30.12.2023
Вирус иммунодефицита человека в очаге деструкции костной ткани при асептическом некрозе головки бедренной кости: клинические наблюдения
Остеонекроз головки бедренной кости значительно чаще встречается у ВИЧ-больных, чем в общей популяции
ВВЕДЕНИЕ
Асептический некроз, или остеонекроз, представляет собой состояние, характеризующееся ишемической гибелью субхондральной кости из-за нарушения артериального кровоснабжения [1]. По данным разных источников, у больных ВИЧ-инфекцией заболеваемость асептическим некрозом от 2,5 до более чем в 100 раз выше, чем в общей популяции [2, 3]. Наиболее частой локализацией асептического некроза у пациентов, пораженных вирусом иммунодефицита человека (ВИЧ), являются головки бедренных костей [4, 5, 6]. Впервые остеонекроз головки бедренной кости у ВИЧ-инфицированных был зарегистрирован в 1990 г. [7]. В публикациях последних лет приводятся данные о том, что асептический некроз головки бедренной кости является наиболее частой причиной заболеваемости среди ВИЧ-инфицированных [3, 8].
Высказывается много предположений об этиологии и патогенезе асептического некроза у больных ВИЧ-инфекцией. К факторам развития некроза при хронической вирусной инфекции относят некротизирующий васкулит и гиперлипидемию [3]. Некоторые авторы ведущим звеном патогенеза называют антиретровирусную терапию (АРТ), особенно ингибиторами протеазы [9]. Однако сообщения об асептическом некрозе у этой категории больных были зарегистрированы и до эры АРТ, что обуславливает необходимость поиска других причинных факторов [2].
Приведенные исследования диктуют необходимость продолжения изучения роли вируса иммунодефицита человека в этиологии и патогенезе некроза головки бедренной кости у больных ВИЧ-инфекцией в клинической практике.
Цель исследования — представить первые клинические наблюдения больных с асептическим некрозом головки бедренной кости, протекающим на фоне ВИЧ-инфекции, у которых выявлена РНК ВИЧ в очаге костного некроза.
МАТЕРИАЛ И МЕТОДЫ
Объект исследования — пациенты, поступившие в отделение костно-суставной патологии ФГБУ «НМИЦ ФПИ» Минздрава России с направительным диагнозом «асептический некроз головки бедренной кости, ассоциированный с ВИЧ-инфекцией». Проанализированы данные ПЦР, микробиологической и гистологической диагностики биологического материала из очагов деструкции в головке бедренной кости, а также данные ПЦР-диагностики биологического материала из большого вертела, полученного при трепанобиопсии.
Для определения РНК ВИЧ из полученного биоматериала использовался коммерческий набор «Экстракция 100» («Вектор-Бест») в соответствии с инструкцией производителя. Количественное определение вирусной РНК проводили методом ПЦР-РВ, используя коммерческий набор «Реалбест РНК ВИЧ количественный» («Вектор-Бест»).
Микробиологическое исследование на Mycobacterium tuberculosis (МБТ), неспецифическую флору и грибы проводилось по стандартным методикам. Параллельно проводилось гистоморфологическое исследование образцов из тех же очагов костной деструкции. При поступлении в стационар изучали данные анамнеза, проводили клинический осмотр с описанием локального статуса, лучевые и лабораторные исследования.
Клиническое наблюдение 1
Пациент 54 лет обратился с жалобами на боли в левом тазобедренном суставе, резко усиливающиеся при попытке движений, которые его беспокоят с марта 2021 г. после травмы — вколоченного перелома шейки левой бедренной кости. Нагрузку на сустав ограничивал (ходил с костылями) в течение 8 мес. После рентгенологически подтвержденного сращения перелома пациент возобновил полную нагрузку на ногу, однако в феврале 2022 г. отметил усиление болей. В августе 2022 г. по данным МРТ пациенту установили диагноз — посттравматический асептический некроз головки левой бедренной кости. ВИЧ-инфекция выявлена в 2016 г.
Путь передачи — наркотический парентеральный контакт. До поступления получал постоянную схему АРТ с включением этравирина, ламивудина и фосфазида. На протяжении всех лет наблюдения после установления диагноза ВИЧ регистрировалась неопределяемая вирусная нагрузка. В том же 2016 г. был выявлен туберкулез легких, по поводу которого в течение двух лет пациент получал химиотерапию, в апреле 2018 г. перенес операцию в объеме остеопластической торакопластики. В 2019 г. был снят с диспансерного учета. Госпитализирован в НМИЦ ФПИ в сентябре 2022 г. по поводу нарастающего болевого синдрома в области левого тазобедренного сустава.
Местный статус при поступлении. Болевой синдром (6 баллов по ВАШ), усиливающийся при активных и пассивных движениях. При ходьбе пользуется тростью, отмечается выраженная хромота. Относительное укорочение левой нижней конечности до 2 см. Гиперемии и припухлости в области левого тазобедренного сустава нет. Местная температура не повышена. Атрофия мышц бедра — 3 см по сравнению с противоположной стороной. Отмечал кратковременный эффект от приема НПВП. На рентгенограммах, КТ и МРТ — признаки асептического некроза головки левой бедренной кости 3B (поздней) стадии по классификации ARCO (рис. 1, 2).
Рис. 2. Клинический случай 1. МРТ во фронтальной (а) и аксиальной (b) проекциях: некроз головки левой бедренной кости — 3В (поздняя) стадия по классификации ARCO
Результаты биохимических и общих анализов крови — в пределах референсных значений.
CD4 при поступлении — 1747 кл/мкл, неопределяемая вирусная нагрузка в крови. АРТ продолжена.
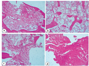
Пациенту под флюорографическим контролем выполнена диагностическая трепанобиопсия предполагаемого очага некроза в головке левой бедренной кости и контрольная — из области большого вертела. При патологоанатомическом исследовании биопсийного материала из головки бедренной кости описывается зона некроза костной ткани, лизис костных балок, признаки рассеянной лимфо-лейкоцитарной инфильтрации, умеренного отека. Фокально — костные балки с признаками резорбции, с диффузной лимфогистиоцитарной инфильтрацией. Признаков гранулематозного воспаления не обнаружено (рис. 3)
Рис. 3. Клинический случай 1. Патоморфологическое исследование биоптата: a — зона некроза; b — лизис костных балок; c — очаговая инфильтрация; d — зона фиброза. Окраска гематоксилином и эозином. Ув. × 100
При исследовании материала методом ПЦР в материале из головки бедренной кости выделена РНК ВИЧ 7900 копий в мл, в контрольном материале из большого вертела вирусная нагрузка не обнаружена. По данным ПЦР и микробиологического исследования (посевов на питательных средах), патогенной флоры не обнаружено.
Таким образом, у больного ВИЧ-инфекцией, страдающего посттравматическим асептическим некрозом головки левой бедренной кости на фоне антиретровирусной терапии, неопределяемой вирусной нагрузки ВИЧ в крови, выявлена РНК ВИЧ в костном очаге некроза в головке бедренной кости.
Клиническое наблюдение 2
Пациент 38 лет с жалобами на постоянные боли в обоих тазобедренных суставах, больше справа. Больным себя считает с 2019 г. Лечился консервативно у невролога по месту жительства с диагнозом «остеохондроз позвоночника» без эффекта. По поводу артралгии повторно обратился только в начале 2022 г. По данным рентгеновского обследования установлен диагноз «асептический некроз головки бедренной кости». Направлен в стационар НМИЦ ФПИ для планового эндопротезирования.
ВИЧ-инфекция выявлена в 2005 г., АРТ получал с 2011 г. по схеме: ламивудин, абакавир, лопинавир/ритонавир. Заражение, со слов пациента, произошло половым путем. РНК ВИЧ в крови за время наблюдения не обнаружена. В 2016 г. получал стационарное лечение с диагнозом «пневмоцистная пневмония, кандидоз пищевода». Во время госпитализации выявлен диссеминированный туберкулез легких. Получал стационарное лечение в течение 8 мес., амбулаторно лечение не продолжал, но наблюдался в противотуберкулезном диспансере по месту жительства. Обследован в противотуберкулезном диспансере в июле 2022 г. Результаты посевов мокроты от 06.07.22 г. на МБТ — роста не выявлено, диаскинтест отрицательный. КТ органов грудной клетки от 13.07.22 г. — без патологических изменений. Заключение: клиническое излечение диссеминированного туберкулеза легких. Другие сопутствующие заболевания: хронический панкреатит, гастродуоденит, пиелонефрит. Вредные привычки: курит с 12 лет, последнее время — полторы пачки сигарет в день.
При поступлении визуально припухлости и гиперемии кожных покровов в области тазобедренных суставов не отмечалось. При пальпации — локальная и осевая болезненность в проекции головки правой бедренной кости. Объем движений в правом тазобедренном суставе ограничен — наружное отведение 10°. Боль по ВАШ 5–6 баллов. Левый тазобедренный сустав безболезненный, движения в нем в полном объеме. Укорочение правой нижней конечности на 2,0 см. На рентгенограммах и КТ — признаки двухстороннего асептического некроза головок бедренных костей, больше выражены справа — 3В стадия по ARCO (рис. 4, 5). В анализах крови отмечается ускорение СОЭ до 58 мм/ч., остальные результаты — в пределах референсных значений.

Рис. 4. Клинический случай 2. КТ таза, реконструкция в аксиальной проекции — двусторонний некроз головок бедренных костей: справа — 3В (поздняя) стадия по ARCO, слева — 3А (ранняя) стадия по ARCO
Рис. 5. Клинический случай 2. Рентгенограмма во фронтальной проекции — двусторонний асептический некроз головок бедренных костей: справа — 3В (поздняя) стадия по ARCO
Иммунный статус СД4 от 23.05.2022 г.: 23% — 627 кл/мкл, РНК ВИЧ в крови не обнаружена.
Заключение инфекциониста: ВИЧ-инфекция, стадия 4В, фаза ремиссии на фоне АРТ.
Пациенту под флюорографическим контролем выполнены диагностическая трепанобиопсия предполагаемого очага некроза в головке левой бедренной кости и контрольная трепанобиопсия из области большого вертела. При патологоанатомическом исследовании биопсийного материала из головки бедренной кости выявлены костные балки с признаками резорбции с диффузной лимфогистиоцитарной инфильтрацией, очаговым фиброзом. Признаков гранулематозного воспаления не обнаружено. При исследовании методом ПЦР-диагностики в материале из головки бедренной кости выделена РНК ВИЧ 22 000 копий в мл, в контрольном материале из большого вертела — 9400 копий в мл. По данным ПЦР и культурального исследования (посевов на питательных средах), патогенной флоры не обнаружено.
В приведенном клиническом наблюдении у ВИЧ-больного, страдающего двухсторонним асептическим некрозом головок бедренных костей на фоне антиретровирусной терапии, неопределяемой вирусной нагрузки ВИЧ в крови, выявлена РНК ВИЧ в костном очаге некроза головки правой бедренной кости. В контрольном биоптате из области костной структуры правого большого вертела РНК вируса обнаружена также, но в значительно меньшей концентрации.
Таким образом, у обоих пациентов в костных биоптатах из очагов некроза в головке бедренной кости была определена РНК ВИЧ. У одного пациента РНК ВИЧ определена в том числе и в костной ткани большого вертела, причем в очаге деструкции в головке показатели были значительно выше. Учитывая тот факт, что у обоих пациентов на момент госпитализации в крови вирусная нагрузка не определялась, наличие РНК ВИЧ в очагах некроза может косвенно служить доказательством причастности ВИЧ к развитию локального деструктивного процесса в тазобедренных суставах.
ОБСУЖДЕНИЕ
В настоящее время возрастает внимание к ортопедическим проблемам больных ВИЧ-инфекцией. Тем не менее отмечается отсутствие четких представлений об этиологии и патогенезе развития некротических процессов суставообразующих костных структур, в том числе при часто встречающихся у данных пациентов некрозах головки бедренной кости.
Подавляющее большинство пациентов поступает в стационары с диагнозом «асептический (аваскулярный) некроз», установленным только по данным лучевых исследований, и без углубленной этиологической диагностики подвергаются стандартной методике эндопротезирования. В то же время рядом авторов отмечается большее количество гнойных осложнений и ревизионных операций эндопротезирования у ВИЧ-больных с этой патологией по сравнению с общей популяцией [1, 3, 5, 10, 11]. Нарушение липидного обмена, снижение минеральной плотности костей, на которые ссылаются авторы, далеко не всегда в полной мере коррелируют с возникновением осложнений [1, 3, 5].
После того как в 1987 г. R.H. Withrington с соавторами сообщили о выделении ВИЧ из синовиальной жидкости пациента с ВИЧ-ассоциированным олигоартритом [12], появились основания предполагать прямое воспалительное действие вируса иммунодефицита на костно-суставную систему. S.L. Lamers с соавторами в 2016 г. сообщили о том, что ДНК ВИЧ часто присутствует в патологических тканях, полученных при вскрытии умерших пациентов с неопределяемой вирусной нагрузкой, получавших комбинированную антиретровирусную терапию [13], что косвенно подтверждает возможность депонирования вируса в костной ткани.
В качестве доказательств гипотезы о прямом воспалительном воздействии ВИЧ на костно-суставную систему приводятся новые факты обнаружения в синовиальной жидкости пораженных суставов антигена р24, ДНК ВИЧ и туборетикулярных включений [13], что может указывать на вирусную этиологию воспаления. В частности, антиген p24 был обнаружен в суставах на уровне, в десять раз превышающем уровень в сыворотке крови [10]. B. Raynaud-Messina с соавторами в 2018 г. предоставили первое экспериментальное свидетельство того, что остеокласты являются резервуаром для вируса ВИЧ. Их исследования на лабораторных животных показали прямое разрушающее действие ВИЧ-1 на структуру и функцию остеокластов [14].
В наших наблюдениях у обоих пациентов, больных ВИЧ-инфекцией, в очагах костной деструкции костной ткани обнаружены РНК ВИЧ. В тот же временной промежуток в крови и в контрольном биоптате из большого вертела вирусная нагрузка либо не определялась, либо была значительно меньше. Такое избирательное депонирование вируса в очаге деструкции позволяет предположить прямое вирусное воздействие на механизм воспаления, что соотносится с мнением некоторых авторов [11, 15].
Предположение о непосредственном контактном воздействии вируса иммунодефицита на костную ткань, с нашей точки зрения, могло бы позволить по-новому взглянуть на проблему и сформировать алгоритмы диагностики и лечения. При доказанном наличии вирусного «депо» в зоне некроза, очевидно, следует говорить не об асептическом некрозе, а о вирусном артрите и о соответствующей тактике лечения с возможным применением двухэтапных методик эндопротезирования. Полученные и продемонстрированные нами факты обнаружения РНК ВИЧ человека непосредственно в зоне костного некроза в связи с малой выборкой не позволяют достоверно судить о частоте встречаемости внутрисуставной локализации вируса, но свидетельствуют в пользу необходимости дальнейшего изучения спектра инфекционных агентов при помощи предоперационных инвазивных методик у больных ВИЧ-инфекцией.
ЗАКЛЮЧЕНИЕ
Проведенные наблюдения показали наличие РНК ВИЧ в очагах деструкции кости при асептическом некрозе головки бедренной кости у больных ВИЧ-инфекцией при отсутствии вируса или значительном снижении его количества в анатомически близких от очага костных структурах (большой вертел) при неопределяемой вирусной нагрузке крови. Это позволяет предположить влияние вируса иммунодефицита на развитие местного воспалительного процесса в суставе, что, в свою очередь, может влиять на исходы эндопротезирования. Приведенные исследования диктуют необходимость продолжения изучения роли ВИЧ в этиологии и патогенезе различных заболеваний костно-суставной системы у больных ВИЧ-инфекцией в клинической практике.
Необходимо отметить, что наличие вируса ВИЧ в зоне поражения кости несет определенные риски для хирургической бригады при выполнении хирургического вмешательства, несмотря на неопределяемую вирусную нагрузку в крови.
ДОПОЛНИТЕЛЬНАЯ ИНФОРМАЦИЯ
Заявленный вклад авторов
Перецманас Е.О. — концепция и дизайн исследования, анализ и интерпретация результатов исследования, написание и редактирование текста статьи.
Тюлькова Т.Е. — анализ и интерпретация результатов исследования, редактирование текста статьи.
Зубиков В.С. — сбор и обработка данных, редактирование текста статьи.
Герасимов И.А. — сбор и обработка данных, поиск и анализ источников литературы.
Каминский Г.Д. — концепция и дизайн исследования, анализ и интерпретация результатов исследования.
Список литературы
1. Manzotti A., Larghi M., Placenza E., Susini F., Grassi M. Postoperative outcomes in total hip arthroplasty following femoral head avascular necrosis in HIV-positive patients. Acta Biomed. 2021;92(5):e2021296. doi: 10.23750/abm.v92i5.9917.
2. Reddy R., Daftary M.N., Delapenha R., Dutta A., Oliver J., Frederick W. Avascular necrosis and protease inhibitors. J Natl Med Assoc. 2005;97(11):1543-1546.
3. Pisanu F., Fiore V., Corradi M., Esposito E., Maida I., Caggiari G. et al. Joint replacement for avascular necrosis in people living with HIV. Acta Biomed. 2022;92(S3):e2021560. doi: 10.23750/abm.v92iS3.12551.
4. Morse C.G., Mican J.M., Jones E.C., Joe G.O., Rick M.E., Formentini E. et al. The incidence and natural history of osteonecrosis in HIV-infected adults. Clin Infect Dis. 2007;44(5):739-748. doi: 10.1086/511683.
5. Zhao C.S., Li X., Zhang Q., Sun S., Zhao R.G., Cai J. Early Outcomes of Primary Total Hip Arthroplasty for Osteonecrosis of the Femoral Head in Patients with Human Immunodeficiency Virus in China. Chin Med J (Engl). 2015;128(15):2059-2064.
6. Issa K., Naziri Q., Rasquinha V., Maheshwari A.V., Delanois R.E., Mont M.A. Outcomes of cementless primary THA for osteonecrosis in HIV-infected patients. J Bone Joint Surg Am. 2013;95(20):1845-1850. doi: 10.2106/JBJS.L.01583.
7. Goorney B.P., Lacey H., Thurairajasingam S., Brown J.D. Avascular necrosis of the hip in a man with HIV infection. Genitourin Med. 1990;66(6):451-452. doi: 10.1136/sti.66.6.451.
8. Green K.R., Hernandez-Jimenez J.M., Isache C.L., Jacob R. Avascular necrosis: a growing concern for the HIV population. BMJ Case Rep. 2018;2018:bcr2017221678. doi: 10.1136/bcr-2017-221678.
9. Permpalung N., Ungprasert P., Summachiwakij S., Leeaphorn N., Knight E.L. Protease inhibitors and avascular necrosis: a systematic review and meta-analysis. Int J Antimicrob Agents. 2014;44(2):93-95.
10. Adizie T., Moots R.J., Hodkinson B., French N., Adebajo A.O. Inflammatory arthritis in HIV positive patients: A practical guide. BMC Infect Dis. 2016;16:100. doi: 10.1186/s12879-016-1389-2.
12. Withrington R.H., Cornes P., Harris J.R., Seifert M.H., Berrie E., Taylor-Robinson D. et al. Isolation of human immunodeficiency virus from synovial fluid of a patient with reactive arthritis. Br Med J (Clin Res Ed). 1987;294(6570):484.
13. Lamers S.L., Rose R., Maidji E., Agsalda-Garcia M., Nolan D.J., Fogel G.B. et al. HIV DNA Is Frequently Present within Pathologic Tissues Evaluated at Autopsy from Combined Antiretroviral Therapy-Treated Patients with Undetectable Viral Loads. J Virol. 2016;90(20):8968-8983. doi: 10.1128/JVI.00674-16.
14. Raynaud-Messina B., Bracq L., Dupont M., Souriant S., Usmani S.M., Proag A. et al. Bone degradation machinery of osteoclasts: An HIV-1 target that contributes to bone loss. Proc Natl Acad Sci USA. 2018;115(11):E2556-E2565.
15. Liebenberg C., Luies L., Williams A.A. Metabolomics as a Tool to Investigate HIV/TB Co-Infection. Front Mol Biosci. 2021;8:692823
Об авторах
Евгений Оркович Перецманас - доктор медицинских наук, руководитель научного отдела костно-суставной патологии, ФГБУ «Национальный медицинский исследовательский центр фтизиопульмонологии и инфекционных заболеваний» Минздрава России
Татьяна Евгеньевна Тюлькова - доктор мед. наук, ФГБУ «Национальный медицинский исследовательский центр фтизиопульмонологии и инфекционных заболеваний» Минздрава России
Владимир Сергеевич Зубиков - доктор мед. наук, профессор, ФГБУ «Национальный медицинский исследовательский центр фтизиопульмонологии и инфекционных заболеваний» Минздрава России
Илья Александрович Герасимов - ФГБУ «Национальный медицинский исследовательский центр фтизиопульмонологии и инфекционных заболеваний» Минздрава России
Григорий Дмитриевич Каминский - доктор мед. наук, ФГБУ «Национальный медицинский исследовательский центр фтизиопульмонологии и инфекционных заболеваний» Минздрава России
Источник
Журнал "Травматология и ортопедия России" 2023;29(3) https://doi.org/10.17816/2311-2905-7989
Теги: ВИЧ
234567 Начало активности (дата): 30.12.2023 07:36:00
234567 Кем создан (ID): 989
234567 Ключевые слова: ВИЧ, вирус иммунодефицита человека, остеонекроз, асептический некроз
12354567899
Похожие статьи
Устойчивость инфекций к карбапенемам.Рентген на дому 8 495 22 555 6 8
Туберкулез у взрослых
Периоперационное ведение пациентов пожилого и старческого возраста
Неотложная травматология в НИИ скорой помощи им. Н.В. Склифосовского: история и современность


