Случайная находка – олеоторакс
26.03.2026
Случайная находка – олеоторакс
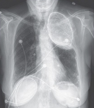
Женщина 86 лет, страдающая гипертонией, обратилась с жалобами на жгучую боль в грудной клетке и эпигастральной области. Из анамнеза - в 1950-х годах проходила лечение по поводу туберкулеза легких. На момент осмотра респираторной симптоматики не наблюдалось. После исключения острого коронарного синдрома было начато лечение по поводу гастроэзофагального рефлюкса, после чего состояние больной улучшилось.Рентгенограмма органов грудной клетки выявила тень высокой интенсивности в верхней части левого легкого. Данную аномалию дифференцировали как застарелую кальцифицированную эмпиему, гемоторакс или олеоторакс.
Учитывая лечение туберкулеза в анамнезе, наиболее вероятным диагнозом стал олеоторакс – способ лечения легочного туберкулеза, который применялся много лет назад и состоял в инстилляции стерильного масла в плевральную полость, в результате чего пораженное легкое сдавливалось. Обычно после лечения, которое могло длиться до 2 лет, масло аспирировали. Как бы то ни было, пациенты, которые не имели жалоб, иногда терялись из виду, и масло оставалось у них в плевральной полости, как и в случае с данной пациенткой.
Имелись сообщения о долгосрочных осложнениях, таких как суперинфекция и обструкция дыхательных путей, однако у данной пациентки не возникло ни осложнений, ни каких-либо симптомов, вызванных олеотораксом.


