• 8-495-22-555-6-8
  • 1@trauma.ru
  • Прайслист
  • Контакты
  • WhatsApp
  • Telegram
  • Дзен
  • YouTube
  • FAQ
  • Отзывы
Раскладка: Русская
МосРентген Центр
МосРентген Центр
Первая помощь при переломе шейки бедра
  • Услуги
    • МРТ 3 Тесла
    • Трехмерная компьютерная томография
    • Лицензирование рентгеновских кабинетов
  • Товары
    • Цифровой рентген
      • Аппараты для цифрового рентгена
      • Оцифровщики
      • Дигитайзеры
    • Аналоговый рентген
      • Рентгеновская пленка
      • Рентгеновские кассеты
      • Хим. реактивы
  • Статьи
    • Травматология
    • Рентгенология
  • Блог
  • МЕНЮ ЗАКРЫТЬ назад  
МосРентген Центр
 /  x2
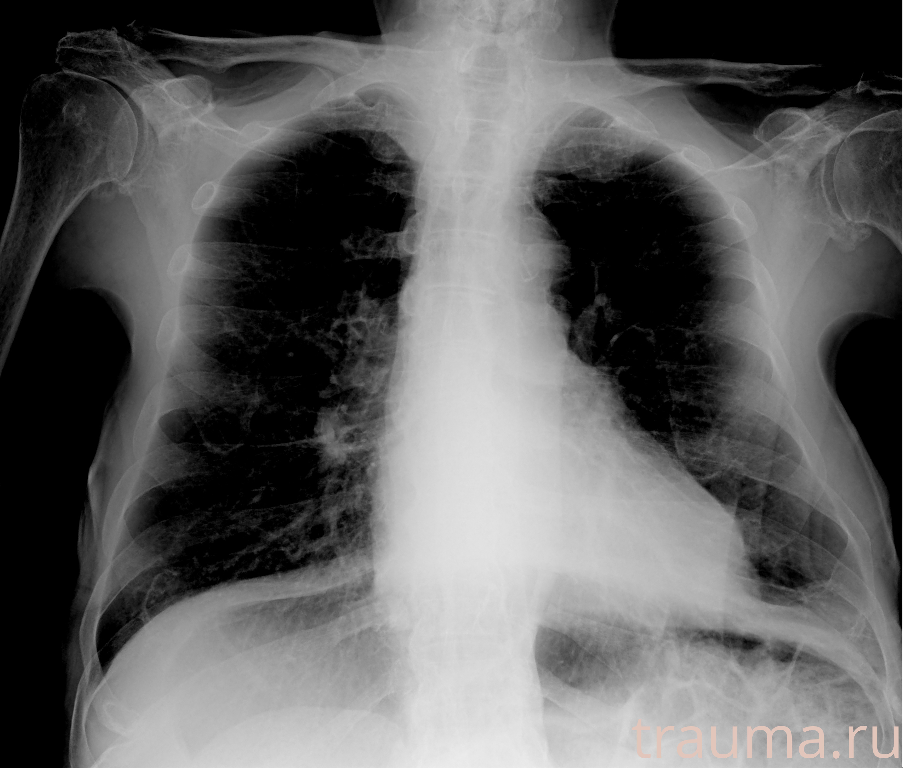
 /  Крюков

03.02.2026 12:08:01

Рентгенограммы

03.02.2026 12:08:01

Рентген на дому: по вашему адресу приезжает врач-рентгенолог, травматолог-ортопед с мобильным рентгеновским аппаратом, проводит диагностику травмы или заболевания, делает необходимые рентгенограммы, дает рекомендации по дальнейшему лечению. Получить качественные снимки в домашних условиях возможно благодаря уникальной методике, разработанной МосРентген Центром для института  Склифосовского
Рентген на дому: по вашему адресу приезжает врач-рентгенолог, травматолог-ортопед с мобильным рентгеновским аппаратом, проводит диагностику травмы или заболевания, делает необходимые рентгенограммы, дает рекомендации по дальнейшему лечению. Получить качественные снимки в домашних условиях возможно благодаря уникальной методике, разработанной МосРентген Центром для института  Склифосовского
Сравнить:
Яркость: 1   Контраст: 1   Инвертировать: 0 Увеличение: 1
Перетаскивайте мышь вверх/вниз для контраста, влево/право для яркости. Прокрутка колесом изменяет масштаб. Нажмите Сбросить для возврата к исходному изображению. При увеличении держите мышь в той области, которую хотите рассмотреть.
Купить
МосРентген Центр
03.02.2026 12:08:01
Купить МосРентген Центр
Популярные в разделе
03.02.2026 12:08:01
МосРентген Центр
03.02.2026 12:08:01
МосРентген Центр
03.02.2026 12:08:01
МосРентген Центр
03.02.2026 12:08:01
МосРентген Центр
Просматривали

МосРентген Центр | Цифровой рентген на дому
© 1999–2026. Сайт Александра Дидковского
Рейтинг@Mail.ru Яндекс.Метрика
  • 8-495-22-555-6-8
  • 1@trauma.ru
  • Прайслист
  • Контакты
  • WhatsApp
  • ЦИФРОВОЙ РЕНТГЕН НА ДОМУ
    8-495-22-555-6-8
    при переломе шейки бедра и пневмонии от компании МосРентген Центр - партнера Института имени Склифосовского
    подробно
  • РЕНТГЕН ПОД КЛЮЧ
    Лицензирование рентгеновских кабинетов
    подробно
  • Продажа цифрового рентгена
    Рентген дигитайзер AGFA CR12-X - оцифровщик рентгеновских снимков
    подробно