01.12.2025
Магнитно-резонансная морфометрия головного мозга у детей с детальной оценкой височных долей
Постоянное совершенствование методов нейровизуализации и количественного анализа изображений способствует расширению наших знаний об анатомии головного мозга
Введение
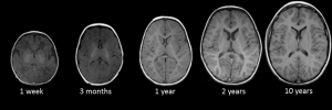
Развитие головного мозга - это динамичный процесс прогрессивных и регрессивных изменений, продолжающийся на протяжении всей жизни, ранние этапы которого являются критически важными для нормального функционирования и адаптации к окружающей среде в будущем. Патологические состояния, препятствующие таким процессам созревания, могут привести к задержке развития нервной системы во взрослом возрасте [1]. Исследования показывают, что характер изменений зависит от множества факторов, включая возраст и пол ребенка [2-5]. Процессы формирования нервной системы наиболее интенсивно происходят в течение первых 3 мес постнатального периода. К моменту достижения трехлетнего возраста завершается дифференцировка нейронов, характеризующаяся удлинением аксонов, их усиленной миелинизацией, а также увеличением количества и степени ветвления дендритов [6]. К восьми годам организация коры головного мозга соответствует коре взрослого человека [7]. Перекрестные исследования, изучающие развитие мозга у детей и подростков, демонстрируют увеличение объема белого вещества и уменьшение объема серого вещества в более позднем детском и раннем подростковом возрасте [8-10]. В зарубежной литературе описывается U-образная траектория изменения объема серого вещества коры головного мозга у детей, характеризующаяся увеличением в раннем детстве с последующим уменьшением в пубертатный период: максимально размер достигается к 16,5 годам у мальчиков и к 16,7 годам у девочек [8, 11-13]. Особенностью процесса развития головного мозга является значительное увеличение площади коры при относительно незначительном увеличении ее толщины [14]. Объем белого вещества увеличивается на протяжении всего детского и подросткового возраста с максимальными размерами в возрасте 10,5 лет у девочек и 14,5 лет у мальчиков [3, 15]. Максимальный объем мозга достигается в возрасте около 10,5 лет у девочек и 14,5 лет у мальчиков [3]. У взрослых мужчин объем мозга примерно на 7-10% больше, чем у женщин [2-4].
Кора височных долей, особенно их задние отделы, является важным гетеромодальным ассоциативным участком мозга, интегрирующим различные виды информации: зрительную, слуховую, тактильную. Верхняя височная борозда и прилегающие области участвуют в интеграции аудиовизуальной информации. Средняя и нижняя височные извилины вовлечены в процессы зрительного восприятия и распознавания объектов. Гиппокамп, расположенный в медиальной части височной доли, играет ключевую роль в консолидации памяти [16-18]. Гиппокампы претерпевают резкий рост в период до 2 лет, а затем продолжают медленно увеличиваться в объеме даже после начала полового созревания [19].
Цель исследования: изучение возрастных и половых особенностей развития височных долей головного мозга у детей с использованием метода МР-морфометрии.
В настоящее время в медицине наблюдается тенденция к цифровизации и автоматизации процессов диагностики и лечения, и одной из актуальных научных задач является формирование многомерных баз данных, на основе которых создаются автоматические алгоритмы, способные их обрабатывать и интерпретировать. Магнитно-резонансная морфометрия зарекомендовала себя как эффективный метод количественной оценки структур головного мозга и применяется для измерения объема и площади серого и белого вещества, а также толщины коры различных отде
лов больших полушарий [20-22]. В этом исследовании представлены результаты морфометрии, которые отражают влияние возраста и пола на развитие височных долей головного мозга у детей. Понимание траектории возрастных морфометрических изменений при нормальном развитии головного мозга, а также половых различий важно при интерпретации методов нейровизуализации.
Материал и методы
Исследование было проведено на базе ФГБУ “Национальный медицинский исследовательский центр им. В.А. Алмазова” Минздрава России. Исследование включало ретроспективный и проспективный этапы обработки информации о пациентах в период с сентября 2016 г. по май 2024 г.
В исследование вошло 49 детей (30 мальчиков, 19 девочек) в возрасте от 6 мес до 18 лет, не имеющих видимых на МР-томограммах структурных изменений головного мозга. У участников не было выявлено неврологических или психических расстройств, хронических заболеваний, нарушений обучаемости или приема лекарств, которые повлияли бы на работу нервной системы. Средний возраст участников составил 7,94 ± 5,08 года. Распределение по возрасту представлено следующим образом: от рождения до 1 года - 4 человека,
год - 3, 2 года - 4, 3 года - 3, 4 года - 1,5 лет - 1, 6 лет - 1,7 лет - 4, 8 лет - 5, 9 лет - 2, 10 лет - 4,
лет - 5, 12 лет - 1, 13 лет - 3, 14 лет - 2, 15 лет - 3, 16 лет - 2, 17 лет - 1 человек. Распределение по полу и возрастным интервалам представлено в табл. 1. Исследование проводилось с письменного согласия родителей пациентов. Анестезиологическое обеспечение применялось в случаях невозможности проведения исследования без анестезии.
Всем обследуемым была проведена магнитнорезонансная томография головного мозга на томографах с индукцией магнитного поля 1,5 и 3 Тл по стандартизированному протоколу исследования головного мозга с применением стандартных импульсных последовательностей в трех взаимно перпендикулярных плоскостях (Т1-, Т2-, TIRM), а также 3D Т1- MPRAGE (Magnetization Prepared Rapid Acquisition Gradient Echo) - Т1-импульсная последовательность градиентного эха с ускоренным сбором данных со следующими параметрами: время повторения (TR) 2000 мс, время эхо (ТЕ) 4,38 мс, угол отклонения (FA) 10°, FOV 250 мм, матрица 256 х 256, толщина среза 1 мм, количество срезов 160, время сканирования 11 мин.
Для анализа структур головного мозга были использованы различные инструменты, доступные в программном обеспечении FreeSurfer версии 7.3.2 [23].
В автоматическом режиме была проведена МР-морфометрия с определением морфометрических показателей (объема в мм3, площади в мм2 и толщины в мм) для каждой структуры височных долей, представленной на рис. 1. Постпроцессинговая обработка состояла из нескольких последовательных этапов. Подготовительный этап включал линейное преобразование Талайраха, нормализацию интенсивности, удаление черепа и внемозговых тканей с помощью поверхностной деформации, отделение мозжечка и ствола мозга от головного мозга и разделение левого и правого полушарий [23]. Для определения внутренних (серо-белых) и пиальных (серо-ликворных) поверхностей коры применялся алгоритм деформируемой поверхности [24].
Процесс обработки также включал в себя автоматизированную топологическую коррекцию, сферизацию поверхности и регистрацию в сферическом атласе [25]. Для парцелляции коры головного мозга применялся встроенный атлас (атлас Desikan-Killiany), разделивший кортикальную поверхность на области в каждом полушарии [26]. Стандартный атлас ASEG (Automatically Segmented Brain Volume) обеспечил автоматическую маркировку подкорковых структур, включая гиппокамп и миндалевидное тело [24]. Анализ объема (в мм3) субкортикальных структур височных долей проводился с использованием схемы парцелляции HBT (Head, Body, Tail) [27].
Обследуемые были разделены на 2 возрастные группы: от 0 до 7 лет (n = 17) и от 7 до 18 лет (n = 32). Средний возраст детей первой группы составил 2,19 ± 1,7 года, второй группы - 11,1 ± 3,0 года. Выбор конкретных возрастных интервалов обусловлен необходимостью выявить ключевые возрастные изменения морфометрических показателей структур височных долей, соответствующих критическим периодам созревания центральной нервной системы. Период от рождения до 7 лет охватывает ранние этапы нейрогенеза, характеризующиеся быстрым ростом объема мозга, активной миелинизацией, созреванием нейронных связей и высокой пластичностью височных структур, участвующих в формировании речевых и сенсомоторных функций. Период от 7 до 18 лет соответствует младшему школьному и подростковому возрасту, который сопровождается активным формированием навыков чтения и письма, развитием абстрактного мышления и совершенствованием когнитивных и речевых функций.
Статистический анализ
Статистический анализ проводился с использованием программного обеспечения Jamovi 2.3.28 и Microsoft Excel 2007 [28, 29]. Для анализа полученных результатов и выявления статистически значимых различий между группами были применены соответствующие методы статистического анализа. Количественные данные были описаны с использованием среднего значения и стандартного отклонения. При сравнении средних значений двух возрастных групп для количественных переменных использовался непараметрический U-критерий Манна-Уитни, что позволило учесть возможные выбросы и асимметрию в данных.
Графическое изображение полученных результатов сегментации структур головного мозга с помощью программного пакета FreeSurfer показано на рис. 2 и рис. 4.
Был проведен анализ линейной регрессии и определено процентное изменение средних значений для оценки трендов в изменении морфометрических показателей (объема в мм3, площади в мм2 и толщины в мм) структур височных долей. Для вычисления процентного изменения средних значений использовали формулу:
ДР = ((Mend - Mstart) / Mstart) х 100 % ,
где ДР - процентное изменение; Mend - конечное среднее значение; Mstart - начальное среднее значение.
Также проведен анализ изменения средних значений объема (в мм3) гиппокампа, его субполей и миндалевидного тела с обеих сторон. Для оценки асимметрии объема рассчитывался индекс асимметрии по следующей формуле:
AI = (MR - ML) / ((MR + ML) / 2),
где AI - индекс асимметрии; MR - среднее значение параметра справа; ML - среднее значение параметра слева.
Для систематизации данных и последующего сравнительного анализа мы определили процентные диапазоны для различных уровней выраженности изменений морфометрических показателей структур височных долей. Изменения до 10% классифицированы как маловыраженные, изменения от 10 до 30% - как выраженные, а изменения свыше 30% - как значительные. Симметричность оценивалась по следующим критериям: разница морфометрических показателей контралатеральных структур до 10% считалась симметричной, в то время как разница более 10% указывала на асимметрию.
Результаты исследования
При анализе полученных с помощью МР- морфометрии данных двух исследуемых групп были обнаружены изменения в структурах височных долей головного мозга.
Общие изменения структур височных долей. Процентное изменение средних значений объема (мм3), площади поверхности (мм2) и толщины структур (мм) височных долей при сравнении исследуемых возрастных групп представлено в табл. 2, на рис. 2 и 3. Сегментация субполей гиппокампа и миндалевидного тела выполнялась с помощью отдельного анализа объемов этих структур. Процентное изменение средних значений объема (мм3) субполей гиппокампа и миндалевидного тела при сравнении исследуемых возрастных групп представлено в табл. 3 и на рис. 4.
Верхняя височная извилина. В ходе исследования в рассматриваемых возрастных группах (от 0 до 7 лет и от 7 до 18 лет) было выявлено значительное симметричное увеличение объема (правая на 29,70%, левая на 35,06%) и толщины (правая на 13,81%, левая на 17,25%) верхних височных извилин, что подтверждено статистической значимостью различий по критерию Манна- Уитни (р < 0,05). Выраженное симметричное увеличение площади поверхности верхней височной извилины отмечалось как справа (на 14,04%), так и слева (на 14,49%), однако статистически значимые различия по площади левой верхней височной извилины не были выявлены (р > 0,05).
Средняя височная извилина. Морфометрические показатели средней височной извилины демонстрируют выраженное увеличение в обоих полушариях. Было выявлено значительное симметричное увеличение объема (правая на 35,47%, левая на 42,66%), выраженное симметричное увеличение площади поверхности (правая на 18,35%, левая на 20,22%) и толщины (правая на 14,61%, левая на 19,35%) средних височных извилин.
Нижняя височная извилина. Исследование выявило выраженное симметричное увеличение объема (правая на 21,61%, левая на 31,38%) и площади поверхности (правая на 22,92%, левая на 22,55%) нижних височных извилин в обоих полушариях. Увеличение толщины нижних височных извилин (правая на 6,14%, левая на 8,00%) отмечалось в обеих гемисферах, однако статистически значимых различий по этому параметру выявлено не было (р > 0,05).
Поперечная височная извилина. Траектории изменений морфометрических показателей поперечной височной извилины указывают на отличия в процессах развития мозга, однако носят симметричный характер. С помощью критерия Манна-Уитни не выявлено достоверной значимости изменения объема и площади правой и левой поперечных височных извилин, а также толщины левой поперечной височной извилины. При этом толщина правой поперечной височной извилины незначительно уменьшилась (на 6,03%), что было статистически значимо (p < 0,05).
Парагиппокампальная извилина. В ходе исследования было выявлено значительное различие в развитии правой парагиппокампальной извилины по сравнению с левой, что проявляется в асимметричном увеличении объема и площади поверхности в рассматриваемых возрастных группах. Показатели объема и площади поверхности демонстрируют значительное увеличение правой парагиппокампальной извилины (на 40,56 и 36,40% соответственно), тогда как увеличение левой из
вилины менее выражено (на 16,47 и 16,58% соответственно). Однако с помощью критерия Манна- Уитни не выявлено статистически значимых различий в толщине правой и левой парагиппокампальных извилин, а также в объеме левой парагиппокампальной извилины (p > 0,05).
Веретенообразная извилина. Было установлено, что морфометрические показатели объема, площади и толщины правой веретенообразной извилины превосходят аналогичные значения левой веретенообразной извилины в анализируемых возрастных группах, и развитие этих структур носит асимметричный характер. С помощью критерия Манна-Уитни не выявлено достоверной значимости изменения объема и площади правой и левой веретенообразных извилин, а также толщины левой веретенообразной извилины (p > 0,05).
При этом толщина правой веретенообразной извилины незначительно увеличилась (на 7,09%), что было статистически значимо (p < 0,05).
Энторинальная кора. Изменения площади и толщины правой и левой энторинальной коры, а также объема левой энторинальной коры не достигли статистической значимости (p > 0,05). Объем правой энторинальной коры увеличился незначительно (на 1,71%), при этом это изменение оказалось статистически значимым (p < 0,05).
Гиппокамп и миндалевидное тело. Объемы гиппокампа, его субполей и миндалевидного тела в правом и левом полушариях выраженно симметрично увеличиваются. Вместе с тем не выявлено ведущего субполя гиппокампа, за счет которого бы увеличивался гиппокамп. При определении индекса асимметрии гиппокампа и его субполей наибольшая асимметрия в младшем возрасте наблюдается в области головки гиппокампа (0,06), а в старшем возрасте - в области хвоста (0,042). Миндалевидное тело также демонстрирует асимметрию, которая более выражена в раннем возрасте (в младшем возрасте 0,056, в старшем возрасте 0,024). Показатели индекса асимметрии гиппокампа, его субполей и миндалевидного тела представлены на рис. 5.
Половые различия
Сравнительный анализ гендерных различий в объеме, площади поверхности и толщине коры височных долей с учетом процентного соотношения этих морфометрических показателей к общему внутричерепному объему не выявил статистически значимых различий между возрастными группами 0-7 и 7-18 лет (p > 0,05). Аналогично статистически значимых гендерных различий в объемах субполей гиппокампа и миндалевидного тела между указанными группами также не обнаружено. Несмотря на это, сохранялась тенденция к преобладанию морфометрических показателей височной доли у мальчиков по сравнению с девочками.
В возрастной группе от 0 до 7 лет выявлены отдельные статистически значимые гендерные различия: толщина левой поперечной височной извилины была выше у мальчиков (p = 0,015). Кроме того, площадь и объем левой веретенообразной извилины, а также площадь и объем левой энторинальной коры были значительно больше у мальчиков (p от 0,003 до 0,048). Наблюдалась также тенденция к большему объему правой средней височной извилины и площади правой веретенообразной извилины у мальчиков, хотя эти различия не достигли статистической значимости (p = 0,062 и p = 0,098 соответственно).
В возрастной группе от 7 до 18 лет гендерные различия проявлялись более выраженно: у мальчиков отмечено статистически значимое увеличение площади и объема правой и левой средней височной извилины, а также площади и объема веретенообразной извилины с обеих сторон (p от 0,004 до 0,041). Также площадь левой энто- ринальной коры была значительно выше у мальчиков (p = 0,011). При этом наблюдалась тенденция к увеличению площади правой верхней височной извилины и толщины левой поперечной височной извилины у мальчиков, хотя эти различия не достигли статистической значимости (p = 0,059 и p = 0,084 соответственно).
Обсуждение
Основываясь на последних достижениях методов нейровизуализации, мы попытались улучшить представление об особенностях развития височных долей у здоровых детей, сфокусировавшись на прицельном изучении ее структур. В нашем исследовании выявлены различные траектории изменения морфометрических показателей корковых и подкорковых структур, изменения в которых подтверждаются зарубежными исследованиями [12, 30, 31]. Научная новизна нашего исследования заключается в комплексной оценке морфометрических параметров височных долей у неврологически здоровых детей, а также в выявлении возрастных различий в критические периоды созревания нервной системы.
Использование автоматизированного анализа изображений позволило обеспечить высокую точность и воспроизводимость полученных данных.
На основании разделения исследуемых на 2 возрастные группы (0-7 и 7-18 лет), соответствующие критическим периодам созревания центральной нервной системы, нами выявлены характерные изменения в морфометрических параметрах структур височных долей. Темп развития нервной системы особенно высокий в течение первых 3 мес жизни.
Дифференцировка нервных клеток достигается к 3 годам, а к 8 годам кора головного мозга по строению похожа на кору взрослого человека.
Первый период, от 0 до 7 лет, характеризуется интенсивным формированием нейронных связей и структурной организацией коры головного мозга. Во втором рассматриваемом периоде, 7-18 лет, наблюдаются значительные изменения в нейроанатомии и функциональности мозга. Этот возрастной интервал характеризуется активным обучением и социализацией, что также оказывает влияние на морфометрические показатели. Сопоставление данных двух групп позволило определить изменения в структурах височных долей, связанных с возрастным развитием и влиянием окружающей среды.
Полученные нами результаты согласуются с данными предыдущих исследований, демонстрирующих асимметрию полушарий головного мозга. В частности, мы наблюдали большую величину правой височной доли и правого гиппокампа по сравнению со структурами с контралатеральной стороны [11]. Быстрый рост гиппокампа в раннем младенчестве может рассматриваться как потенциальная уязвимость к воздействию окружающей среды в этот период. Симметричное увеличение объемов гиппокампа и его субполей в обоих полушариях указывает на сбалансированное развитие этих структур, а отсутствие ведущего субполя в увеличении объема гиппокампа свидетельствует о равномерном росте всех его компонентов. Полученные в ходе исследования результаты согласуются с существующими литературными данными: равномерное увеличение всех субполей гиппокампа может свидетельствовать о пропорциональном развитии различных функций, связанных с памятью и пространственной ориентацией [32, 33]. Наше исследование показало соразмерное увеличение объема миндалевидного тела и гиппокампа, что свидетельствует о взаимосвязанном развитии этих лимбических структур. Полученные данные могут быть полезны для выявления аномалий гиппокампа и височных долей у детей. Кроме того, мы обнаружили, что объем головного мозга у мальчиков больше, чем у девочек, что соответствует результатам других исследований [34].
Е.Г. Потемкина и соавт. в своем обзоре отмечают значимость МР-морфометрии в исследовании нейродегенеративных заболеваний, в частности эпилепсии. Полученные нами результаты согласуются с этими данными, что создает основу для дальнейших исследований в этой области [35].
Основное ограничение количества участников в подобных исследованиях обусловлено рядом методологических проблем: малым количеством исследований, посвященных детям без неврологических нарушений, сложностями в получении согласия родителей на участие их детей, а также проблемами обеспечения неподвижности ребенка во время процедуры для получения качественных изображений без артефактов движения. Большая вариативность структурной конфигурации головного мозга создает значительные трудности для создания популяционных атласов. Хотя данные результаты получены в ходе поперечного исследования и нуждаются в подтверждении в ходе продольного исследования, результаты показывают, что существуют возрастные и половые различия в процессах созревания мозга. Некоторые ученые в своих работах определили этническую принадлежность как один из факторов, оказывающих влияние на морфометрические результаты [36]. Дальнейшие исследования, направленные на изучение этих аспектов, могут помочь в понимании развития головного мозга и диагностике неврологических расстройств у детей.
Заключение
МР-морфометрия зарекомендовала себя как перспективный метод для изучения головного мозга у детей. На основе проведенного исследования с использованием программного обеспечения FreeSurfer обнаружены специфические изменения в структурах височных долей, связанные с возрастом и полом. В целом морфометрические показатели структур височных долей были больше у мальчиков, чем у девочек. Результаты подчеркивают важность учета возрастных и гендерных особенностей при оценке развития мозга у детей и открывают новые возможности для ранней диагностики и исследования нейродегенеративных процессов в детском возрасте. Для изучения половых различий в продолжение исследования планируется значительно увеличить выборку участников и осуществить комплексный анализ данных, охватывающий несколько возрастных групп.
Список литературы
Bartzokis G., Beckson M., Lu P.H. et al. Age-related changes in frontal and temporal lobe volumes in men: a magnetic resonance imaging study. Arch. Gen. Psychiatry. 2001; 58 (5): 461-465.
Giedd J.N., Castellanos F.X., Rajapakse J.C. et al. Sexual dimorphism of the developing human brain. Prog. Neuropsychopharmacol. Biol. Psychiatry. 1997; 21 (8): 1185-1201.
Lenroot R.K., Gogtay N., Greenstein D.K. et al. Sexual dimorphism of brain developmental trajectories during childhood and adolescence. Neuroimage. 2007; 36 (4): 1065-1073.
Sowell E.R., Trauner D.A., Gamst A., Jernigan T.L. Development of cortical and subcortical brain structures in childhood and adolescence: a structural MRI study. Dev. Med. Child. Neurol. 2002; 44 (1): 4-16.
Wilke M., Schmithorst V.J., Holland S.K. Assessment of spatial normalization of whole-brain magnetic resonance images in children. Hum. Brain. Mapp. 2002; 17 (1): 48-60.
Мамажонов З.А. Анатомо-топографические особенности височной доли мозга в постнатальном онтогенезе. Экономика и социум. 2020; 73 (6): 867-872. Mamajonov Z.A. Anatomical and topographic features of the temporal lobe of the brain in postnatal ontogenesis. Ekonomika i Socium. 2020; 73 (6): 867-872. (In Russian)
Воронова Н.В., Климова Н.М., Менджерицкий А.М. Анатомия центральной нервной системы: Учебное пособие для студентов вузов, обучающихся по направлению и специальности “Психология”. М.: Аспект Пресс, 2005. 128 с.
Voronova N.V., Klimova N.M., Mendgeritsky A.M. Anatomy of the Central Nervous System: A Textbook for University Students Specializing in Psychology. M.: Aspect Press, 2005. 128 p. (In Russian)
Giedd J.N., Blumenthal J., Jeffries N.O. et al. Brain development during childhood and adolescence: a longitudinal MRI study. Nat. Neurosci. 1999; 2 (10): 861-863.
Jernigan T.L., Tallal P Late childhood changes in brain morphology observable with MRI. Dev. Med. Child. Neurol. 1990; 32 (5): 379-385.
Pfefferbaum A., Mathalon D.H., Sullivan E.V. et al. A quantitative magnetic resonance imaging study of changes in brain morphology from infancy to late adulthood. Arch. Neurol. 1994; 51 (9): 874-887. https:// doi.org/10.1001/archneur.1994.00540210046012
Tanaka C., Matsui M., Uematsu A. et al. Developmental trajectories of the fronto-temporal lobes from infancy to early adulthood in healthy individuals. Dev. Neurosci. 2012; 34 (6): 477-487.
Vijayakumar N., Allen N.B., Youssef G. et al. Brain development during adolescence: A mixed-longitudinal investigation of cortical thickness, surface area, and volume. Hum. Brain. Mapp. 2016; 37 (6): 2027-2038.
Sowell E.R., Thompson P.M., Holmes C.J. et al. Localizing age-related changes in brain structure between childhood and adolescence using statistical parametric mapping. Neuroimage. 1999; 9 (6, Pt 1): 587-597.
Rakic P, Ayoub A.E., Breunig J.J., Dominguez M.H. Decision by division: making cortical maps. Trends Neurosci. 2009; 32 (5): 291-301.
Mills K.L., Goddings A.L., Herting M.M. et al. Structural brain development between childhood and adulthood: Convergence across four longitudinal samples. Neuroimage. 2016; 141: 273-281.
Gogtay N., Giedd J.N., Lusk L. et al. Dynamic mapping of human cortical development during childhood through early adulthood. Proc. Natl. Acad. Sci. USA. 2004; 101 (21): 8174-8179.
Martin A., Chao L.L. Semantic memory and the brain: structure and processes. Curr. Opin. Neurobiol. 2001; 11 (2): 194-201.
Calvert G.A. Crossmodal processing in the human brain: insights from functional neuroimaging studies. Cereb.Cortex. 2001; 11 (12): 1110-1123
Utsunomiya H., Takano K., Okazaki M., Mitsudome A. Development of the temporal lobe in infants and children: analysis by MR-based volumetry. Am. J. Neuroradiol. 1999; 20 (4): 717-723.
Backhausen L.L., Herting M.M., Tamnes C.K., Vetter N.C. Best Practices in Structural Neuroimaging of Neurodevelopmental Disorders. Neuropsychol. Rev. 2022; 32 (2): 400-418.
Fjell A.M., Walhovd K.B. Structural brain changes in aging: courses, causes and cognitive consequences. Rev. Neurosci. 2010; 21 (3): 187-221.
Heinen R., Bouvy W.H., Mendrik A.M. et al. Robustness of Automated Methods for Brain Volume Measurements across Different MRI Field Strengths. PLoS One. 2016; 11 (10): e0165719
Fischl B. FreeSurfer. Neuroimage. 2012; 62 (2): 774-781.
Fischl B., Salat D.H., Busa E. et al. Whole brain segmentation: automated labeling of neuroanatomical structures in the human brain. Neuron. 2002; 33 (3): 341355.
Fischl B., Sereno M.I., Dale A.M. Cortical surface-based analysis. II: Inflation, flattening, and a surface-based coordinate system. Neuroimage. 1999; 9 (2): 195-207.
Klein A., Tourville J. 101 Labeled Brain Images and a Consistent Human Cortical Labeling Protocol. Front. Neurosci. 2012; 6.
Iglesias J.E., Augustinack J.C., Nguyen K. et al. A computational atlas of the hippocampal formation using ex vivo, ultra-high resolution MRI: Application to adaptive segmentation of in vivo MRI. Neuroimage. 2015; 115: 117137.
The jamovi project. jamovi. Version 2.5 [Computer Software] — [cited 2025 Jan 25].
Microsoft Corporation. Microsoft Excel. Version 16.88 [Computer Software]. — [cited 2025 Jan 25].
Herting M.M., Johnson C., Mills K.L. et al. Development of subcortical volumes across adolescence in males and females: A multisample study of longitudinal changes. Neuroimage. 2018; 172: 194-205.
Tamnes C.K., Herting M.M., Goddings A.L. et al. Development of the Cerebral Cortex across Adolescence: A Multisample Study of Inter-Related Longitudinal Changes in Cortical Volume, Surface Area, and Thickness. J. Neurosci. 2017; 37 (12): 3402-3412.
Ананьева Н.И., Андреев Е.В., Саломатина Т.А. и др. МР-морфометрия субполей и субрегионов гиппокампа в норме и при ряде психических заболеваний. Лучевая диагностика и терапия. 2019; 2: 50-58.
Anand K.S., Dhikav V. Hippocampus in health and disease: An overview. Ann. Indian Acad. Neurol. 2012; 15 (4): 239-246.
Brain Development Cooperative Group. Total and regional brain volumes in a population-based normative sample from 4 to 18 years: the NIH MRI Study of Normal Brain Development. Cereb. Cortex. 2012; 22 (1): 1-12.
Потемкина Е.Г., Саломатина Т.А., Андреев Е.В. и др. Применение МР-морфометрии в эпилептологии: достижения и перспективы. Вопросы нейрохирургии им. Н.Н. Бурденко. 2023; 87 (3): 113-119.
Dong H.M., Castellanos F.X., Yang N. et al. Charting brain growth in tandem with brain templates at school age. Sci. Bull. (Beijing). 2020; 65 (22): 1924-1934.
Авторы:
Семибратов Николай Николаевич - врач-рентгенолог отделения амбулаторного лечения с дневным стационаром в составе радиотерапевтического отделения ГБУЗ “Санкт-Петербургский клинический научно-практический центр специализированных видов медицинской помощи (онкологический) имени Н.П. Напалкова”, Санкт-Петербург.
Фокин Владимир Александрович - доктор мед. наук, профессор кафедры лучевой диагностики и медицинской визуализации с клиникой, заведующий отделом лучевой диагностики, заведующий НИЛ магнитно-резонансной томографии ФГБУ “Национальный медицинский исследовательский центр им. В.А. Алмазова” Минздрава России, Санкт-Петербург.
Труфанов Геннадий Евгеньевич - доктор мед. наук, профессор, заведующий кафедрой лучевой диагностики и медицинской визуализации с клиникой, заведующий НИО лучевой диагностики ФГБУ “Национальный медицинский исследовательский центр им. В.А. Алмазова” Минздрава России, Санкт-Петербург
Ефимцев Александр Юрьевич - доктор мед. наук, профессор кафедры лучевой диагностики и медицинской визуализации с клиникой, ведущий научный сотрудник НИЛ лучевой визуализации ФГБУ “Национальный медицинский исследовательский центр им. В.А. Алмазова” Минздрава России, Санкт-Петербург.
Абрамов Константин Борисович - канд. мед. наук, заместитель главного врача, врач-нейрохирург Российского научноисследовательского нейрохирургического института им. проф. А.Л. Поленова - филиала Национального медицинского исследовательского центра им. В. А. Алмазова, Санкт-Петербург.
Кондратьев Глеб Валентинович - ассистент кафедры онкологии, детской онкологии и лучевой терапии, врач-детский онколог ФГБОУ ВО “Санкт-Петербургский государственный педиатрический медицинский университет” Минздрава России, Санк-Петербург.
Левчук Анатолий Геннадьевич - младший научный сотрудник НИЛ магнитно-резонансной томографии ФГБУ “Национальный медицинский исследовательский центр им. В.А. Алмазова” Минздрава России, Санкт-Петербург.
Теги: магнитно-резонансная томография
234567 Начало активности (дата): 01.12.2025
234567 Кем создан (ID): 989
234567 Ключевые слова: магнитно-резонансная томография, магнитно-резонансная морфометрия, височная доля, дети, старение, рост и развитие, головной мозг
12354567899
Похожие статьи
Исторические аспекты становления и развития методов лучевой диагностики в перинатологииРентген на дому 8 495 22 555 6 8
Изменения в строении мозга у женщин при ожирении по данным МРТ
Переломы и ложные суставы костей запястья
Возможности оценки состояния паравертебральных мышц по данным МРТ перед операцией по поводу стеноза позвоночного канала


