19.12.2025
Использование 30-технологий в мини-инвазивной хирургии травм костей таза
Благодаря технологическому прогрессу в травматологии появляется больше возможностей для применения мини-инвазивных методов лечения травм тазового кольца
ВВЕДЕНИЕ
В последние годы травматология и ортопедия подверглась значительным изменениям благодаря внедрению инновационных технологий: электронно-оптические преобразователи (ЭОП), компьютерные навигационные системы, интраоперационные конусно-лучевые компьютерные томографы и аддитивные технологии (АТ).
АТ — это производственный процесс, который с конца 1980-х гг. все чаще используется в биомедицинской инженерии. Возможность производить улучшенные сложные и индивидуальные биомедицинские продукты позволяет этой технологии быстро распространяться во многих областях здравоохранения [1]. Сама технология заключается в последовательном добавлении материала слой за слоем для создания трехмерных объектов, что лежит в основе SD-печати.
Одной из областей, где АТ демонстрируют большой потенциал, является предоперационная подготовка с идентификацией траекторий установки различных имплантатов при проведении мини-инвазивной хирургии повреждений костей таза. Данные операции, включающие фиксацию крестцово-подвздошного сочленения (КПС), разрыва лонного сочленения, остеосинтез переломов крестца, лонных и седалищных костей, основываются на надежной фиксации костей таза винтами, штифтами или транспедикулярными системами через небольшие кожные проколы или разрезы [2, 3]. Сложность оперативного пособия заключается в отсутствии классического интраоперационного ad oculus и пальпаторного контроля при достаточно сложной геометрической анатомии костей таза, большом количестве тесно прилегающих сосудистых и нервных образований, повреждение которых сопряжено с формированием гематом, тромбов и значительным снижением качества жизни и возникновением стойкого болевого синдрома.
Цель исследования — оценка эффективности использования SD-технологий печати на этапах предоперационной подготовки и интраоперационной навигации в мини-инвазивной хирургии травм костей таза.
Выбор типа и размера имплантата определяется характером и расположением повреждений костей таза. Для точного позиционирования и профилактики мальпозиции имплантатов используются различные интраоперационные методики определения наличия костных коридоров и их проходимости. Традиционными методами контроля точности хода операции и локализации имплантатов являются интраоперационное использование ЭОП, тактильные ощущения хирурга, а при наличии в операционной — конусно-лучевая компьютерная томография. Данные методы позволяют достаточно визуализировать все интересующие структуры. Малоинвазивные способы фиксации, включая чрескожный метод, минимизируют травматизацию мягких тканей, однако довольно высоким остается риск повреждения сосудов и нервов [4, 5, 6]. Частота мальпозиции винтов в КПС с рентгеноскопическим сопровождением колеблется от 2 до 15% [7, 8], а частота повреждений нервов — от 0,5 до 7,7% [9]. В последнее время отмечается растущий интерес к активному использованию АТ в хирургии таза. Однако опыт применения данной технологии и количество публикаций крайне малы.
МАТЕРИАЛ И МЕТОДЫ
Дизайн исследования
Тип исследования — ретроспективное одноцентровое.
На базе травматологического отделения ГБУЗ «ММНКЦ им. С.П. Боткина» ДЗМ за период с ноября 2022 г. по июль 2024 г. было проведено 53 операции у пациентов с различными травмами костей таза (всего 78 переломов, 25 повреждений сочленений).
Критерии включения:
возраст более 18 лет;
закрытые моно- и билатеральные переломы крестца в зонах I и II по Denis, переломы лонных костей во всех трех зонах по Nakatani, тип В переломов задней колонны вертлужной впадины по классификации Judet - Letournel, разрывы КПС и лонного сочленения [8, 10, 11].
Критерии исключения:
открытые травмы костей таза;
травмы костей таза, требующие открытой репозиции и накостного остеосинтеза;
политравма, требующая оперативного лечения повреждения костей таза в первые 24-48 ч. с момента травмы.
Технология получения SD-модели
Использована методика интраоперационной навигации на основе 3D-печати FDM-принтером и программного обеспечения (ПО) 3D Slicer [12], Autodesk Meshmixer, Bambu Studio Bambu Lab. В рамках проведенной работы представлен опыт применения 3D-технологий для предоперационной подготовки и интраоперационного взаимодействия оперирующего врача с объемной полимерной 3D-моделью костей таза с различными типами повреждений тазового кольца в зависимости от конкретного клинического случая и с индивидуальными морфо-анатомическими особенностями.
Методика получения полимерной объемной модели заключалась в
реализации следующего протокола (рис. 1).


Выполнение КТ таза пациента с травмой тазового кольца.
Сегментация полученных DICOM-файлов с выделением костных структур таза в ПО 3D Slicer, получение первичной цифровой модели с конвертацией в формат STL.
Проведение этапной постобработки полученного файла STL в ПО Autodesk Meshmixer с получением конечной цифровой модели и экспортом ее в формат STL.
Подготовка и адаптация конечной цифровой модели костей таза в ПО Bambu Studio Bambu Lab к 3D-печати.
Печать на FDM-принтере из PLA-пластика (полилактид — ПЛА) или PETG-пластика (полиэтилен- терефталат-гликоль — ПЭТГ). Среднее время печати модели таза в масштабе 1:1 составляло 16-19 ч.
Предоперационное планирование с применением SD-моделей
Следующим шагом являлся анализ полученной объемной физической модели, обсуждение клинической ситуации с определением хирургической тактики, подбором типов и размеров необходимых имплантатов, оценкой сопряженного риска мини-инвазивного оперативного лечения, проходимости и расположения оптимальных безопасных костных пространств под визуальным контролем и с помощью ЭОП (рис. 2).

Рис. 3. Фотография 3D-модели костей таза с проведенными в теле S1 спицами (a) и ЭОП-снимки положения спиц (b)
Осуществлялась фотофиксация полученных результатов (рис. 3).


Затем проводили стерилизацию физической 3D-модели с
применением низкотемпературной плазмы для последующего взаимодействия с ней во
время проведения операции (рис. 4).


Рис. 4 (а). Процесс и результат использования 3D-модели:a — модель, подготовленная к стерилизации
Выбор пациентов, подходящих для мини-инвазивной хирургии при повреждениях костей таза
Согласно алгоритму Damage Control Orthopaedics (DCO) [13], на первом этапе лечения пациентам с признаками нестабильности тазового кольца проводили фиксацию стержневыми аппаратами наружной фиксации (АНФ). У пациентов без признаков явной нестабильности таза проводили иммобилизацию тазовым бандажом, либо иммобилизация не требовалась. После стабилизации состояния пострадавших, создания индивидуальной пластиковой 3D-модели таза в масштабе 1:1, определения хода операции и необходимых имплантатов выполняли второй этап — окончательную погружную фиксацию травм как заднего полукольца таза канюлированными винтами, так и переднего полукольца винтами или штифтами.
Оценка тяжести повреждений пациентов с множественной и сочетанной травмой проводилась по шкале ISS. Переломы костей таза оценивались по классификациям AO/OTA, Denis, Nakatani.
Показаниями к мини-инвазивному хирургическому лечению служили:
вертикально и горизонтально нестабильные травмы таза давностью не более 3 нед.;
травмы таза вследствие как фронтальной, так и сагиттальной компрессии;
переломы лонных костей во всех зонах Nakatani в комбинации с повреждениями заднего полукольца;
простой перелом задней колонны вертлужной впадины типа В по классификации Judet - Letournel;
разрыв лонного симфиза с остаточным диастазом после стабилизации в АНФ не более 1,5 см;разрывы КПС как односторонние, так и двусторонние;
переломы крестца в зонах Denis I и II, H-образные переломы крестца (61 C3.3 или 54 C2 (Spine) по классификации AO/OTA) без неврологических расстройств.
Особенно актуальна методика чрескожной малотравматичной фиксации костей таза была у пациентов с посттравматическим анемическим синдромом средней и тяжелой степеней; с висцеральным ожирением и локальной отслойкой мягких тканей по данным ультразвукового исследования; с коморбидной патологией (сахарный диабет, сердечно-сосудистая, почечная недостаточность, онкология); у пациентов, продолжающих находиться на вазопрессорной поддержке в посттравматическом периоде.
Противопоказаниями к мини-инвазивному вмешательству являлись следующие факторы:
локальное повреждение или инфекция мягких тканей в зонах предполагаемых хирургических доступов;
срок с момента травмы более 3 нед.;
узкий внутрикостный канал лонной кости (менее 3 мм);
переломы вертлужной впадины, требующие проведения открытой репозиции и внутренней накостной фиксации;
переломы крестца в зоне III по Denis.
На основе полученных 3D-моделей проводилась тщательная
оценка строения крестца, крестцового дисморфизма, сакрализации или люмбали-
зации крестца, величины скатов, а также степени изгиба лонных костей.
В соответствии с объемом повреждений таза пациенты были поделены на 3 группы: группа 1 — с изолированной травмой заднего полукольца; группа 2 — с травмой заднего и переднего полукольца; группа 3 — травма заднего, переднего полукольца и вертлужной впадины (табл. 1).
Таблица 1
Распределение пациентов по локализации повреждения
|
Характеристика |
Значение |
|
|
Общее количество пациентов, n |
53 |
|
|
Локализация повреждений |
Заднее полукольцо (группа 1) |
17 (32%) |
|
|
Заднее и переднее полукольцо (группа 2) |
34 (64%) |
|
|
Задние, передние отделы таза и вертлужная впадина (группа 3) |
2 (4%) |
|
Общее количество переломов, n |
78 |
|
|
Локализация переломов |
Заднее полукольцо |
45 (58%) |
|
|
Заднее и переднее полукольцо |
31 (40%) |
|
|
Задние, передние отделы таза и вертлужная впадина |
2 (2%) |
|
Общее количество повреждений сочленений, n |
25 |
|
|
Локализация повреждений |
Симфиз |
7 (28%) |
|
сочленений |
Крестцово-подвздошное сочленение |
18 (72%) |
Статистический анализ
Использованы методы описательной статистики. Результаты представлены в виде медианы (Me), максимальной и минимальной величин, межквартильного интервала [МКИ].
Хирургическая техника и интраоперационная навигация
Пациента укладывали на рентгеновском прозрачном операционном столе на спине, в мочевой пузырь предварительно вводился катетер с целью исключения ятрогенного повреждения. Подготавливали предварительно стерилизованную 3D-модель костей таза пациента с размеченными траекториями и точками введения имплантатов и распечатанные фотоснимки с ЭОП-контроля ранее установленных фиксаторов или направляющих спиц в 3D-модели в разных проекциях.
Рентгенологический контроль положения направляющих спиц, устанавливаемых имплантатов и их сравнение с 3D-моделью осуществлялись на протяжении всей операции в стандартных проекциях inlet, outlet, обзорной фронтальной, боковой, запирательной и подвздошной по Judet.
Из кожных разрезов до 1,0—1,5 см производилось заведение направляющих спиц в различные костные структуры таза. Навигацию осуществляли путем сравнения положения спиц и вектора их направления с имеющейся пластиковой 3D-моделью, оценкой пространственного положения рук хирурга (рис. 5).

По необходимости проводили корректировку расположения спиц и повторное сравнение с 3D-моделью. Затем в соответствии с предоперационным планированием осуществляли установку металлофиксаторов: канюлированных винтов 6,5 или 7,3 мм с полной или частичной резьбой, с шайбами или без; блокируемого штифта в лонные кости; стальных кортикальных винтов 3,5 мм. Ориентацию имплантатов в костях таза пациентов также сравнивали с предустановленными имплантатами в пластиковых моделях. Выполняли заключительный рентгенологический контроль, накладывали швы с асептическими повязками, проводили демонтаж стержневого АНФ, если он был установлен ранее на первом этапе лечения.
Послеоперационное лечение
Активизацию пациентов со стабильной гемодинамикой начинали на следующие сутки после операции. Пациентам с множественной и сочетанной травмой разрешали поворачиваться на бок, сидеть с целью профилактики развития гипостатических осложнений. Удаление швов проводили на 14-16-е сут. после операции.
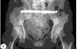
Рентген- и КТ-контроль проводили всем пациентам сразу после
операции в первые 24-48 ч. Избирательно по данным КТ проводили построение
цифровой модели с последующим созданием физической модели. Этапные
рентгенологические исследования осуществляли через 1, 2, 3, 6 и 8 мес. с
момента операции.
РЕЗУЛЬТАТЫ
Первый этап лечения, фиксация стержневыми АНФ, был выполнен 44 (83%) пациентам с признаками нестабильности тазового кольца. Характеристика хирургического лечения представлена в таблице 2.
Ни у одного из пациентов по данным контрольной КТ костей таза не выявлено мальпозиции металлофиксаторов, во всех случаях послеоперационные раны зажили первичным натяжением. Из исследования выбыло 5 пациентов (3 иностранца, 1 пациент переведен в психосоматическое отделение смежного лечебного учреждения, 1 пациент скончался в результате тромбоэмболии легочной артерии через 1,5 мес. после операции).
Общее количество оставшихся в исследовании пациентов составило 48 человек. На момент написания статьи рентгенологические признаки консолидации переломов отмечены в 43 (90%) случаях (13 пациентов из группы 1, 29 пациентов из группы 2 и у 1 пациента из группы 3), в остальных 5 (10%) случаях срок наблюдения был меньше среднего срока сращения (3 мес.) (табл. 3). Отдаленный функциональный результат через 8 мес. после операции по шкале Majeed представлен в таблице 4.
Показатели хирургического лечения в группах пациентов, n = 53
Таблица 2
|
Характеристика |
Параметр, Me [МКИ] |
|
Время до выполнения 2-го этапа, дни |
4,00 [2,00-6,00] |
|
группа 1 |
2,00 [2,00-4,00] |
|
группа 2 |
4,00 [2,00-6,00] |
|
группа 3 |
12,00 [10,00-14,00] |
|
Время операции, мин. |
45 [25-55] |
|
группа 1 |
20 [20-25] |
|
группа 2 |
50 [45-55] |
|
группа 3 |
80 [80-85] |
|
Кровопотеря, мл |
20 [10-30] |
Таблица 3
Рентгенологически подтвержденная консолидация переломов, n = 48
|
Характеристика |
Группа 1 |
Группа 2 |
Группа 3 |
|
Локализация переломов Консолидация |
14 (29,1%) |
33 (68,8%) |
1 (2%) |
|
3 мес. |
9 (18,8%) |
17 (35,4%) |
- |
|
4 мес. |
2 (4,2%) |
6 (12,5%) |
- |
|
5 мес. |
2 (4,2%) |
3 (6,3%) |
- |
|
6 мес. |
- |
- |
- |
|
7 мес. |
- |
3 (6,3%) |
- |
|
8 мес. |
- |
- |
1 (2%) |
|
Недостаточный срок наблюдения |
1 (2%) |
4 (8,3%) |
- |
Функциональный результат по шкале Majeed, n = 43
Таблица 4
|
Характеристика |
Группа 1 |
Группа 2 |
Группа 3 |
|
Локализация переломов |
13 (30,2%) |
29 (67,4%) |
1 (2%) |
|
Majeed, баллы, Me [МКИ] |
92 [81-96] |
89 [74-94] |
74 |
Неврологических осложнений, воспалительных явлений в области послеоперационных ран, вторичного смещения отломков во всех случаях не выявлено. Однако у 2 пациентов из группы 2 отмечена миграция винтов на фоне выраженных остеопоротических изменений после остеосинтеза переломов крестца по истечении 4 мес. и наступления консолидации по данным КТ, что потребовало хирургического удаления мигрировавших имплантатов. Иных осложнений за время исследования не выявлено.
Обсуждение
На сегодняшний день оперирующие травматологи-ортопеды все чаще отдают предпочтение малоинвазивным методам внутренней фиксации при нестабильных повреждениях таза. Традиционные способы внутренней фиксации связаны с обширными травматичными хирургическими доступами, сопровождающимися значительной кровопотерей, высоким риском повреждения нервов и сосудов, а также развитием инфекционных осложнений. Поэтому проводится постоянный поиск менее агрессивных методов остеосинтеза при травмах тазового кольца [3, 4, 14, 15, 16, 17]. Чрескожная установка винтов в кости таза — технически непростая процедура, требующая от оперирующего врача полного понимания возможных направлений установки имплантатов и их рентгенологической визуализации [18]. Большое значение имеет не только вариативность анатомического строения костей таза, но и такой фактор, как ожирение, при котором затруднена рентгенологическая интраоперационная навигация, из-за чего возрастает риск ятрогенных повреждений нервов. Некорректное позиционирование винтов в области крестца всего на 4° может привести к повреждению нервных и сосудистых структур [19], которое может достигать 7,7%. Хотя частоту подобных осложнений можно снизить за счет установки имплантатов с симультанным применением цифровой программной интраоперационной навигации, данный метод все равно не обеспечивает 100% правильной установки винтов [19, 20].
Кроме того, цифровая навигация, например StealthStation Spine Referencing Set (Medtronic Sofamor Danek, Memphis, TN, USA) и SD-ЭОП с соответствующим программным обеспечением — дорогостоящий инструмент, доступный не для каждой больницы, а конечные результаты тесно связаны с компетентностью и опытом применения данной техники хирургом [21, 22]. В качестве альтернативного способа установки винтов можно рассматривать использование трехмерного персонифицированного шаблона-направителя для установки спиц в задние отделы таза [23]. Однако данный метод сопряжен с необходимостью точного индивидуального ручного моделирования напра- вителей, а также более агрессивной хирургической техникой установки самого шаблона на кости таза. Уникальность механизмов травмы таза, комбинация различных вариантов повреждений, множество разносторонних классификаций, отсутствие единого стандартизированного алгоритма хирургической помощи затрудняют общение врачей и принятие решений о хирургической тактике при планировании лечения подобных травм.
Технология 3D-печати получила широкое распространение в
различных сферах медицины. Описаны сценарии клинического применения
SD-печати, создаются единые справочники использования этой технологии в травматологии [24, 25]. В проведенном исследовании осуществлена конвертация цифровых данных DICOM-файлов КТ пациентов в STL-файл, служащий «матрицей» для последующей полноразмерной SD-печати физической модели из различных полимеров. Тем самым достигалась превосходная визуализация и тактильное восприятие полученных травм в реальных масштабе и объеме. Полученная объемная модель создает условия для персонифицированного, прецизионного и рационального хирургического планирования. Врачам доступна абсолютная визуализация всех элементов повреждений таза перед операцией, что является основанием для разработки оптимальной хирургической стратегии, позволяющей минимизировать хирургическую агрессию. Репетиция остеосинтеза на пластиковых моделях таза повышает точность репозиции и стабильность достигнутой фиксации [26]. Внедрение SD-печать-ассистированной хирургии в клиническую практику лечения травм таза является безопасным и полезным дополнением, позволяющим достичь оптимальных результатов в периоперационном периоде и снизить частоту осложнений [27].
В настоящем исследовании представлено описание хирургического лечения пациентов с различными типами травм тазового кольца в комбинации с интраоперационной навигацией на основе SD-моделей или же SD-печать-ассистированием. Возможность проведения предоперационной симуляции остеосинтеза обеспечила оптимизацию подбора необходимых имплантатов для осуществления операции, выработку алгоритма репозиции переломов и повреждений сочленений. Методика позволила на дооперационном этапе провести анализ доступных костных коридоров для установки имплантатов без риска ятрогенных осложнений. Полученные в результате предоперационного анализа данные помогли снизить лучевую нагрузку на пациентов и медицинский персонал, сократить время операций, гарантировать точность расположения имплантатов. Оперирующие врачи обратили внимание на значительное повышение эффективности и удобства проведения транскутанного оперативного лечения травм таза с использованием SD-модели в качестве навигационной поддержки, отметив, что аддитивные
технологии способствуют прецизионной установке имплантатов в условиях морфо-анатомической вариативности строения таза. Помимо прочего, объемная SD-модель упрощает взаимодействие лечащего врача и пациента, помогая объяснить последнему тяжесть и характер полученной травмы, особенности предстоящего лечения и возможных рисков; повышается комплаентность пациентов в посттравматическом и послеоперационном периодах [27]. Еще одним значимым преимуществом АТ является сокращение времени кривой обучения при подготовке молодых хирургов [26].
Рентгенологические и функциональные результаты по шкале Majeed, полученные в ходе исследования, демонстрируют отличный и хороший исходы лечения, что соответствует продвинутому уровню лечения травм костей таза [28, 29].
Следует отметить ограничения метода SD-печати в виде наличия компетентного в сфере АТ персонала, программного обеспечения, специализированных SD-принтеров, расходной материальной базы. Следует принимать во внимание такие факторы, как время создания цифровой модели (сегментация 10-40 мин., постобработка 1015 мин., «слайсинг» и подготовка к печати 10-15 мин.) и время SD-печати таза в реальном масштабе 13-19 ч. Необходимо учитывать кривую обучения персонала при внедрении SD-печати в медицинском учреждении, что может оказать влияние на качество моделей и время их изготовления.
Исследование проведено на малой выборке пациентов и имеет небольшой срок наблюдения, поэтому необходимо дальнейшее накопление клинического опыта и анализ получаемых результатов.
ДОПОЛНИТЕЛЬНАЯ ИНФОРМАЦИЯ
Заявленный вклад авторов
Все авторы сделали эквивалентный вклад в подготовку публикации.
Все авторы прочли и одобрили финальную версию рукописи статьи. Все авторы согласны нести ответственность за все аспекты работы, чтобы обеспечить надлежащее рассмотрение и решение всех возможных вопро-сов, связанных с корректностью и надежностью любой части работы.
Заключение
Адекватная репозиция и надежная мини-инвазив- ная фиксация травм тазового кольца в сочетании с SD-технологиями при морфо-анатомической вариативности строения костей таза имеет большое значение для раннего функционального восстановления пациентов, снижает частоту мальпози- ции имплантатов и уменьшает отдаленные последствия травмы. Проведенное ретроспективное исследование продемонстрировало актуальность, безопасность и надежность технологии SD-печати для улучшения диагностики и лечения пациентов с травмами костей таза.
ЛИТЕРАТУРА
Liaw C.Y., Guvendiren M. Current and emerging applications of 3D printing in medicine. Biofabrication. 2017;9(2):024102. doi: 10.1088/1758-5090/aa7279.
Иванов П.А., Заднепровский Н.Н., Неведров А.В., Каленский В.О. Внутрикостная фиксация переломов лонной кости штифтом с блокированием: первый клинический опыт. Травматология и ортопедия России. 2018;24(4):111-120. doi: 10.21823/2311-2905-2018-24-4-111-120.
Ivanov P.A., Zadneprovsky N.N., Nevedrov A.V., Kalensky V.O. Pubic Rami Fractures Fixation by Interlocking Intramedullary Nail: First Clinical Experience. Traumatology and Orthopedics of Russia. 2018;24(4):111-120. (In Russian). doi: 10.21823/2311-2905-2018-24-4-111-120.
Загородний Н.В., Солод Э.И., Кукса Д.Н., Абдулхабиров М.А., Петровский Р.А., Аганесов Н.А. и др. Мини-инвазивная фиксация лонного сочленения с применением транспедикулярной системы при множественных повреждениях таза. Вестник национального медико-хирургического Центра им. Н.И. Пирогова. 2022;17(2):119-124. doi: 10.25881/20728255_2022_17_2_119.
Zagorodny N.V., Solod E.I., Kuksa D.N., Abdulhabirov M.A., Petrovsky R.A., Aganesov N.A. et al. Minimally invasive fixation of the pubic symphysis using a transpedicular system in case of polyfocal pelvic injury. Bulletin of Pirogov National Medical and Surgical Center. 2022;17(2):119-124. (In Russian). doi: 10.25881/20728255_2022_17_2_119.
Егиазарян К.А., Старчик Д.А., Гордиенко Д.И., Лыско А.М. Современное состояние проблемы лечения пациентов с продолжающимся внутритазовым кровотечением вследствие нестабильных повреждений тазового кольца. Политравма. 2019;(1):75-81. Egiazaryan K.A., Starchik D.A., Gordienko D.I., Lysko A.M. Modern condition of problem of treatment of patients with ongoing intrapelvic bleeding after unstable pelvic ring injuries. Polytrauma. 2019;(1):75-81. (In Russian).
Dienstknecht T., Berner A., Lenich A., Nerlich M., Fuechtmeier B. A minimally invasive stabilizing system for dorsal pelvic ring injuries. Clin Orthop Relat Res. 2011;469(11):3209-3217. doi: 10.1007/s11999-011-1922-y.
Zhu L., Wang L., Shen D., Ye T.W., Zhao L.Y., Chen A.M. Treatment of pelvic fractures through a less invasive ilioinguinal approach combined with a minimally invasive posterior approach. BMC Musculoskelet Disord. 2015;16:167. doi: 10.1186/s12891-015-0635-x.
Templeman D., Schmidt A., Freese J., Weisman I. Proximity of iliosacral screws to neurovascular structures after internal fixation. Clin Orthop Relat Res. 1996;(329): 194-198. doi: 10.1097/00003086-199608000-00023.
Starr A.J., Nakatani T., Reinert C.M., Cederberg K. Superior pubic ramus fractures fixed with percutaneous screws: what predicts fixation failure? J Orthop Trauma. 2008;22(2):81-87. doi: 10.1097/BOT.0b013e318162ab6e.
Mostert
C.O.B., Timmer R.A., Krijnen P., Meylearts S.A.G., Schipper I.B. Rates and risk
factors of complications associated with operative treatment of pelvic
fractures. Eur J Orthop Surg Traumatol. 2023;33(5):1973-1980.
Kanakaris N.K., Giannoudis P.V. Pubic Rami fractures. In: Trauma and orthopaedic classifications: a comprehensive overview. London: Springer-Verlag; 2015. р. 275-276.
Denis F., Davis S., Comfort T. Sacral fractures: an important problem. Retrospective analysis of 236 cases. Clin Orthop Relat Res. 1988;227:67-81.
Fedorov A.,
Beichel R., Kalpathy-Cramer J., Finet J., Fillion-Robin J.C., Pujol S. et al.
3D Slicer as an Image Computing Platform for the Ouantitative Imaging Network. Magnetic
Resonance Imaging. 2012; 30(9):1323-1341.
Roberts C.S., Pape H.C., Jones A.L., Malkani A.L., Rodriguez J.L., Giannoudis P.V. Damage control orthopaedics: evolving concepts in the treatment of patients who have sustained orthopaedic trauma. Instr Course Lect. 2005;54:447-462.
Routt M.L. Jr., Kregor PJ., Simonian P.T., Mayo K.A. Early results of percutaneous iliosacral screws placed with the patient in the supine position. J Orthop Trauma. 1995;9:207-214. doi: 10.1097/00005131-199506000-00005.
Giannoudis P.V., Tzioupis C.C., Pape H.C., Roberts C.S. Percutaneous fixation of the pelvic ring: an update. J Bone Joint Surg Br. 2007;89(2):145-154. doi: 10.1302/0301-620X.89B2.18551.
Starr A.J., Walter J.C., Harris R.W., Reinert C.M., Jones A.L. Percutaneous screw fixation of fractures of the iliac wing and fracture-dislocations of the sacro-iliac joint (OTA Types 61-B2.2 and 61-B2.3, or Young-Burgess “lateral compression type IF’pelvic fractures). J Orthop Trauma. 2002;16:116-123. doi: 10.1097/00005131-200202000-00008.
Barei D.P.,
Shafer B.L., Beingessner D.M., Gardner M.J., Nork S.E., Routt M.C. The impact
of open reduction internal fixation on acute pain management in unstable pelvic
ring injuries. J Trauma. 2010;68:949-953.
Hinsche A.F., Giannoudis P.V., Smith R.M. Fluoroscopy- based multiplanar image guidance for insertion of sacroiliac screws. Clin Orthop Relat Res. 2002;(395): 135-144. doi: 10.1097/00003086-200202000-00014.
Zwingmann J., Konrad G., Mehlhorn A.T., Sudkamp N.P., Oberst M. Percutaneous iliosacral screw insertion: malpositioning and revision rate of screws with regards to application technique (navigated vs. conventional). J Trauma. 2010;69(6):1501-1506. doi: 10.1097/TA.0b013e3181d862db.
Konrad G., Zwingmann J., Kotter E., Sudkamp N., Oberst M. Variability of the screw position after 3D-navigated sacroiliac screw fixation. Influence of the surgeon’s experience with the navigation technique. Unfallchirurg. 2010;113(1):29-35. (In German).
Balling H. 3D image-guided surgery for fragility fractures of the sacrum. Oper Orthop Traumatol. 2019;31(6):491- 502. (In English). doi: 10.1007/s00064-019-00629-8.
Liu F., Yu J., Yang H., Cai L., Chen L., Lei O. et al. Iliosacral screw fixation of pelvic ring disruption with tridimensional patient-specific template guidance. Orthop Traumatol Surg Res. 2022;108(2):103210.
Chepelev L., Wake N., Ryan J., Althobaity W., Gupta A., Arribas E. et al. Radiological Society of North America (RSNA) 3D printing Special Interest Group (SIG): guidelines for medical 3D printing and appropriateness for clinical scenarios. 3D Print Med. 2018;4(1):11. doi: 10.1186/s41205-018-0030-y.
Skelley N.W., Smith M.J., Ma R., Cook J.L. Threedimensional Printing Technology in Orthopaedics. J Am Acad Orthop Surg. 2019;27(24):918-925. doi: 10.5435/JAAOS-D-18-00746.
Cai L., Zhang Y., Chen C., Lou Y., Guo X., Wang J. 3D printing-based minimally invasive cannulated screw treatment of unstable pelvic fracture. J Orthop Surg Res. 2018;13(1):71. doi: 10.1186/s13018-018-0778-1.
Horas K., Hoffmann R., Faulenbach M., Heinz S.M., Langheinrich A., Schweigkofler U. Advances in the Preoperative Planning of Revision Trauma Surgery Using 3D Printing Technology. J Orthop Trauma. 2020;34(5):e181-e186. doi: 10.1097/B0T.0000000000001708.
Matta J.M., Saucedo T. Internal fixation of pelvic ring fractures. Clin Orthop Relat Res. 1989;(242):83-97.
Wu S., Chen J., Yang Y., Chen W., Luo R., Fang Y. Minimally invasive internal fixation for unstable pelvic ring fractures: a retrospective study of 27 cases. J Orthop Surg Res. 2021;16(1):350. doi: 10.1186/s13018-021-02387-5.
Сведения об авторах
И Донченко Сергей Викторович — канд. мед. наук Адрес: Россия, 117997, г. Москва, ул. Островитянова, д. 1
Егиазарян Карен Альбертович — д-р мед. наук, профессор
Прохоров Андрей Алексеевич
Шабунин Алексей Васильевич — д-р мед. наук, профессор, академик РАНРубцов Александр Дмитриевич
Теги: остеосинтез костей таза
234567 Начало активности (дата): 19.12.2025
234567 Кем создан (ID): 989
234567 Ключевые слова: мини-инвазивный остеосинтез костей таза, 3D-технологии, мини-инвазивная хирургия таза
12354567899
Похожие статьи
Реабилитация больных с повреждениями тазаРентген на дому 8 495 22 555 6 8
Эволюция походки после многоуровневых ортопедических операций, выполненных для коррекции ортопедических осложнений у детей дошкольного и младшего школьного возраста со спастической диплегией
Переломы пяточной кости
Опыт применения противошоковых канюлированных винтов при тяжёлых травмах таза


