Е.В. Прогностическая значимость показателей
эхокардиографии, ассоциированных с развитием острой сердечной недостаточности
у новорожденных с врожденной пневмонией на первой неделе жизни //
Репродуктивное здоровье. Восточная Европа. 2022. Vol. 12, № 2. P. 266-280.
Gill AB W.A. Echocardiographic assessment of cardiac function in shocked very low
birthweight infants [4] // Arch. Dis. Child. 1993. Vol. 61, № 1. P. 17-21.
Mutlu M. et al. Adrenal hemorrhage in newborns: A retrospective study // World J.
Pediatr. 2011. Vol. 7, № 4. P. 355-357.
Рагимова Н.Д. Особенности ультразвукового исследования органов гепато-
билиарной системы и селезенки у новорожденных с внутриутробной инфекцией //
Научный альманах. 2015. Vol. 6, № 8. P. 129-135.
Murase M., Ishida A. Echocardiographic assessment of early circulatory status in preterm infants with suspected intrauterine infection // Arch. Dis. Child. Fetal Neonatal Ed. 2006. Vol. 91, № 2. P. 105-110.
Bandyopadhyay T. et al. Correlation of functional echocardiography and clinical parameters in term neonates with shock // J. Neonatal. Perinatal. Med. 2020. Vol. 13, № 2. P.167-173.
Saini S.S., Kumar P., Kumar R.M. Hemodynamic changes in preterm neonates with septic shock: A prospective observational study // Pediatr. Crit. Care Med. 2014. Vol. 15, № 5. P. 443-450.
Tomerak R.H. et al. Echocardiogram done early in neonatal sepsis: What does it add? // J. Investig. Med. 2012. Vol. 60, № 4. P. 680-684.
Basu S. et al. Cerebral blood flow velocity in early-onset neonatal sepsis and its clinical significance // Eur. J. Pediatr. 2012. Vol. 171, № 6. P. 901-909.
Giannattasio A. et al. Neuroimaging Profiles and Neurodevelopmental Outcome in Infants
With Congenital Cytomegalovirus Infection // Pediatr. Infect. Dis. J. 2018. Vol. 37, № 10. P.1028-1033.
£aksen H. et al. Risk and prognostic factors in perinatal hemorrhagic stroke // Ann. Indian Acad. Neurol. 2021. Vol. 24, № 2. P. 227-233.
Liakou P. et al. Subcapsular Liver Hematoma—A Life-Threatening Condition in Preterm Neonates—A Case Series and Systematic Review of the Literature // J. Clin. Med. 2022. Vol. 11, № 19. P. 5684.
Mon R.A. et al. Diagnostic accuracy of imaging studies in congenital lung malformations // Arch. Dis. Child. Fetal Neonatal Ed. 2019. Vol. 104, № 4. P. F372-F377.
Hermelijn S.M. et al. A clinical guideline for structured assessment of CT-imaging in congenital lung abnormalities // Paediatr. Respir. Rev. The Authors, 2021. Vol. 37. P. 8088.
Newman B. et al. Congenital surfactant protein B deficiency - Emphasis on imaging // Pediatr. Radiol. 2001. Vol. 31, № 5. P. 327-331.
Khalsi F. et al. Congenital surfactant protein B (SP-B) deficiency: a case report // Pan Afr. Med. J. 2023. Vol. 44. P. 158.
Badrawi N. et al. Arrhythmia in the neonatal intensive care unit // Pediatr. Cardiol. 2009. Vol. 30, № 3. P. 325-330.
Lucas J.F. et al. Fatal complete atrioventricular block as a complication of bacterial sepsis in a premature newborn // Pediatr. Cardiol. 2005. Vol. 26, № 5. P. 677-679.
McMullen S.L. Arrhythmias and Cardiac Bedside Monitoring in the Neonatal Intensive Care Unit // Crit. Care Nurs. Clin. North Am. Elsevier Inc, 2016. Vol. 28, № 3. P. 373386.
Schwartz P.J. et al. Guidelines for the interpretation of the neonatal electrocardiogram: A Task Force of the European Society of Cardiology // Eur. Heart J. 2002. Vol. 23, № 17. P. 1329-1344.
Griffin M.P., Moorman J.R. Toward the early diagnosis of neonatal sepsis and sepsis-like illness using novel heart rate analysis // Pediatrics. 2001. Vol. 107, № 1. P. 97-104.
Yapiciollu H., Ozlu F., Sertdemir Y. Are vital signs indicative for bacteremia in newborns? // J. Matern. Neonatal Med. 2015. Vol. 28, № 18. P. 2244-2249.
De Mul A, Parvex P, Heneau A, Biran V, Poncet A, Baud O, Saint-Faust M W.-B.A. Urine Output Monitoring for the Diagnosis of Early-Onset Acute Kidney Injury in Very Preterm Infants. // Clin J Am Soc Nephrol. 2022. Vol. 17, № 7. P. 949-956.
de Boode W.P. Clinical monitoring of systemic hemodynamics in critically ill newborns // Early Hum. Dev. Elsevier Ltd, 2010. Vol. 86, № 3. P. 137-141.
Hofer N., Muller W., Resch B. Neonates presenting with temperature symptoms: Role in the diagnosis of early onset sepsis // Pediatr. Int. 2012. Vol. 54, № 4. P. 486-490.
Graves GR R.P. Tachycardia as a sign of early onset neonatal sepsis. // Pediatr Infect Dis. 1984. Vol. 3, № 5. P. 404-406.
Korvenranta H., Kero P., Valimaki I. Cardiovascular monitoring in infants with respiratory distress syndromel // Neonatology. 1983. Vol. 44, № 3. P. 138-145.
Dempsey E.M. et al. Hypotension in Preterm Infants (HIP) randomised trial // Arch. Dis. Child. Fetal Neonatal Ed. 2021. Vol. 106, № 4. P. F398-F403.
Pellicer A. et al. Early systemic hypotension and vasopressor support in low birth weight infants: Impact on neurodevelopment // Pediatrics. 2009. Vol. 123, № 5. P. 1369-1376.
Pereira S.S. et al. Blood pressure intervention levels in preterm infants: Pilot randomised trial // Arch. Dis. Child. Fetal Neonatal Ed. 2019. Vol. 104, № 3. P. F298-F305.
Greenough A. et al. Synchronized mechanical ventilation for respiratory support in newborn infants // Cochrane Database Syst. Rev. 2016. Vol. 2016, № 9.
McCarthy L.K., O’Donnell C.P.F. Comparison of rectal and axillary temperature measurements in preterm newborns // Arch. Dis. Child. Fetal Neonatal Ed. 2021. Vol. 106, № 5. P. F509-F513.
Gowa M.A. et al. A quasi experimental study to compare thermo-regulator blanket with conventional method (incubator) for temperature regulations in preterm, low birth weight neonates landing at emergency department of a tertiary care paediatric facility // J. Pak. Med. Assoc. 2022. Vol. 72, № 6. P. 1044-1047.
Korang SK, Safi S, Nava C, Gordon A, Gupta M, Greisen G, Lausten-Thomsen U J.J. Antibiotic regimens for early-onset neonatal sepsis. // Cochrane Database Syst. Rev. 2021. Vol. 2021, № 5. P. CD013837.
Moffett S.M., Kitts H.L., Henderson S.J. Medication therapy for early-onset neonatal sepsis // AACN Adv. Crit. Care. 2016. Vol. 27, № 3. P. 253-258.
Stoll B.J. et al. Early-Onset Neonatal Sepsis 2015 to 2017, the Rise of Escherichia coli, and the Need for Novel Prevention Strategies // JAMA Pediatr. 2020. Vol. 174, № 7. P. 112.
Puopolo KM, Benitz WE Z.T. COMMITTEE ON FETUS AND NEWBORN; COMMITTEE ON INFECTIOUS DISEASES. Management of Neonates Born at >35 0/7 Weeks’ Gestation With Suspected or Proven Early-Onset Bacterial Sepsis. // Pediatrics. 2018. Vol. 142, № 6. P. e20182894.
Puopolo KM, Benitz WE Z.T COMMITTEE ON FETUS AND NEWBORN; COMMITTEE ON INFECTIOUS DISEASES. Management of Neonates Born at <34 6/7
Weeks’ Gestation With Suspected or Proven Early-Onset Bacterial Sepsis. // Pediatrics. 2018. Vol. 142, № 6. P. e20182896.
Шухов В.С., Байбарина Е.Н., Рюмина И.И. З.В.. Антимикробная терапия у детей. Практическое руководство. Москва: ГЭОТАР-Медиа, 2016. 320 p.
Craig A.M. et al. Listeriosis in Pregnancy: A Review // Obstet. Gynecol. Surv. 2019. Vol. 74, № 6. P. 362-368.
Flannery DD, Puopolo KM. Neonatal Early-Onset Sepsis. // Neoreviews. 2022. Vol. 23, № 11. P. 756-770.
Boscarino G. et al. An Overview of Antibiotic Therapy for Early- and Late-Onset Neonatal Sepsis: Current Strategies and Future Prospects // Antibiotics. 2024. Vol. 13, № 3. P. 1-12.
Sikias P. et al. Early-onset neonatal sepsis in the Paris area: a population-based surveillance study from 2019 to 2021 // Arch. Dis. Child. Fetal Neonatal Ed. 2023. Vol. 108, № 2. P. 114-120.
Fang P. et al. Prevalence of multidrug-resistant pathogens causing neonatal early and late onset sepsis, a retrospective study from the tertiary referral children’s hospital // Infect. Drug Resist. 2023. Vol. 16, № June. P. 4213-4225.
Mendoza-Palomar N. et al. Escherichia coli early-onset sepsis: trends over two decades // Eur. J. Pediatr. European Journal of Pediatrics, 2017. Vol. 176, № 9. P. 1227-1234.
Ji H. et al. Pathogen Distribution and Antimicrobial Resistance of Early Onset Sepsis in Very Premature Infants: A Real-World Study // Infect. Dis. Ther. Springer Healthcare, 2022. Vol. 11, № 5. P. 1935-1947.
Weissman S.J. et al. Emergence of antibiotic resistance-associated clones among Escherichia coli recovered from newborns with early-onset sepsis and meningitis in the United States, 2008-2009 // J. Pediatric Infect. Dis. Soc. 2016. Vol. 5, № 3. P. 269-276.
Yu Y., Huang Q., Liu A. Analysis of pathogens, drug resistance, sensitive antibiotic treatment and risk factors of early-onset sepsis in very low birth weight infants. // Am. J. Transl. Res. 2021. Vol. 13, № 11. P. 12939-12948.
Srinivasjois RM, Kohan R, Keil AD S.N. Congenital Mycoplasma pneumoniae pneumonia in a neonate. // Pediatr. Infect. Dis. J. 2008. Vol. 27, № 5. P. 474-475.
Kimberlin D.W. et al. Effect of ganciclovir therapy on hearing in symptomatic congenital cytomegalovirus disease involving the central nervous system: a randomized, controlled trial. // J. Pediatr. 2003. Vol. 143, № 1. P. 16-25.
Kimberlin D.W. et al. Valganciclovir for symptomatic congenital cytomegalovirus disease // N. Engl. J. Med. 2015. Vol. 372, № 10. P. 933-943.
De Rose D.U. et al. Severe herpes virus 6 interstitial pneumonia in an infant with three variants in genes predisposing to lung disease // J. Med. Virol. 2021. Vol. 93, № 8. P. 5182-5187.
Langlet C. et al. An uncommon case of disseminated neonatal herpes simplex infection presenting with pneumonia and pleural effusions // Eur. J. Pediatr. 2003. Vol. 162, № 7-8. P. 532-533.
Soll R., Ozek E. Prophylactic protein free synthetic surfactant for preventing morbidity and mortality in preterm infants // Cochrane Database Syst. Rev. 2010. Vol. 1. P. CD001079.
Verlato G. et al. Kinetics of surfactant in respiratory diseases of the newborn infant // J. Matern. Neonatal Med. 2004. Vol. 16, № SUPPL. 2. P. 21-24.
Cogo P.E. et al. Dosing of porcine surfactant: Effect on kinetics and gas exchange in respiratory distress syndrome // Pediatrics. 2009. Vol. 124, № 5.
Singh N. et al. Comparison of animal-derived surfactants for the prevention and treatment of respiratory distress syndrome in preterm infants // Cochrane Database Syst. Rev. 2015. Vol. 2015, № 12.
Rojas-Reyes MX, Morley CJ S.R. Prophylactic versus selective use of surfactant in preventing morbidity and mortality in preterm infants // Neonatology. 2012. Vol. 102, № 3. P. 169-171.
Gopel W. et al. Avoidance of mechanical ventilation by surfactant treatment of spontaneously breathing preterm infants (AMV): An open-label, randomised, controlled trial // Lancet. Elsevier Ltd, 2011. Vol. 378, № 9803. P. 1627-1634.
Sweet D.G. et al. European Consensus Guidelines on the Management of Respiratory Distress Syndrome - 2019 Update // Neonatology. 2019. Vol. 115, № 4. P. 432-450.
Deshpande S. Surfactant Therapy for Early Onset Pneumonia in Late Preterm and Term Neonates Needing Mechanical Ventilation // J. Clin. Diagnostic Res. 2017. Vol. 11, № 8. P. SC09-SC12.
Polin R.A. et al. Surfactant replacement therapy for preterm and term neonates with respiratory distress // Pediatrics. 2014. Vol. 133, № 1. P. 156-163.
Vento G, Tana M, Tirone C, Aurilia C, Lio A, Perelli S, Ricci C R.C. Effectiveness of treatment with surfactant in premature infants with respiratory failure and pulmonary infection. // Acta Biomed. 2012. Vol. 83, № suppl 1. P. 33-36.
Herting E. et al. Surfactant treatment of neonates with respiratory failure and group B streptococcal infection // Pediatrics. 2000. Vol. 106, № 5 I. P. 957-964.
Rong Z. et al. Bovine surfactant in the treatment of pneumonia-induced-neonatal acute respiratory distress syndrome (NARDS) in neonates beyond 34 weeks of gestation: a multicentre, randomized, assessor-blinded, placebo-controlled trial // Eur. J. Pediatr. European Journal of Pediatrics, 2021. Vol. 180, № 4. P. 1107-1115.
Bancalari E., Claure N. The evidence for non-invasive ventilation in the preterm infant. // Arch. Dis. Child. Fetal Neonatal Ed. 2013. Vol. 98, № 2. P. 98-103.
Wilkinson D, Andersen C, O’Donnell CP, De Paoli AG M.B. High flow nasal cannula for respiratory support in preterm infants. // Cochrane Database Syst. Rev. 2016. Vol. 2, № 2. P. CD006405.
Hong H. et al. High-flow nasal cannula versus nasal continuous positive airway pressure for respiratory support in preterm infants: a meta-analysis of randomized controlled trials // J. Matern. Neonatal Med. 2021. Vol. 34, № 2. P. 259-266.
Ramaswamy V.V. et al. Efficacy of noninvasive respiratory support modes for primary respiratory support in preterm neonates with respiratory distress syndrome: Systematic review and network meta-analysis // Pediatr. Pulmonol. 2020. Vol. 55, № 11. P. 29402963.
Murki S. et al. High-Flow Nasal Cannula versus Nasal Continuous Positive Airway Pressure for Primary Respiratory Support in Preterm Infants with Respiratory Distress: A Randomized Controlled Trial // Neonatology. 2018. Vol. 113, № 3. P. 235-241.
Dargaville P.A. et al. Continuous positive airway pressure failure in preterm infants: Incidence, predictors and consequences // Neonatology. 2013. Vol. 104, № 1. P. 8-14.
Moya F.R. et al. Prospective observational study of early respiratory management in preterm neonates less than 35 weeks of gestation // BMC Pediatr. BMC Pediatrics, 2019. Vol. 19, № 1. P. 1-10.
Hsu J.F. et al. Therapeutic effects and outcomes of rescue high-frequency oscillatory ventilation for premature infants with severe refractory respiratory failure // Sci. Rep. Nature Publishing Group UK, 2021. Vol. 11, № 1. P. 1-10.
Erickson S.J. et al. Hypocarbia in the ventilated preterm infant and its effect on intraventricular haemorrhage and bronchopulmonary dysplasia // J. Paediatr. Child Health. 2002. Vol. 38, № 6. P. 560-562.
Cools F. et al. Elective high frequency oscillatory ventilation versus conventional ventilation for acute pulmonary dysfunction in preterm infants // Cochrane Database Syst. Rev. 2015. № 3.
Ambalavanan N. et al. PaCO2 in surfactant, positive pressure, and oxygenation randomised trial (SUPPORT) // Arch. Dis. Child. Fetal Neonatal Ed. 2015. Vol. 100, № 2. P. F145-F149.
Bellu R. et al. Opioids for newborn infants receiving mechanical ventilation // Cochrane Database Syst. Rev. 2021. № 3.
Barrington K.J. Management during the first 72h of age of the periviable infant: An evidence-based review // Semin. Perinatol. 2014. Vol. 38, № 1. P. 17-24.
Mihatsch W. et al. ESPGHAN/ESPEN/ESPR/CSPEN guidelines on pediatric parenteral nutrition: Calcium, phosphorus and magnesium // Clin. Nutr. 2018. Vol. 37, № 6. P. 2360-2365.
van Goudoever J.B. et al. ESPGHAN/ESPEN/ESPR/CSPEN guidelines on pediatric parenteral nutrition: Amino acids // Clin. Nutr. 2018. Vol. 37, № 6. P. 2315-2323.
Joosten K. et al. ESPGHAN/ESPEN/ESPR/CSPEN guidelines on pediatric parenteral nutrition: Energy // Clin. Nutr. 2018. Vol. 37, № 6. P. 2309-2314.
Mesotten D. et al. ESPGHAN/ESPEN/ESPR/CSPEN guidelines on pediatric parenteral nutrition: Carbohydrates // Clin. Nutr. 2018. Vol. 37, № 6. P. 2337-2343.
Jochum F. et al. ESPGHAN/ESPEN/ESPR/CSPEN guidelines on pediatric parenteral nutrition: Fluid and electrolytes // Clin. Nutr. 2018. Vol. 37, № 6. P. 2344-2353.
Lapillonne A. et al. ESPGHAN/ESPEN/ESPR/CSPEN guidelines on pediatric parenteral nutrition: Lipids // Clin. Nutr. 2018. Vol. 37, № 6. P. 2324-2336.
Клинические рекомендации. Нормальная беременность. 2020.
Клинические рекомендации. Инфекция мочевых путей при беременности. 2022.
Hitchins M. et al. Treatment of persistent methicillin-susceptible Staphylococcus aureus bacteremia and presumed osteomyelitis with oxacillin and ertapenem in a premature neonate // Pharmacotherapy. 2023. Vol. 43, № 1. P. 96-99.
Akers S.M. et al. Clearance of persistent staphylococcus aureus bacteremia in a preterm neonate with the use of combination cefazolin and ertapenem // J. Pediatr. Pharmacol. Ther. 2020. Vol. 25, № 6. P. 547-551.
Shabaan A.E. et al. Conventional Versus Prolonged Infusion of Meropenem in Neonates With Gram-negative Late-onset Sepsis: A Randomized Controlled Trial // Pediatr. Infect. Dis. J. 2017. Vol. 36, № 4. P. 358-363.
Lee S.Y.R., Chow C.B. Safe use of imipenem/cilastatin in a neonatal intensive care unit // Pediatr. Int. 1998. Vol. 40, № 2. P. 186-187.
Shafiq N, Malhotra S, Gautam V et al. Evaluation of evidence for pharmacokinetics- pharmacodynamics-based dose optimization of antimicrobials for treating Gram-negative infections in neonates. // Indian J Med Res. 2017. Vol. 145, № 3. P. 299-316.
Reed M.D. et al. Clinical pharmacology of imipenem and cilastatin in premature infants during the first week of life // Antimicrob. Agents Chemother. 1990. Vol. 34, № 6. P. 1172-1177.
Stuart RL, Turnidge J G.M. Safety of imipenem in neonates. // Pediatr Infect Dis J. 1995. Vol. 14, № 9. P. 803-805.
Dao K. et al. Dosing strategies of imipenem in neonates based on pharmacometric modelling and simulation // J. Antimicrob. Chemother. 2022. Vol. 77, № 2. P. 457-465.
Freij BJ, McCracken GH Jr, Olsen KD T.N. Pharmacokinetics of imipenem-cilastatin in neonates. // Antimicrob Agents Chemother. 1985. Vol. 27, № 4. P. 431-435.
Begue PC, Baron S, Challier P, Fontaine JL L.G. Pharmacokinetic and clinical evaluation of imipenem/cilastatin in children and neonates // Scand J Infect Dis Suppl. 1987. Vol. 52. P. 40-45.
Yoshizawa K, Ikawa K, Ikeda K, Ohge H M.N. Population pharmacokinetic- pharmacodynamic target attainment analysis of imipenem plasma and urine data in neonates and children. // Pediatr Infect Dis J. 2013. Vol. 32, № 11. P. 1208-1216.
James J., Mulhall A., de Louvois J. Ceftriaxone-clinical experience in the treatment of neonates // J. Infect. 1985. Vol. 11, № 1. P. 25-33.
Chen D., Ji Y. New insights into Citrobacter freundii sepsis in neonates // Pediatr. Int. 2019. Vol. 61, № 4. P. 375-380.
Van Reempts PJ, Van Overmeire B, Mahieu LM V.K. Clinical experience with ceftriaxone treatment in the neonate. // Chemotherapy. 1995. Vol. 41, № 4. P. 316-322.
Silverman W.A. A.D.H. A controlled clinical trial of effects of water mist on obstructive respiratory signs, death rate and necropsy findings among premature infants. // Pediatrics. 1956. Vol. 17, № 1. P. 1-10.
Приложение А1. Состав рабочей группы по разработке и пересмотру клинических рекомендаций
Андреева Ирина Вениаминовна — к.м.н., доцент, старший научный сотрудник НИИ антимикробной химиотерапии ФГБОУ ВО «Смоленский государственный медицинский университет» Минздрава России, г. Смоленск, член Межрегиональной ассоциации по клинической микробиологии и антимикробной химиотерапии (МАКМАХ)
Байбарина Елена Николаевна - д.м.н., профессор, заслуженный деятель науки РФ, главный научный сотрудник отделения патологии новорожденных и недоношенных детей ФГБУ «НМИЦ АГП имени В.И. Кулакова» Минздрава России, член Совета Российского общества неонатологов
Балашова Екатерина Николаевна - к.м.н., ведущий научный сотрудник ОРИТ имени проф. А.Г. Антонова Института неонатологии и педиатрии ФГБУ «НМИЦ АГП имени В.И. Кулакова» Минздрава России, доцент кафедры неонатологии Института профессионального образования ФГБУ «НМИЦ АГП имени В.И. Кулакова» Минздрава России, член Совета Российского общества неонатологов
Беляева Ирина Анатольевна - д.м.н., руководитель отдела преконцепционной, антенатальной и неонатальной медицины НИИ педиатрии и охраны здоровья детей НКЦ №2 ФГБНУ «РНЦХ им. Б.В. Петровского», профессор кафедры факультетской педиатрии педиатрического факультета ФГАОУ ВО «РНИМУ им. Н.И. Пирогова» Минздрава России, член Союза педиатров России, Почетный профессор Российской ассоциации специалистов перинатальной медицины
Бойцова Евгения Викторовна - д.м.н., профессор, ведущий научный сотрудник отдела терапевтической пульмонологии НИИ пульмонологии Первого Санкт- Петербургского государственного медицинского университета им. акад. И.П. Павлова
Володин Николай Николаевич - д.м.н., профессор, академик РАН, президент Ассоциации специалистов в области перинатальной медицины, оказания помощи беременной женщине и плоду, новорожденному и ребенку в возрасте до 3-х лет (АСПМ+)
Дегтярев Дмитрий Николаевич - д.м.н., профессор, заместитель директора по научной работе ФГБУ «НМИЦ АГП им. В.И. Кулакова» Минздрава России, заведующий кафедрой неонатологии педиатрического факультета ФГАОУ ВО Первый МГМУ им. И.М. Сеченова МЗ РФ (Сеченовский Университет), член Совета Российского общества неонатологов
Зубков Виктор Васильевич - д.м.н., директор института неонатологии и педиатрии ФГБУ «НМИЦ АГП имени В.И. Кулакова» Минздрава России, заведующий кафедрой неонатологии ФГБУ «НМИЦ АГП имени В.И. Кулакова» Минздрава России, профессор кафедры неонатологии Клинического института детского здоровья им. Н.Ф. Филатова ФГАОУ ВО «Первый МГМУ им. И.М. Сеченова» МЗ РФ (Сеченовский Университет), член Совета Российского общества неонатологов
Ионов Олег Вадимович - д.м.н., заведующий ОРИТ имени проф. А.Г. Антонова института неонатологии и педиатрии ФГБУ «НМИЦ АГП имени В.И. Кулакова» Минздрава России, профессор кафедры неонатологии Клинического института детского здоровья им. Н.Ф. Филатова ФГАОУ ВО «Первый МГМУ им. И.М. Сеченова» МЗ РФ (Сеченовский Университет), Председатель Российского общества неонатологов
Карпова Анна Львовна - к.м.н., заведующая неонатологическим стационаром ГБУЗ "Городская клиническая больница №67 им. Л.А. Ворохобова ДЗ г. Москвы", доцент кафедры неонатологии имени профессора В.В. Гаврюшова ФГБОУ ДПО «РМАНПО» Минздрава России, ассистент кафедры поликлинической терапии, клинической лабораторной диагностики и медицинской биохимии ИПДО ФГБОУ ВО "Ярославский государственный медицинский университет" МЗ РФ, член Совета Российского общества неонатологов.
Киртбая Анна Ревазиевна - д.м.н., заведующая по клинической работе ОРИТ имени проф. А.Г. Антонова института неонатологии и педиатрии ФГБУ «НМИЦ АГП имени В.И. Кулакова» Минздрава России, профессор кафедры неонатологии Клинического института детского здоровья им. Н.Ф. Филатова ФГАОУ ВО «Первый МГМУ им. И.М. Сеченова» МЗ РФ (Сеченовский Университет), член Российского общества неонатологов
Козлов Роман Сергеевич - д.м.н., профессор, член-корреспондент РАН, ректор ФГБОУ ВО «СГМУ» Минздрава России, заслуженный деятель науки РФ, главный внештатный специалист по клинической микробиологии и антимикробной резистентности Минздрава России, Президент Межрегиональной ассоциации по клинической микробиологии и антимикробной химиотерапии (МАКМАХ)
Крючко Дарья Сергеевна - д.м.н., профессор кафедры неонатология института неонатологии и педиатрии ФГБУ «НМИЦ АГП имени В.И. Кулакова» Минздрава России, член Совета Российского общества неонатологов
Ленюшкина Анна Алексеевна - к.м.н., заведующая по клинической работе ОРИТ №2 института неонатологии и педиатрии ФГБУ «НМИЦ АГП имени В.И. Кулакова» Минздрава России, член Совета Российского общества неонатологов.
Малютина Людмила Вячеславовна - к.м.н., доцент кафедры неонатологии Московского областного научно-исследовательского клинического института им. М. Ф. Владимирского, член Совета Российского общества неонатологов.
Мебелова Инесса Исааковна - заместитель главного врача по неонатологии ГБУЗ РК «Республиканский перинатальный центр им. К. А. Гуткина», главный внештатный специалист по неонатологии МЗ Республики Карелия, член Совета Российского общества неонатологов
Мостовой Алексей Валерьевич - к.м.н., руководитель службы реанимации и интенсивной терапии ГБУЗ «Городская клиническая больница №67 имени Л.А. Ворохобова ДЗ г. Москвы», доцент кафедры неонатологии имени профессора В.В. Гаврюшова ФГБОУ ДПО «РМАНПО» Минздрава России, ассистент кафедры поликлинической терапии, клинической лабораторной диагностики и медицинской биохимии ИПДО ФГБОУ ВО «Ярославский государственный медицинский университет» Минздрава России, главный внештатный специалист-неонатолог МЗ РФ в Северо-Кавказском федеральном округе, член Совета Российского общества неонатологов
Намазова-Баранова Лейла Сеймуровна - д.м.н., профессор, академик РАН, президент Союза педиатров России; паст-президент EPA/UNEPSA; руководитель НИИ педиатрии и охраны здоровья детей НКЦ №2 ФГБНУ «РНЦХ им. Б. В. Петровского», заведующая кафедрой факультетской педиатрии педиатрического факультета ФГ АОУ ВО «РНИМУ им. Н.И. Пирогова» Минздрава России, главный внештатный детский специалист по профилактической медицине Минздрава России
Никитина Ирина Владимировна - д.м.н., ведущий научный сотрудник ОРИТ №2 института неонатологии и педиатрии ФГБУ «НМИЦ АГП имени В.И. Кулакова» Минздрава России, заведующая учебной частью, профессор кафедры неонатологии Института профессионального образования ФГБУ «НМИЦ АГП имени В.И. Кулакова», член Российского общества неонатологов
Овсянников Дмитрий Юрьевич - д.м.н., профессор, заведующий кафедрой педиатрии Российского университета дружбы народов им. Патриса Лумумбы
Припутневич Татьяна Валерьевна - д.м.н., профессор, член-корреспондент РАН, директор института микробиологии, антимикробной терапии и эпидемиологии ФГБУ «НМИЦ АГП им. В.И. Кулакова» Минздрава России, г. Москва, профессор кафедры микробиологии и вирусологии педиатрического факультета ФГОАО ВО «РНИМУ им. Н.И. Пирогова», главный внештатный специалист по медицинской микробиологии Минздрава России.
Романенко Владислав Александрович - д.м.н., профессор, заслуженный врач РФ, дипломант Европейской научно-промышленной палаты, председатель Челябинского регионального отделения Российского общества неонатологов.
Рындин Андрей Юрьевич - к.м.н., старший научный сотрудник ОРИТ имени проф. А.Г. Антонова института неонатологии и педиатрии ФГБУ «НМИЦ АГП имени В.И. Кулакова» Минздрава России, доцент кафедры неонатологии Клинического института детского здоровья им. Н.Ф. Филатова ФГАОУ ВО «Первый МГМУ им. И.М. Сеченова» МЗ РФ (Сеченовский Университет), член Российского общества неонатологов.
Рюмина Ирина Ивановна - д.м.н., профессор, заведующая отделением патологии новорожденных и недоношенных детей института неонатологии и педиатрии ФГБУ «НМИЦ АГП имени В.И. Кулакова» Минздрава России, член Российского общества неонатологов.
Селимзянова Лилия Робертовна - к.м.н., ведущий научный сотрудник НИИ педиатрии и охраны здоровья детей НКЦ №2 ФГБНУ «РНЦХ им. Б. В. Петровского», доцент кафедры педиатрии и детской ревматологии ФГАОУ «Первый МГМУ им. И.М. Сеченова» Минздрава России (Сеченовский Университет), доцент кафедры факультетской педиатрии педиатрического факультета ФГАОУ ВО «РНИМУ им. Н.И. Пирогова» Минздрава России, член Союза педиатров России
Турти Татьяна Владимировна - д.м.н., главный научный сотрудник отдела преконцепционной, антенатальной и неонатальной медицины НИИ педиатрии и охраны здоровья детей НКЦ №2 ФГБНУ «РНЦХ им. Б.В. Петровского», профессор кафедры факультетской педиатрии педиатрического факультета ФГАОУ ВО «РНИМУ им. Н.И. Пирогова» Минздрава России, член Союза педиатров России
Филиппова Елена Александровна - к.м.н., заведующая отделом ультразвуковой диагностики в неонатологии и педиатрии института неонатологии и педиатрии ФГБУ «НМИЦ АГП имени В.И. Кулакова» Минздрава России, член Российского общества неонатологов.
Конфликт интересов отсутствует
Приложение А2. Методология разработки клинических рекомендаций
Методы, использованные для сбора/селекции доказательств: поиск в электронных базах данных.
Описание методов, использованных для сбора/селекции доказательств: доказательной базой для рекомендаций являлись публикации, вошедшие в Кохрановскую библиотеку, базы данных PubMed, EMBASE и MEDLINE, Scopus, Web of Science, e- library, clinicaltrial.gov, электронные библиотеки, клинические рекомендации, размещенные на ресурсах The National Institute for Health and Care Excellence, The European Association of Perinatal Medicine, The European Society for Pediatric Research, The European Foundation for the Care of Newborn Infants, The European Society for Neonatology. Глубина поиска составляла 68 лет.
Методы, использованные для оценки качества и силы доказательств:
консенсус экспертов;
оценка значимости в соответствии с рейтинговой схемой.
Шкалы оценки уровней достоверности доказательств (УДД) (Таблица 1,2) для методов диагностики, профилактики, лечения и реабилитации (диагностических, профилактических, лечебных, реабилитационных вмешательств) с расшифровкой и шкала оценки уровней убедительности рекомендаций (УУР) (Таблица 3) для методов профилактики, диагностики, лечения и реабилитации (профилактических, диагностических, лечебных, реабилитационных вмешательств).
Методы, использованные для анализа доказательств:
обзоры опубликованных метаанализов;
систематические обзоры с таблицами доказательств.
Описание методов, использованных для анализа доказательств.
При отборе публикаций, как потенциальных источников доказательств, использованная в каждом исследовании методология изучалась для того, чтобы убедиться в её валидности. Методологическое изучение базировалось на вопросах, которые сфокусированы на тех особенностях дизайна исследований, которые оказывают существенное влияние на валидность результатов и выводов.
Для минимизации потенциальных ошибок субъективного характера каждое исследование оценивалось независимо, по меньшей мере, двумя членами рабочей группы. Какие-либо различия в оценках обсуждались всей группой в полном составе. При невозможности достижения консенсуса привлекался независимый эксперт.
Экономический анализ:
Анализ стоимости не проводился, и публикации по фармакоэкономике не анализировались
Метод валидизации рекомендаций:
внешняя экспертная оценка;
внутренняя экспертная оценка.
Описание метода валидизации рекомендаций:
Настоящие рекомендации в предварительной версии были рецензированы независимыми экспертами, которых попросили прокомментировать, прежде всего, то, насколько интерпретация доказательств, лежащих в основе рекомендаций, доступна для понимания.
Получены комментарии со стороны врачей первичного звена и участковых педиатров в отношении доходчивости изложения рекомендаций и их оценки важности рекомендаций, как рабочего инструмента повседневной практики.
Предварительная версия была также направлена рецензенту, не имеющему медицинского образования, для получения комментариев, с точки зрения перспектив пациентов.
Комментарии, полученные от экспертов, тщательно систематизировались, и обсуждались председателем и членами рабочей группы. Каждый пункт обсуждался, и вносимые в результате этого изменения в рекомендации регистрировались. Если же изменения не вносились, то регистрировались причины отказа от внесения изменений.
Консультация и экспертная оценка:
Последние изменения в настоящих рекомендациях представлены для дискуссии в предварительной версии. Обновленная версия для широкого обсуждения была размещена на сайте Российского общества неонатологов (РОН) Ассоциации специалистов в области перинатальной медицины, оказания помощи беременной женщине и плоду, новорожденному и ребенку в возрасте до 3-х лет (АСПМ+) портале общественного обсуждения Минздрава России для того, чтобы все заинтересованные лица имели возможность принять участие в обсуждении и совершенствовании рекомендаций.
Проект рекомендаций рецензирован независимыми экспертами, которых попросили прокомментировать, прежде всего, доходчивость и точность интерпретации доказательной базы, лежащей в основе рекомендаций.
Для окончательной редакции и контроля качества рекомендации были повторно проанализированы членами рабочей группы, которые пришли к заключению, что все замечания и комментарии экспертов приняты во внимание, риск систематических ошибок при разработке рекомендаций сведен к минимуму.
Целевая аудитория данных клинических рекомендаций:
Врачи-педиатры,
Врачи-неонатологи;
Врачи-анестезиологи - реаниматологи;
Врачи-пульмонологи;
Врачи общей практики (семейные врачи);
Студенты медицинских ВУЗов;
Обучающиеся в ординатуре и интернатуре.


Порядок обновления клинических рекомендаций.
Механизм обновления клинических рекомендаций предусматривает их систематическую актуализацию - не реже чем один раз в три года, а также при появлении новых данных с позиции доказательной медицины по вопросам диагностики, лечения, профилактики и реабилитации конкретных заболеваний, наличии обоснованных дополнений/замечаний к ранее утверждённым КР, но не чаще 1 раза в 6 месяцев.
Приложение А3. Справочные материалы, включая соответствие показаний к применению и противопоказаний, способов применения и доз лекарственных препаратов, инструкции по применению лекарственного препарата
Приложение А3.1 Связанные документы
Данные клинические рекомендации разработаны с учетом следующих нормативноправовых документов и электронных ресурсов:
Федеральный закон «Об основах охраны здоровья граждан в Российской Федерации» от 21.11.2011 № 323 Ф3.
МЗ РФ, Приказ от 10 мая 2017 г. N 203н «Об утверждении критериев оценки качества медицинской помощи».
Международная классификация болезней, травм и состояний, влияющих на здоровье, 10-го пересмотра (МКБ-10) (Всемирная организация здравоохранения) версия 2019.
Приказ Минздрава России от 13.10.2017 N 804н (ред. от 24.09.2020, с изм. от 26.10.2022) "Об утверждении номенклатуры медицинских услуг" (Зарегистрировано в Минюсте России 07.11.2017 N 48808).
Порядок оказания медицинской помощи по профилю «Неонатология» (Приказ Министерства здравоохранения РФ от 15 ноября 2012 г. N 921н).
Распоряжение Правительства РФ от 12.10.2019 N 2406-р (ред. от 16.04.2024) «Об утверждении перечня жизненно необходимых и важнейших лекарственных препаратов, а также перечней лекарственных препаратов для медицинского применения и минимального ассортимента лекарственных препаратов, необходимых для оказания медицинской помощи».
Методическое письмо Минздрава России № 15-4/И/2-2570 от 04.03.2020
«Реанимация и стабилизация состояния новорожденных детей в родильном зале». Под ред. Байбариной Е.Н. М.: Министерство здравоохранения РФ; 2020.
Приложение А3.2 Антибактериальная терапия
Дозы, кратность и способы введения применяемых антибактериальных препаратов системного действия (код АТХ J01) у новорожденных представлены в соответствии с инструкциями к препаратам или данными литературы в случае препаратов off-label.




При назначении противомикробных препаратов системного действия (код АТХ J) следует руководствоваться инструкцией к препарату. Режим дозирования и способ введения препаратов могут отличаться в инструкциях различных производителей!
Приложение А3.3 Потребность новорожденного в жидкости, энергии, белках, жирах, углеводах, электролитах.




Приложение В. Информация для пациента
Врожденная пневмония у новорожденных - это заболевание, которое вызывают патогенные микроорганизмы. Заражение происходит еще внутриутробно. В некоторых случаях инфекция попадает в организм ребенка во время родов.
Наиболее частыми возбудителями врожденных пневмоний являются стрептококк группы В и кишечная палочка. Взрослый человек обладает сильным иммунитетом, поэтому часто бывает, что эти микробы, находясь в организме матери, не причиняют видимого вреда ей самой, не вызывают отчетливых симптомов какого - либо заболевания. Именно поэтому рождение больного малыша нередко становится полной неожиданностью для семьи. Плод и новорожденный ребенок гораздо более восприимчивы к инфекции из-за несовершенства иммунной системы. Вызвать врожденную пневмонию у новорожденного могут даже те инфекционные очаги, которые мама может не замечать и не чувствовать, например, хронические инфекции мочевых путей, которые особенно опасны.
Симптомы врожденной пневмонии обычно появляются уже в родильном зале или в первые часы жизни, однако оценка по шкале Апгар может быть высокой, а поведение и состояние малыша непосредственно после родов может казаться вполне обычным - это объясняется действием родового стресса. Однако, при наблюдении в динамике такие дети довольно быстро обращают на себя внимание врача - неонатолога громким стонущим дыханием, появлением одышки, цианоза (синюшного оттенка кожных покровов). В дальнейшем им может потребоваться наблюдение в условиях отделения интенсивной терапии, нахождение в инкубаторе (кувезе), дополнительная подача кислорода или даже проведение ИВЛ (искусственной вентиляции легких).
Питание недоношенного ребенка с врожденной пневмонией проводят с помощью желудочного зонда, поскольку его рефлексы вялые и самостоятельно сосать у него не хватает сил. Температура тела малыша нестабильна, может быть как выше, так и ниже нормы, вне инкубатора быстро охлаждается. Недоношенным детям с врожденной пневмонией требуется много времени на лечение и восстановление, поскольку бороться с инфекцией и с незрелостью одновременно - непростая задача.
В недалеком прошлом врожденная пневмония сопровождалась высоким уровнем смертности. Современный уровень медицины в большинстве случаев позволяет своевременно выявить и излечить это заболевание. Очень важно сохранять позитивный настрой и поддерживать грудное вскармливание - эти два фактора являются залогом успеха.
После выписки из стационара очень важно продолжить регулярное наблюдение у врача- педиатра участкового, соблюдать его рекомендации, продолжать грудное вскармливание и ни в коем случае не отказываться от проведения профилактических прививок.
Приложение Г1-ГN. Шкалы оценки, вопросники и другие оценочные инструменты состояния пациента, приведенные в клинических рекомендациях
Приложение Г1. Шкала оценки дыхательных расстройств Название на русском языке: Шкала респираторных нарушений Сильвермана-Андерсен Оригинальное название: The Silverman Andersen respiratory severity score Источник (официальный сайт разработчиков, публикация с валидацией):
Silverman W.A., Andersen D.H. A controlled clinical trial of effects of water mist on obstructive respiratory signs, death rate and necropsy findings among premature infants. Pediatrics. 1956;17(1):1-10.[187]
Тип: шкала оценки
Назначение: оценка респираторных нарушений Содержание (шаблон) [25,42,43].

Ключ (интерпретация) и пояснения:
При оценке дыхательной недостаточности по шкале Сильвермана-Андерсен производится подсчет баллов, в зависимости от клинических проявлений:
Оценка в 0 баллов свидетельствует об отсутствии респираторного дистресс синдрома (РДС);
Оценка от 1 до 3 баллов - начальные признаки РДС;
Оценка 4-5 баллов - средняя степень тяжести РДС (показание к переходу на следующий уровень респираторной поддержки)
При суммарной оценке 6 баллов и более у новорожденных констатируется тяжелый РДС.
Оценка 1 -3 балла свидетельствует о компенсированном состоянии ребенка на фоне проводимых лечебных мероприятий.
Оценка 4 и более баллов свидетельствует о неэффективности респираторной поддержки и требует наращивания интенсивности респираторной терапии (перехода c СРАР на неинвазивную ИВЛ, а при недостаточной эффективности неинвазивной ИВЛ, - перехода на традиционную ИВЛ).
Нарастание тяжести дыхательной недостаточности, оцененное по шкале Сильвермана-Андерсен, наряду с увеличением потребности ребенка в дополнительном кислороде, может служить показанием к заместительной сурфактантной терапии.
Теги: пневмания
234567 Начало активности (дата): 31.05.2025
234567 Кем создан (ID): 989
234567 Ключевые слова: антибактериальная терапия, пневмания, бронхолегочная дисплазия, отделение патологии
12354567899
Похожие статьи
Влияние окисленного декстрана на метаболизм внеклеточного матрикса органов мышей с липополисахарид-индуцированноой пневманиейРентген на дому 8 495 22 555 6 8
Симптом хаотичного мощения
Симптом обратного ободка
Септическая эмбологенная пневмония при инфекционном эндокардите правых отделов сердца: лучевая диагностика


