03.04.2026
Токсическое действие метанола: лучевые и патоморфологические параллели
Острые химические отравления спиртосодержащими средствами как причина нарушения здоровья являются актуальной социально значимой проблемой
Введение.
Высокая летальность среди отравленных суррогатами алкоголя по большей части обусловлена токсическим действием метанола [1–4]. В настоящее время острые химические отравления как причина нарушения здоровья являются социально значимой и медико-экономической проблемой [2, 3, 5]. Цель. Показать изменения головного мозга при отравлении метанолом и легких по данным СКТ и традиционного рентгенологического исследования, продемонстрировать их изменения в динамике и сопоставить с патоморфологической картиной. Метанол (метиловый, древесный спирт, карбидол) применяется в составе различных коммерческих продуктов, включая стеклоомывающие жидкости, содержится в антифризах, дезинфицирующих средствах, из него синтезируют формальдегид, формалин, уксусную кислоту [1, 2, 5, 6].
Этанол и метанол обладают сходными органолептическими свойствами, поэтому отличить их в бытовых условиях не представляется возможным [1, 2, 7, 8]. Это является причиной того, что пострадавшие в момент отравления чаще всего не подозревают, что употребляют не этиловый (винный), а метиловый спирт. Иногда такие отравления могут быть массовыми [1, 3, 6] (таблица).

Токсикологическая характеристика метилового спирта и механизм действия. Метиловый спирт — прозрачная бесцветная жидкость, по вкусу и запаху напоминающая этиловый (винный) спирт. Отравления метанолом могут возникнуть при приеме внутрь, ингаляционным путем или при попадании на кожные покровы [3, 6]. Смертельная доза при приеме внутрь колеблется от 50 до 500 мл (в среднем 100 мл). Различия индивидуальной чувствительности к метанолу [2, 3] могут быть связаны с одновременным употреблением этанола, разным содержанием фолатов в рационе пациента или особенностями метаболизма метанола.
Биологическое действие неизмененной молекулы метанола ограничивается наркотическим эффектом. Метаболизм метилового спирта протекает по типу «летального» синтеза — с образованием более токсичных метаболитов, метаболизируясь под действием алкогольдегидрогеназы до формальдегида и муравьиной кислоты [1, 4, 5, 8, 9]. Метаболиты оказывают токсическое действие на организм: проявляется офтальмологическими (снижение остроты зрения до слепоты), неврологическими симптомами (нарушение сознания до комы), гастроинтестинальными расстройствами (боль в животе, тошнота и рвота, понос); развивается метаболический ацидоз [10]. Являясь острым и неотложным состоянием, требует ранней диагностики и своевременного лечения.
В течении отравления метанолом выделяют 3 стадии: наркотическую (латентную) — опьянения (30– 90 мин до 12–24 ч); ацидотическую — формирования метаболического ацидоза и стадию поражения центральной нервной системы. Степень выраженности стадий варьирует в зависимости от дозы токсиканта и чувствительности организма к нему [3, 4, 6]. По степени тяжести отравления делятся на легкие (токсический гастрит, синдром общих расстройств), среднетяжелые (офтальмические) [4, 10] и тяжелые (генерализованные) формы [2, 3, 6]. Классическим (отличительным) признаком является изменения со стороны зрения [10].
Лабораторная диагностика включает в себя определение содержания метанола, этанола в крови и моче; исследование электролитов и газов крови, повторные определения осмолярности и кислотноосновного состояния плазмы [2, 3]. Метаболический ацидоз, связанный с повышением анионного и осмолярного интервала, является важным диагностическим критерием [2, 5, 8, 10].
Традиционными методами лечения отравлений метанолом являются гемодиализ и применение этанола, который назначают как конкурентный ингибитор метаболизма метанола [2, 6].
Наиболее чувствительными к воздействию метаболитов метанола (муравьиной кислоты и формиата) органами являются головной мозг и зрительные пути [4, 7], в то время как другие органы также могут быть серьезно повреждены в зависимости от тяжести метаболического ацидоза. Это объясняет использование дополнительных диагностических методов и методик исследования и привлечения специалистов смежных специальностей для объективизации состояния пациента и коррекции лечения. Спиральная компьютерная томография (СКТ) и магнитно-резонансная томография (МРТ). Хорошо известны особенности поражения головного мозга при острых отравлениях метанолом.
Селективное поражение: 1) зрительного нерва (окулотоксичность) и 2) некротические изменения в стриопаллидарной системе (геморрагические — гиперденсные и негеморрагические — гиподенсные зоны повреждения в базальных ядрах головного мозга при СКТ), развивающееся через 48–72 ч, как правило, двусторонние [2, 3, 5, 7, 8, 10].
Другими проявлениями нейротоксичности могут быть: 3) отек и набухание головного мозга [5, 6, 10]. 4) полушарные и внутрижелудочковые кровоизлияния [5, 10]. Двусторонние поражения базальных ганглиев, двусторонний некроз скорлупы (с кровоизлиянием или без него) и, реже, хвостатое ядро — характерные проявления при отравлении метанолом, диагностируются при нейровизуализации (СКТ и МРТ) [5, 8, 10]. Кровоизлияния в мозг является редким осложнением интоксикации метанолом с агрессивным клиническим течением, которое следует учитывать при ведении таких пациентов [9]. Полушарные и внутрижелудочковые кровоизлияния могут быть связаны с прямым токсическим действием метанола и его метаболита — муравьиной кислоты, или быть вторичными проявлениями аноксии и ацидоза [7].
Для выявления повреждений головного мозга необходимо выполнение СКТ и/или МРТ при поступлении и исследования в динамике [5, 8, 10]. Поскольку признаки отравления метанолом выявляются раньше при диффузионно-взвешенной МРТ, чем при компьютерной томографии головы, некоторые авторы предложили как можно скорее проводить МРТ головного мозга пациентам с измененным психическим статусом и неясными клиническими симптомами или с подозрением на интоксикацию метанолом [8].
Таким образом, для раннего выявления токсического действия метанола на головной мозг и выполнения специфических профилактических терапевтических мероприятий целесообразно проводить МРТ головного мозга при поступлении (в течение первых суток) и в динамике, СКТ головы при поступлении для исключения травматических изменений и динамике по клиническим показаниям. Ниже представлен клинический случай острого отравления метанолом с тяжелым метаболическим ацидозом с высоким содержанием анионов вследствие интоксикации, повреждением головного мозга, связанным со специфической рентгенологической картиной, с летальным исходом.
Материалы и методы.
В период 2017–2024 гг. в Центр острых отравлений ГБУ «Научно-исследовательский институт скорой помощи им. И. И. Джа не - лидзе» (ЦОО НИИ СП им. И. И. Джанелидзе) с признаками острого отравления метанолом поступили 80 пациентов в возрасте от 23 до 77 лет (средний возраст 44,2 года; мужчин — 68; женщин — 12), летальный исход отмечен в 45 случаях, выписаны 35 пациентов. Клиническая картина острых отравлений метанолом характеризовалась развитием токсико-гипоксической энцефалопатии, что клинически проявлялось сопором и развитием коматозного состояния 2–3 ст., метаболическим ацидозом, гипергликемией, в некоторых случаях изменениями со стороны зрения (от выпадения полей зрения до потери зрения), клиникой острого живота (панкреатитом). Данные клинической картины подтверждались обнаружением метанола при химико-токсикологическом исследовании.СКТ головного мозга по стандартной методике проводилось при поступлении в стационар или ухудшении клинического состояния. МРТ головного мозга выполнялось по стандартной методике в случаях уточнения клинической картины и данных СКТ.
Результаты.
СКТ выполнено 50 (62,5%) пациентам. По данным СКТ у 22 больных (44%) на момент исследования были нормальные структуры и показатели (не отмечены патологические изменения) головного мозга, патологические изменения головного мозга выявлены у 28 человек (56%). Среди патологических изменений встречались диффузный отек 17 (60,7%) и геморрагические осложнения 9 (32,14%). Количество изменений головного мозга превышает количество обследованных, поскольку у многих имелись сочетания тех или иных изменений.

1. Только диффузный или локальный отек (без геморрагических осложнений) вещества головного мозга наблюдался в 39,28% случаев (у 11 пациентов), с дислокационным синдромом — у 3 пациентов. В одном случае был выявлен локальный изолированный билатеральный отек базальных ядер (БЯ) и мозжечка. Диффузный отек в большинстве случаев сопровождал геморрагические осложнения (7 человек — 28%).
2. Всего геморрагические осложнения встречались в 32,14% случаев (9 больных). Различные виды кровоизлияний: — внутримозговые гематомы (ВМГ) в проекции БЯ — 4 пациентов (билатеральные — 3, только в левом полушарии — 1, но он сочетался с диффузным отеком и дислокацией), в задней черепной ямке — наблюдали у одного пациента; — внутрижелудочковые кровоизлияния отмечались самостоятельно или в сочетании с ВМГ и/или дифузным отеком — у 6 пациентов (21,42%); — отек-ишемия в проекции БЯ, диффузный отек головного мозга сопровождались геморрагическим пропитыванием БЯ в 2 (7,1%) случаях.
3. Ишемия в БЯ наблюдалась у 2 (7,1%) пациентов.
4. Кистозно-атрофические изменения отмечались у 5 (17,8%) пациентов. Пациент А., 59 лет. Поступил в ЦОО ГБУ НИИ СП им. И. И. Джанелидзе с признаками острого отравления метанолом. Диагноз подтвержден при ХТИ: уровень метанола в моче — 2,4 г/л, этанол в моче — 0,7 г/л. Лабораторные показатели при поступлении рН крови 6,818 (норма 7,35–7,45), HCO3 — 3,9 ммоль/л (норма: 22,0–26,0), При контрольном исследовании через 13 дней определяются билатеральные кровоизлияния в вещество головного мозга с прорывом в желудочковую систему (рис. 2).

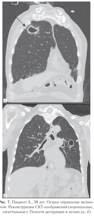
При проведении судебно-медицинской экспертизы выявлены массивные билатеральные гематомы головного мозга (данные аутопсии представлены на рис. 3), а также инфильтративные изменения в легких с полостями абсцессов (рис.10). Исследования легких: при поступлении (рис. 4), рентгенограмма органов грудной полости (рис. 5) и СКТ груди с реконструкциями в динамике через 1 месяц (рис. 6–8).





На рис. 9 представлена рентгенограмма органов грудной полости, выполненная перед смертью пациента. Гистологическая картина по данному случаю отравления. Головной мозг: кровоизлияния (гематомы) с организацией, глиальным рубцом по периферии, с лейкоцитарно-ядерным детритом, слоистым фибрином на фоне эритроцитарных масс; тромбоз некоторых сосудов, кое-где с перифокальным воспалением; фибриноидный некроз стенок отдельных сосудов. Отек головного мозга, местами вплоть до сетчатости, с очагами нейронодистрофии, фокусами выпадения нейронов; прогрессирующий склероз, отек пиальных структур коры головного мозга. Глиальный рубец (в подкорковом отделе), с участками нейронодистрофии, с фокусами кариорексиса, кариолизиса к карнификации; очаговая инфаркт-пневмония (в одном из срезов) с гнойным воспалением, с очагами абсцедирования, местами с признаками организации; полнокровие сосудов с эритро-, лейкостазами, тромбами с фибрином в просветах некоторых сосудов в легких. В сердце: неравномерно-концентрический фиброгиалиноз стенок артериальных сосудов с умеренным сужением просветов отдельных сосудов; периваскулярный, очаговый межуточный сетчатый фиброз; фокусы липоматоза в строме; хаотичное расположение, полиморфизм кардиомиоцитов; фокусы миофрагментации, волнообразной деформации мышечных волокон; неравномерное кровенаполнение сосудов с участками венозно-капиллярной гиперемии.
Дистрофические изменения в печени, почке.
Очаговый фибролипоматоз стромы поджелудочной железы.
Заключение.
Современные лучевые методы диагностики (СКТ) головного мозга и груди позволяют прижизненно уточнить патологические изменения у пациента и своевременно корректировать лечение. В нашем исследовании преобладали следующие виды повреждений головного мозга: диффузный отек, различные варианты геморрагических изменений, сочетание геморрагических осложнений с диффузным отеком. Выявленные изменения соответствуют данным патологоанатомической картины при СМЭ. Полученные данные позволяют утверждать, что методы лучевой диагностики при острых отравлениях метанолом должны использоваться более широко для своевременного выявления осложнений со стороны ЦНС, органов дыхания, что позволит улучшить результаты оказания медицинской помощи.
Сведения об авторах:
Антонова Анна Михайловна — кандидат медицинских наук, врач-рентгенолог, сотрудник отдела клинической токсикологии государственного бюджетного учреждения «Санкт-Петербургский научно-исследовательский институт скорой помощи им. И. И. Джанелидзе»; 192242, Санкт-Петербург, Будапештская ул., д. 3
Лодягин Алексей Николаевич — доктор медицинских наук, главный внештатный специалист-токсиколог Северо-Западного федерального округа Российской Федерации, руководитель отдела клинической токсикологии государственного бюджетного учреждения «Санкт-Петербургский научно-исследовательский институт скорой помощи им. И. И. Джанелидзе»; 192242, Санкт-Петербург, Будапештская ул., д. 3, лит. А
Батоцыренов Баир Васильевич — доктор медицинских наук, главный научный сотрудник отдела клинической токсикологии государственного бюджетного учреждения «Санкт-Петербургский научно-исследовательский институт скорой помощи им. И. И. Джанелидзе»; 192242, Санкт-Петербург, Будапештская ул., д. 3
Кузнецов Семен Валерьевич — кандидат медицинских наук, доцент, старший научный сотрудник отдела клинической токсикологии государственного бюджетного учреждения «Санкт-Петербургский научно-исследовательский институт скорой помощи им. И. И. Джанелидзе»; 192242, Санкт-Петербург, Будапештская ул., д. 3, ведущий научный сотрудник федерального государственного бюджетного учреждения «Научно-клинический центр токсикологии имени С. Н. Голикова Федерального медико-биологического агентства России»
Климанов Дмитрий Владимирович — врач судебно-медицинский эксперт высшей квалификационной категории, отдела судебно-медицинской экспертизы трупов Санкт-Петербургского государственного бюджетного учреждения здравоохранения «Бюро судебно-медицинской экспертизы»; 195067, Санкт-Петербург, Екатерининский пр., д. 10
Шакурин Юрий Викторович — врач судебно-медицинский эксперт высшей квалификационной категории, отдела судебно-медицинской экспертизы трупов СанктПетербургского государственного бюджетного учреждения здравоохранения «Бюро судебно-медицинской экспертизы»; 195067, Санкт-Петербург, Екатерининский пр., д. 10
ЛИТЕРАТУРА
1. Букаев О.Н., Сайгина О.А., Малкина Н.В., Юматова Е.В., Слугина О.В. Динамика острых отравлений метанолом и особенности оказания экстренной медицинской помощи в Республике Мордовия // Международный журнал прикладных и фундаментальных исследований. 2019. № 10. С. 278–282. [Bukaev O.N., Saigina O.A., Malkina N.V., Yumatova E.V., Slugina O.V. Dynamics of acute methanol poisoning and features of emergency medical care in the Republic of Mordovia. International Journal of Applied and Fundamental Research, 2019, No. 10, pp. 278–282 (In Russ.)].
2. Яковенко Т.А., Онан О.Я., Долума А.М., Тарасов А.Ю. Острые отравления метанолом: обзор литературы // Вестник магистратуры. 2022. № 12–1 (135). С. 4–8. [Yakovenko T.A., Yunan O.Ya, Doluma A.M., Tarasov A.Yu. Acute methanol poisoning: literature review. Bulletin of the Magistracy, 2022, No. 12–1 (135), pp. 4–8 (In Russ.)].
3. Сарманаев С.Х., Заборских И.В., Симоненко В.Б., Дулин П.А. Диагностика отравления метиловым спиртом: возможности и перспективы // Клин. мед. 2017. Т. 95, № 5. С. 432–437. [Sarmanaev S.Kh., Zaborskikh I.V., Simonenko V.B., Dulin P.A. Diagnostics of methyl alcohol intoxication: possibilities and prospects. Klin. med. 2017, Vol. 95, No. 5, рр. 432–437 (In Russ.)]
4. Самойлов А.Н., Бариева А.М. Характеристика токсического действия при острых отравлениях метанолом и этанолом // Офтальмологические ведомости. 2020. Т. 13, № 1. С. 65–70. [Samoylov A.N., Barieva A.M. Characterization of toxic effects in acute poisoning with methanol and ethanol. Ophthalmology Journal, 2020, Vol. 13, No. 1, рр. 65–70 (In Russ.)]
5. Богомолов А.Н., Олецкий В.Э., Григорьев И.М., Шмигельский А. А., Боровикова Л.Н., Вергун О.М. Острые отравления суррогатами алкоголя // Медицинский журнал. 2019. № 3. С. 43–49. [Bogomolov A.N., Oletskiy V.E., Grigoriev I.M., Shmigelskiy A.A., Borovikova L.N., Vergun O.M. Acute poisoning by alcohol surrogates. Medical Journal, 2019, No. 3, pp. 43–49 (In Russ.)].
6. Козычева О.П., Лебедев М.Л., Филяков А.И. и др. Отравления метанолом: диагностика, терапия и исходы // Вестник клинической больницы. 2012. Т. 5, № 51. С. 27–32. [Kozyreva O.P., Lebedev M.L., Filyakov A.I. еt al. Methanol poisoning: diagnosis, therapy and outcomes // Bulletin of the clinical hospital, 2012, Vol. 5, No. 51, pp. 27–32 (In Russ.)].
7. Aisa T.M., Ballut O.M. Methanol intoxication with cerebral hemorrhage // Neurosciences (Riyadh). 2016 Jul; Vol. 21 (3). Р. 275–257. PMID: 27356664. doi: 10.17712/nsj.2016.3.20150592.
8. Singh A., Samson R., Girdhar A. Portrait of a Methanol-intoxicated Brain // Am. J. Med. 2011 Feb; Vol. 124, No. 2. Р. 125–127. doi: 10.1016/j.amjmed.2010.09.001. PMID: 20951366
9. Al Aseri Z., Altamimi S. Keeping a high index of suspicion: lessons learned in the management of methanol ingestion // BMJ Case Rep. 2009. Vol. 2009: bcr09.2008.1013. doi: 10.1136/bcr.09.2008.1013.
10. Nekoukar Z., Zakariaei Z., Taghizadeh F., Musavi F., Banimostafavi E.S., Sharifpour A., Ebrahim Ghuchi N., Fakhar M., Tabaripour R., Safanavaei S. Methanol poisoning as a new world challenge: A review // Ann. Med. Surg. (Lond). 2021. Jun 2; Vol. 66. Р. 102445.
Теги: метанол
234567 Начало активности (дата): 03.04.2026
234567 Кем создан (ID): 989
234567 Ключевые слова: отравление метанолом, компьютерная томография, внутримозговая гематома, абсцедирующая пневмония, судебно-медицинская экспертиза
12354567899
Похожие статьи
Компьютерная томография в диагностике поражения легких и внутригрудных лимфатических узлов при лимфомахРентген на дому 8 495 22 555 6 8
Шаблоны протоколов описаний «Рентгенология» компьютерная томография
Компьютерная томография и магнитно-резонансная томография в диагностике острого нарушения мозгового кровообращения у детей
Компьютерная томография высокого разрешения в диагностике хронической обструктивной болезни легких


